
1
我挺喜欢吃桔子的…但特麻烦,吃完牙尖软软的,吸口凉风都发酸,吃一次得避上几天风头才能吃第二次…
我干这行所以我知道这是牙本质敏感,
但很多朋友一直觉得这事很神秘:
以前不会觉得酸的,现在开始牙酸了
有时一颗牙酸,有时一片牙酸
有时是吃冷的发酸,有时是咬到东西才酸
吃东西不酸,只有刷牙才酸
平时吃什么都没感觉,上火时候吃什么都牙酸
…
牙齿敏感这个事情,如果非从症状入手,你会发现,
名堂真特么多
末了,只好总结成一句,
年纪大了,牙不行了。
其实吧,一旦你看清楚这些表现的本质,就很容易理解了。
2
牙本质是牙齿内部的那一层黄色的结构,虽然硬度媲美骨骼,但反而很是娇嫩,被戳到就会呲溜一下酸得要命。
所以他就像一个怕被戳到肉的胖子,用衣服(牙釉质)和裤子(牙骨质)把自己给裹得严严实实的。
但是,既然都已经裹得那么死了,怎么还会发酸咧?
他是怎么被戳到的?

1、最常见的,当然是衣服穿久了,平时不爱惜,于是慢慢磨破了
虽然牙釉质这层衣服的面料号称是堪比钻石硬,但也架不住一群钻石每天挤在一起你怼我我怼你,时间久了一样也是会磨薄、磨破。
就算是正常使用,这层外衣也会随着使用时间、年龄增长而产生磨耗,
更何况还有像咬合力过大、夜磨牙这些异常情况,更是大大加速了这身衣服被磨穿的过程。
一旦磨穿,牙本质的秃瓢就露出来了,
于是每一口咬下去都是酸爽。

还有一种情况也相当常见,
那就是让刷牙给作的。
有些朋友刷起牙来就是带劲,chuachua地打横往牙本质的肚腩上锯。
水滴石穿,时间一久这儿的衣服就是一道槽,直接露出里头黄黄的牙本质,和漏电似的,吃东西时候一碰到就被电一下。

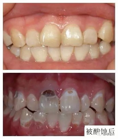
2、拿果汁碳酸饮料泡一泡,衣服一化就有*点露**风险
牙釉质怕酸,因为这层外衣其实是会溶解的。
如果喝了酸性的饮料,吃了酸酸的水果,衣服就变软了,严重的时候连衣服都化了。
这时候,牙釉质外衣上有些已经很薄的地方变得就更透了,或者干脆就露馅了。
外界刺激直接就能戳到牙釉质身上。
这就是喝了橙汁“牙齿酸倒一排”的原因。
特别严重的情况,会变成一种叫做“酸蚀症”的牙齿问题。

好在,衣服湿了还能晾干,这种酸蚀情况,在轻度时是可逆的。
我们吃到酸的东西时,口水会大量分泌,一方面稀释这些酸性物质,另一方面口水中携带的矿物质还会令牙釉质再矿化,重新变硬。
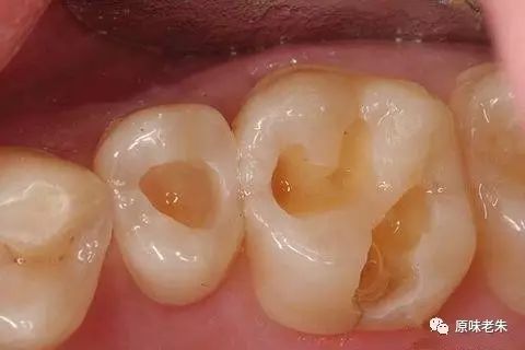
3、衣服脏兮兮的不洗干净,结果被蛀了个大洞,把里头的牙本质露出来了
这不是牙本质过敏,这就是蛀牙,一样能引起牙齿酸痛。
这回,没有磨损,也没有酸性饮料,就是细菌把局部的牙釉质外衣给蛀了一个洞。
这种洞一般又小又深,所以吃东西时不太能直接戳到牙本质,一般都是喝冰水时流进洞里去,才呲溜一下让人酸得跳脚。

要注意的时,这种情况,出现酸软未必是件坏事,至少…说明蛀洞还不深。
等蛀洞深入到牙本质时,可就不光是酸了。
酸软-酸痛-刺痛-剧痛,这些不同的感受,基本也可以代表递增的蛀牙深度。
4、和人打架,结果衣服被撕破了
这种情况一般多见于牙齿非要和死磕大闸蟹,非要开酒瓶盖,非要啃硬排骨…
结果没人家硬,嘎嘣儿——
运气好点,崩掉一个角,牙本质外衣被撕开一个口子,以后这个位置戳到就会酸。
运气差点,整个牙劈成两半,那就只能来我们外科拔除…

5、牙本质那裤子没系好,结果肚腩露出来了
正常情况下,牙本质把自己裹得死死的,一般或者是衣服系进裤子里,或是衣服盖住裤子。
可发育时候总有些掉链子的情况,衣服裤子不够长,结果牙本质突出来一截肚腩。

不过暴露了也没关系,因为这个位置一般是埋在肉里,牙肉会盖住露出来的那一小截牙本质。
但是,好景不长。
随着年龄增长,随着牙周病发展,牙龈逐渐退缩,愣是把底下埋着的牙本质肚腩给露出来了。
沿着牙龈的那一条都是敏感区,刷牙的时候一划拉,啧啧…

此外,还有先天发育、牙隐裂、菌斑刺激以及药物影响等等原因,太抽象了,而且比较小众,就不展开介绍啦~
3
一旦我们知道了酸软的根源在牙本质,知道了他为什么会被人给戳到,那么,对症下药的处理方案就很简单了:
1、衣服不耐穿?那我们上点涂料,把牙釉质变得更结实呗
现在明白了为什么一直说牙膏得含氟吧。因为牙釉质被氟化后,会变得更耐酸,这样就不会轻易被可乐橙汁等酸性饮料给融化了,也不容易被细菌给酸蚀出蛀洞来,这层外衣会变得更坚固耐用。
除了含氟牙膏,现在还有牙齿涂氟、含氟漱口水等等手段,变着法儿把牙齿给搞硬。
2、衣服已经弄破了?那我们补起来呗
有些牙釉质已经被破坏得比较彻底了,比如被细菌搞出来的大蛀洞,比如被牙刷锯出来的楔状缺损,比如牙齿先天裂纹逐渐扩大形成的牙隐裂。这时候涂氟也没用了,没法逆转,该牙医出场了。
补牙!直接用树脂把缺损给补起来,相当于把敏感的缺口给堵上。
洞大到了补不上?用修复冠把整个牙给罩上,相当于再穿一层人造外衣。
总是有办法的。
3、衣服补不起来?那给牙本质上个buff,让他别这么大惊小怪的一戳就酸呗
有时候,牙本质露出的范围特别小,或者,露出的范围太过“广阔”,我们不想兴师动众地补牙、做修复冠,那就试试化学办法——脱敏。给牙本质上一个buff,用化学物质降低他的敏感性,让他不要每次一被戳到就嗷嗷发酸。
常见的做法,比如使用脱敏牙膏在家给自己牙齿上脱敏剂,也有可以去牙医那儿让他给牙齿做脱敏治疗。
既然变成了上buff,切记,这就是持续性治疗了,需要自己长时间打理维护。
4
鞋子好不好,只有脚知道。
大多数牙齿问题, 恐怕只有本人才知道究竟什么感受,所以这是个里子多过面子的问题。
一个人究竟是否体面,除了外在的穿着举止,还要看看这人对待自己的牙齿是个什么态度。
有时候我在想,全国爱牙日定在了9.20,是不是因为秋天的水果丰收的关系…
如果有牙齿酸软,不要忍了,对自己好一点。
祝各位好口福啦!
「千篇医虑」计划第 018 篇
9.20 是全国爱牙日,提醒大家爱护牙齿,珍惜生活质量。
作者介绍:朱王勇,中山大学口腔临床医学博士,知乎、丁香医生专栏作者。
关注「原味老朱」,在公众号后台回复下列关键词,进一步了解
《“成为牙髓炎的梦想还是要有的,万一实现了呢?”老龋齿对小龋齿说》
马上知晓龋齿的形成和判断方法,
回复:蛀牙
《每次和你聊天,都是一场血雨腥风》
马上知晓牙龈退缩是怎么回事,
回复:牙龈退缩
《深夜嘎嘎嘎——夜磨牙》
马上知晓磨牙的原理和处理方法,
回复:磨牙