最近接诊了一位'黑三角'患者,患者在社区口腔诊所进行牙齿矫正,佩戴牙套四个月左右的时间相邻的两颗牙齿的牙龈出现了萎缩,形成了几个肉眼可见的三角形的间隙,患者感到很紧张,特来咨询。
其实他这种病情这就是我们常说的——黑三角。
“黑三角”不仅在牙齿矫正中容易出现,也有大批患者没有牙齿矫正依旧出现了黑三角,下面我们就来讲一下“黑三角”该怎么处理。

黑三角既不美观又容易因为食物嵌塞引起其他口腔疾病,一旦出现不可能进行自我修复,只要不治疗情况会更加严重
想要检查病因,我们就先要了解'黑三角'究竟是如何形成的:
一、牙周炎
牙周炎是大多数患者做牙齿矫整形产生'黑三角'的原因;
口腔清洁不干净,细菌大量滋生形成菌块,菌块经过长时间堆积结成了牙石,牙石表面的菌斑破坏了牙周软组织,造成牙龈萎缩。
而牙龈的萎缩导致窄长的牙根被暴露出来,其中的间隙就呈现出'黑三角'的形态。
另外一种情况是牙周炎造成了患者牙槽骨吸收,牙槽骨吸收后牙槽嵴顶部高度降低,加大了与旁边牙齿的垂直距离形成'黑三角'。

二、牙齿形态
黑三角一般多发于前牙区,后牙区很少会出现这种情况;
因为切牙的牙冠比较窄、长,呈现出三角形,较高的接触点加大了与牙槽嵴的垂直距离,就更容易形成'黑三角'。
如果患者因为牙齿拥挤而做矫正治疗,那大概率会患有炎症性牙龈萎缩,而矫正后原本挤在一起的牙齿被排列整齐,齿间过大的缝隙就被暴露了出来,呈现出'黑三角',所以黑三角多发于牙齿矫正的患者。

三、年龄
普通人的牙龈乳头平均会以每年0.012毫米的速度逐步降低,年龄越大牙龈乳头越低,所以成年患者会容易比青春期的患者出现'黑三角'。
这属于正常现象不必惊慌,只要保持牙缝清洁,就不会加重病情。
四、牙齿矫正过程中的不当操作
矫正力过大就会引起牙龈萎缩,尤其是成年人;
所以牙齿矫正切勿图快,再高超的医师也不能保证一步到位,一点差错都没有,要遵循轻力的原则一步步调试。
另外一种情况就是有些患者在矫正时拔下了前牙,这种矫正出现黑三角的概率会非常大,因为牙根很难平行移动。

黑三角是不可逆的,但在很多情况能下也是可以避免的;
尤其是在做牙齿矫正之前,要尽量保证牙周环境,避免黑三角出现
方案一:牙周治疗
如果在矫正前就发现牙周炎,会先进行治疗,缓解了牙龈萎缩和牙槽骨吸收的情况后再进在矫正,尽可能的去预防黑三角。
如果是矫正期间出现牙周炎造成黑三角,可以与医生沟通,分析自身条件是否可以通过再造牙龈乳头,来填补黑三角。

方案二:正畸
切牙牙冠高可以邻面去釉,将接触点调低,通过正畸增大接触面积尽可能的关闭间隙。
如果是齿根分散,可以纠正齿根角度,使他最大限度的做到平行,然后在把齿根聚集到一起,减小黑三角出现的面积。

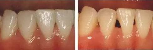
方案三:贴面
在确定无法改变黑三角的情况下也可以直接选择牙齿贴面,就是在受损的牙齿上沾上一层与正常牙齿颜色类似的材料,可以起到修复的作用,这也是目前倍受推崇的一项口腔美容项目。

预防大于治疗,最重要的是无论是否正在矫正,日常一定要注意口腔卫生,饮食后及时清理口腔,少用牙签可以改用牙线损伤小的物品辅助;
正在佩戴牙骨矫正器的患者尽量每天刷三次牙齿,在刷牙时要注意牙箍边边角角的清洁,经常使用淡盐水漱口;无论是日常洁牙还是牙齿矫正请务必前往正规口腔医院,不要因为贪小便宜吃大亏。

我是牙科医生黄征难,35年从业经历,如果你有任何口腔问题,欢迎关注后在主页私信咨询,或评论留言!可以私信牙片,我来帮你免费问诊!