良性病亦危及生命
2017年初,活泼可爱的珊珊(11岁)上学时突然出现颈部疼痛,逐渐加重,颈部不能活动,以致无法坚持学习。
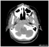
这可把珊珊爸爸妈妈急坏了,辗转多家大医院,颈部核磁共振检查发现颈椎、枕骨骨质广泛破坏、周边软组织形成(图一),后经病理检查确诊为朗格汉斯细胞增多症,是一种良性病!



图一 治疗前CT
但是随后医生的交待又让他们凉了半截,因骨质破坏范围较大,且位置特殊,无法手术治疗,如果病情进一步发展,随时可能出现颈椎骨折危及生命。
正在一筹莫展时,有人告诉他们,湖南省中医药研究院附属医院肿瘤五科(放疗科)主任兰东强教授有办法!
放射治疗有奇效
于是,2017年3月珊珊来到湖南省中医药研究院附属医院检查。兰东强主任慎重考虑后制定的方案是局部放射治疗,经过近1个月的治疗,珊珊疼痛逐渐缓解,颈部逐渐可以活动了。
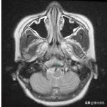
休息3个月后,症状完全消失,珊珊又回到了梦寐以求的学校里。多次复查发现珊珊的病情在逐渐好转,最近一次检查奇迹般的发现颈部软组织完全消失,破坏的骨质也基本修复(图二)。



图二 治疗后2年复查MRI
而且这一年来,珊珊又长高了不少,没有出现当初担心的放疗导致颈部发育畸形的问题。
良性病为何需要放疗?
大家可能会有疑问,珊珊得的是良性疾病,可是放疗不是用来治疗癌症的吗?兰东强教授给大家答疑解惑。
放射治疗是恶性肿瘤的三大治疗手段之一,其实许多良性疾病患者通过放射治疗也可以取得意想不到的效果。

随着放射治疗设备及技术的日益提高和完善,在良*病治性疗**方面,精确控制照射剂量、照射范围、照射时间、正常组织保护等技术已经到了较高的水平。
哪些良性病适合放疗呢?
目前在国内外,放射治疗良性病已经成为一种趋势,近90余种良性疾病已纳入放射治疗的治疗范围。
如Graves眼病、皮肤瘢痕瘤、脾大、脾功能亢进、腱鞘炎、肩周炎、血管瘤、腮腺瘘、胰腺瘘、强直性脊柱炎、腺样体增生、嗜酸性肉芽肿、寻常疣、
鸡眼、头癣、湿疹、银屑病、神经性皮炎、多毛症、难治性特发性血小板减少性紫癜以及自身免疫性疾病(类风湿性关节炎、红斑狼疮)等。

什么情况下选择放疗?
同时,我们也应该认识到放射线可能给人体造成一定的损伤,所以我们用放疗来治疗良性疾病时需要严格控制适应证,认真熟练掌握放疗的技术因素,充分发挥放射线的治疗因素,最大限度降低放疗的毒副作用。
总的来说,医生对良性病决定行放疗前会和其他治疗方法进行全面比较,准确分析利弊,一般在手术及药物难以凑效的情况下,才考虑进行放射治疗。

(编辑:阿瑶)
青叶资讯特约作者:湖南省中医药研究院附属医院 放疗科 刘伟
图片来源:网络 侵删
关注@青叶资讯,听医学专业人士为科普发声!