【临床病史】
患者,女,61岁,因腰骶部痛1年,加重伴左下肢麻痛20天入院。查体:腰椎活动略受限。骶1、2棘突压痛及叩击痛(+),左下肢放散痛,放散至足踝,四肢、躯干及鞍区感觉未见明显异常。
【实验室检查】
所有检查均为阴性
【影像表现】
CT平扫

MRI平扫

MRI增强

MRI平扫对比图

MRI增强对比图

问题一、请选择您认为异常的解剖部位?多选
A椎体、B终板、C间盘、D附件、E椎管、F骶管
问题二、鉴别诊断最有意义的描述是?多选
A 椎管、骶管内富血供病变
B 椎管内病灶位于硬膜外
C 骶1/2椎体骨质后缘受侵,信号升高
D椎管内脂肪瘤,T1WI及T2WI均为高信号
E骶骨、骶管骨质破坏,考虑脊索瘤
问题三、您的诊断是?多选
A蛛网膜囊肿
B神经纤维瘤
C神经鞘瘤
D脊索瘤
E脂肪瘤
F血管瘤
【病史分析】
老年女性,因腰骶部痛1年,加重伴左下肢麻痛20天入院。查体:腰椎活动略受限。骶1、2棘突压痛及叩击痛(+),左下肢放散痛,放散至足踝。以上表现高度提示腰骶部病变。
【实验室检查分析】
未见异常。
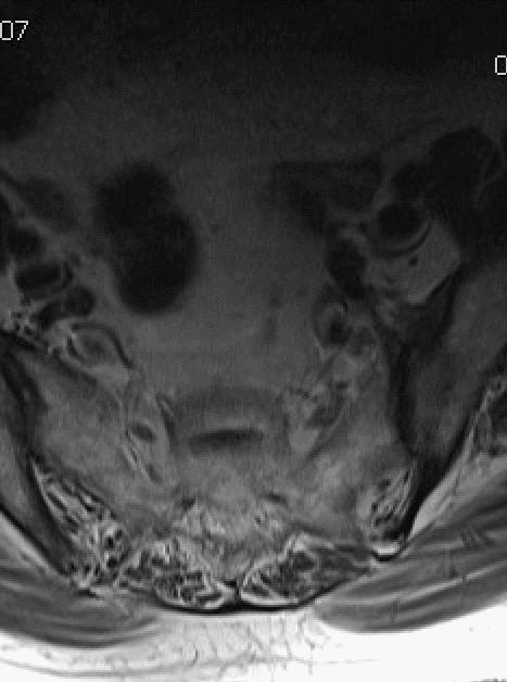
【影像分析】
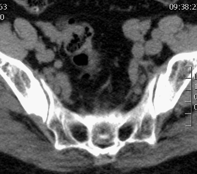
CT平扫

如图所示,红色箭头可见骶管及双侧骶孔扩张,内见哑铃型软组织密度影,绿色箭头所示骶骨后缘骨质受侵呈骨质破坏。

如图所示,红色箭头可见不规则形异常信号,轴位呈哑铃型,病灶前缘侵及骶1、2椎体后缘,绿色箭头见骨质局部破坏,病灶T1低信号,T2稍高信号,压脂像明显高信号,信号尚均匀,腰4-5、腰5骶1椎间盘向后方突出,硬膜囊受压,蓝色箭头可见腰4-5椎间盘后缘纤维化小点状T2高信号,提示纤维环后缘撕裂。本例骶1-2椎间盘形成,骶1椎体腰化不完全。

如图所示,分别为T1WI增强矢状位、冠状位、轴位,T1WI增强矢状位与T2WI压脂像非常相像,注意椎管内脑脊液信号,T1WI增强为低信号与T2WI压脂像高信号正好相反。红色箭头所示病灶明显强化,呈亮灯征感觉,清晰显示病灶范围,绿色箭头所示为病灶侵及骶1椎体后缘形成不规则形骨质破坏区。
按部位汇总:
红色箭头:病灶位于骶1-2椎体水平,轴位呈哑铃型,CT见骶1-2椎体后缘受侵、骨质破坏;MRI见病灶主体沿骶管及双侧骶孔生长,以左侧骶孔为著,T1低信号,T2稍高信号,压脂像高信号,接近脑脊液信号。
绿色箭头:骶1-2椎体后缘见信号向内部侵犯,边缘毛糙。
绿色箭头:腰4-5、腰5骶1椎间盘向后方突出,硬膜囊受压,蓝色箭头可见腰4-5椎间盘后缘纤维化小点状T2高信号,提示纤维环后缘撕裂,需警惕未来椎间盘脱出可能。
【报告模板】
描述:腰椎生理曲度存在,序列规整。所见椎体骨质边缘变尖、T1WI及T2WI均呈不均高信号,压脂像均匀低信号。腰4-5、腰5骶1椎间盘向后方突出,硬膜囊受压。骶1-2椎体水平骶管及双侧骶孔扩大,内见哑铃型异常信号,大小约6cmx5cmx3.5cm,T1WI低信号,T2WI稍高信号,压脂像高信号,病灶侵及骶1-2椎体后缘骨质,增强明显强化。
结论:骶1-2椎体水平骶管及双侧骶孔占位性病变,侵及骶1-2椎体后缘骨质,考虑神经源性或脉管源性肿瘤,建议进一步检查
腰椎退行性改变
腰4-5、腰5骶1椎间盘突出
【小结分析】
正向逻辑分析:
老年女性,腰骶部疼痛、放射至腿部。CT及MRI见骶管及双侧骶孔扩大,见软组织肿物,病灶沿骶管及骶孔生长,符合神经源性肿物生长特点,所以报告考虑神经源性肿瘤;但病灶侵及椎体后缘,需要考虑恶性神经源性肿物或者脉管源性肿物、脊索瘤或骨巨细胞瘤;特征性的是病灶的T2WI与压脂像信号相差太明显,T2WI显示软组织肿物的信号特征,压脂像和T1WI增强的信号基本一致,非常高,呈典型的亮灯征感觉,该特征在肝脏肿瘤最明显,最典型的是海绵状血管瘤。所以需要考虑神经源性肿瘤、脉管源性肿瘤、脊索瘤或骨巨细胞瘤。
排除法分析:
本例需要考虑神经源性肿瘤、脉管源性肿瘤、脊索瘤、骨巨细胞瘤、脂肪瘤、蛛网膜囊肿。
1、神经源性肿瘤是最典型的椎管内肿瘤,可以位于髓内外,分为神经纤维瘤和神经鞘瘤,神经纤维瘤为Antoni A型神经细胞,细胞结构细密,神经鞘瘤为Antoni B型神经细胞,细胞组织结构松散,多见囊变、坏死,二者信号不均,增强明显强化,神经鞘瘤囊变坏死无强化。本例无法排除。
2、脉管源性肿瘤,包括淋巴管瘤及血管瘤,特征为典型的长T2或T2高信号,尤其在压脂像呈明显与自由水一致的高信号,非常典型的亮灯征,淋巴管瘤因塑形性生长,增强无强化或环形强化为特征,本例不符合,血管瘤可以为结节状、团块状或者不规则形,T2稍高或高信号,压脂像呈明显高信号,增强明显强化。在肝脏肿瘤鉴别诊断中,用非常长的TE时间来实现重T2WI可以鉴别血管瘤和囊肿,血管瘤毕竟还是有实性成分,而肝囊肿是纯自由水信号,具有远长于血管瘤的T2时间,所以在重T2WI图像中,血管瘤信号没有肝囊肿高可以进行鉴别。有文献提示椎管血管瘤少见,部分血管瘤可能首先起源于骨质,后向椎管内生长,本例重心偏于骶管内,向双侧骶孔及骶骨骨质推移生长感觉,这点符合神经源性肿瘤,但信号特征非常符合血管瘤,且血管瘤可以具有对骨质进行压迫吸收,需要考虑本病可能。
3、脊索瘤,生长于枕骨斜坡及骶骨为特征的肿瘤,即脊柱的首尾两端,对骨质侵袭破坏,可以向四周侵袭生长,重心位于骨质来源,信号不均,增强明显强化,本例信号符合,形态不符合,概率明显减低。
4、骨巨细胞瘤,除典型长骨干骺端生长肿瘤外,可以生长于骶骨的肿瘤,需要与脊索瘤鉴别,有文献提示脊索瘤位于高位骶骨、骨巨细胞瘤位于低位骶骨,且骨巨细胞瘤具有横向生长特性,信号不均,增强明显不均强化。本例不符。
5、脂肪瘤,多生长于椎管内,伴或不伴其他发育畸形,因富有纯脂肪成分,T1WI及T2WI高信号,压脂像低信号,本例不符。
6、蛛网膜囊肿,椎管内的囊肿除了考虑蛛网膜囊肿外还有前肠源性囊肿,二者区别在于前肠源性囊肿位于椎管脊髓腹侧,以颈胸交界区多见,蛛网膜囊肿多位于脊髓背侧,因富含自由水,T1WI低信号,T2WI高信号,压脂像高信号,二者高信号没有区别,增强无强化,对周围组织没有破坏。
【手术记录】
手术名称:骶椎后路椎管内肿物切除术
手术记录:开窗将硬膜牵向内侧,可见肿瘤组织,肿物呈淡褐色,质软,表面血管丰富。用神经剥离子将肿物自蒂部完整切除,大小约2.5cm×2.5cm×1.2cm。查硬膜囊内无出血。术中诊断:考虑血管瘤可能性大。
【病理结果】
海绵状血管瘤
【出院诊断】
椎管内海绵状血管瘤
【问题答案】
问题一 AEF
问题二 AC
问题三 F
【简问简答】
假定您具有一定的物理学知识,对基本磁共振原理略懂一些。以下问题对具体一些问题进行科普性的解答,高年资医生请自动跳过,青年影像医生、临床医生、进修生、规培生看看有意义,因为这也是笔者在学习磁共振成象时的一些疑问和找到的答案。
问题一:FS和STIR相比各有什么优缺点?
FS压脂技术在MR机器(GE、西门子、飞利浦)操作界面中都是显示为Fat Saturation(脂肪饱和法)或Fat suppress,正式名称应该是频率选择饱和法,二者简写都是FS,主要采用化学位移选择饱和技术(Chemical Shift Selective Saturation CHESS)。该技术利用脂肪和水质子化学位移效应,预先发送脂肪饱和脉冲,脂肪信号被抑制无法读取,再施加真正成像脉冲,读取水质子的信号显像,达到压脂目的。是最广泛应用的压脂技术,压脂均匀,图像质量高,主要应用于高场强、缺点是场强均匀度要求高、采集时间长。
STIR压脂(Short TI Inversion Recovery)短反转时间反转恢复序列。人体组织中脂肪组织的T1时间(纵向弛豫时间)最短,1.5T场强的时间约200-250ms,在FIR(快速反转恢复序列)中设置TI(反转时间)的数值为脂肪组织T1(纵向弛豫时间)的69%,约为140-175ms,脂肪信号被压制无法采集,达到压脂目的。优点:场强依赖低。对磁场均匀度要求低。缺点:图像质量略差,不能用于增强扫描,部分血肿信号可能减低(因与脂肪T1时间相同)。
问题二:反相位信号特点及临床应用诊断?
Dixon于1984年在Radiology期刊发表论文,阐述了通过两种组织的相位差异分别产生水质子和脂肪质子MR图像的机制,简称水脂分离技术,被称为Dixon技术也就是同反相位成像,在磁共振成像中得到广泛应用。同反相位成像物理基础是化学位移,脂肪和水质子的共振频率之间化学位移为3.5ppm(百万分之一)。1.5T场强下,脂肪和水质子在横向磁化矢量方向依次出现同相、反相,间隔时间为2.2ms。如下图所示(引自 轻松学习磁共振成像100问),时间为0ms时,脂肪和水质子在同一方向,为同相位,过了2.2ms后,脂肪和水完全成为反方向,为反相位,然后再依次进入下一个同反相位循环。

反相位具有以下成像特点:
1、组织中水脂混合成分信号明显衰减,主要通过FS压脂。分为三种情况,
a组织水质子远大于脂肪质子,或者没有脂肪,假定水质子95%,脂肪质子5%,那么经过压脂后水质子和脂肪质子互相抵消5%,剩余信号90%,信号基本变化不大;
b组织水质子和脂肪质子相等,各为50%,那么压脂后,剩余信号为0,对比同相位图像,信号明显减低;
c组织完全是脂肪组成,水质子很少,那么水质子5%,脂肪质子95%,剩余信号90%,基本变化不大。所以反相位的图像特点就是水脂混合组织信号对比同相位减低最明显,纯水和脂肪组织没有信号变化,对某些含有微小脂肪的肿瘤如腺瘤、脂肪肝、肝脏局灶性病变脂肪变性、血管平滑肌脂肪瘤等含脂组织成分鉴别有特殊意义。
2、同相位即为普通的T1图像,反相位图像具有特殊的勾边效应或描边效应。一般脏器信号来源主要是水质子,周围脂肪信号来源于脂肪质子,在反相位图像中,脏器(纯水)和周围脂肪信号(纯脂肪)下降都不明显,但是脏器和脂肪交界区是水脂混杂的组织,信号减低非常明显,会形成1-2个像素的黑边,是特征性的反相位图像标志。
问题三:临床应用FS、STIR、反相位压脂技术如何选择?
FS压脂技术是最广泛应用的压脂技术,压脂均匀,图像质量高,主要应用于高场强、场强均匀度要求高、采集时间长。STIR压脂优点:场强依赖低。对磁场均匀度要求低。缺点:图像质量略差,不能用于增强扫描,部分血肿信号可能被压脂(因与脂肪T1时间相同)。反相位(Dixon)压脂技术,场强依赖低,图像效果好,对磁场均匀度要求低。
1.0T以上高场强三者都可以应用,FS压脂和Dixon压脂技术应用最广,FS压脂需要匀场,低场强Dixon技术和STIR压脂为最佳选择,图像Dixon技术好于STIR压脂。增强扫描选择FS压脂或Dixon技术。