
本病例为缺血性心脏病合并心力衰竭(心衰),在同时给予了药物(血管紧张素受体脑啡肽酶*制剂抑**沙库巴曲缬沙坦钠片)和非药物治疗(介入治疗开通血管)后,患者症状改善明显,提示对于此类患者,并不能仅关注血运重建情况,药物治疗同样不可或缺。
点评专家

廖新学教授
廖新学,教授,中山大学附属第一医院心血管医学部*党**总支书记、副主任,心内一科主任。中国医师协会中西医结合分会高血压血管病专家委员会常委、中国康复医学会心血管病专业委员会委员、广东省康复医学会心血管病分会会长、广东省老年保健协会心血管内科委员会副主委、广东省健康管理学会男性健康分会副主委、广东省医师协会高血压专业医师分会常委、广东省健康管理学会心血管病专业委员会常委。从事心血管疾病的临床与科研工作29年,研究方向为高血压病、冠心病、心律失常、心衰等。
缺血性心肌病,单纯血运重建并不够
包括心肌梗死、冠状动脉病变等在内的缺血性心脏病是心衰的重要病因之一。对于此类患者,血运重建固然重要,可以缓解心肌缺血,改善生存。但血运重建后出现慢性心衰的患者并不罕见,这是由于血运重建时已有心肌细胞死亡、心肌纤维化进展、左心室重构、残存的动脉粥样硬化病变仍可能诱发心功能不全等多种原因造成。
因此,在缺血性心脏病所致心衰中,药物治疗同样不可或缺,长期、规范的药物治疗有助于控制危险因素、降低剩余心血管疾病风险,改善患者症状和生活质量,最终改善预后。
《中国心力衰竭诊断和治疗指南2018》推荐的心衰治疗药物包括利尿剂、肾素-血管紧张素系统*制剂抑**、β受体阻滞剂、醛固酮拮抗剂、伊伐布雷定和洋地黄类药物等。
其中最值得关注的是新近获批的血管紧张素受体脑啡肽酶*制剂抑**(ARNI)沙库巴曲缬沙坦钠片,此类药物针对的是既往心衰治疗中被忽视的神经体液失衡,沙库巴曲缬沙坦,发挥降低血压、降低容量负荷、抗心肌纤维化、改善心室重构等多种作用。
PARADIGM-HF研究提示,与依那普利相比,沙库巴曲缬沙坦钠片使心衰患者的主要复合终点(心血管死亡和心衰住院)风险降低20%,心脏性猝死减少20%。这一针对现有心衰经典治疗活*药性**物依那普利的有效性研究也证实,心衰优化治疗的时代已经到来。
真实病例分享:
缺血性心脏病合并心衰,如何优化治疗?
病例
(本病例由阜外华中心血管病医院闫瑞医生提供)
★ 病例资料
▎基本情况:
患者,女性,48岁,因“发作性胸闷、胸痛9年”入院。
▎现病史:
2010年因急性前壁心肌梗死就诊当地医院行介入治疗,介入术中可能发生心包填塞,急诊外科开胸治疗,未行冠脉搭桥手术。术后长期服药,仍有间断胸闷、胸痛不适发作,反复当地医院治疗。2017年因胸闷、胸痛外院急诊,行冠脉造影示“左主干至前降支严重狭窄,回旋支次全闭塞,右冠脉正常,可见向前降支提供侧枝循环”,心脏彩超示“左心增大、心功能差”,因手术风险高,家属拒绝手术。2018年7月再次因胸闷、胸痛就诊我院,为进一步诊治收入院。
▎既往史:
高血压病史9年,最高达160/90 mmHg,长期服用药物治疗,血压控制尚可。
▎个人史:
吸烟史20余年,60支/日,戒烟7年余,无饮酒史。
▎体格检查:
心率75次/分,血压110/70 mmHg。心脏浊音界扩大、二尖瓣听诊区可闻及舒张期3~4级杂音,肺部听诊大致正常,双下肢轻度水肿,余未见明显阳性体征。
▎辅助检查
-
实验室检查:心肌酶及肌钙蛋白正常,血常规、肝肾功能、血糖血脂、电解质等大致正常。脑钠肽(BNP)3871 pg/ml。
-
心电图(ECG):1. 窦性心律、2. 室性早搏 成对出现、3. 胸前导联R波递增不良、4. ST-T异常,5. QTc延长。

图1:患者入院心电图检查
-
超声心动图:
左室壁阶段性运动异常,左心增大,二尖瓣大量反流,左心室舒张末期内径(LVDd)73 mm,左室射血分数(LVEF)27%,二尖瓣返流面积8.7 cm2。

图2:患者入院超声心动图检查结果
-
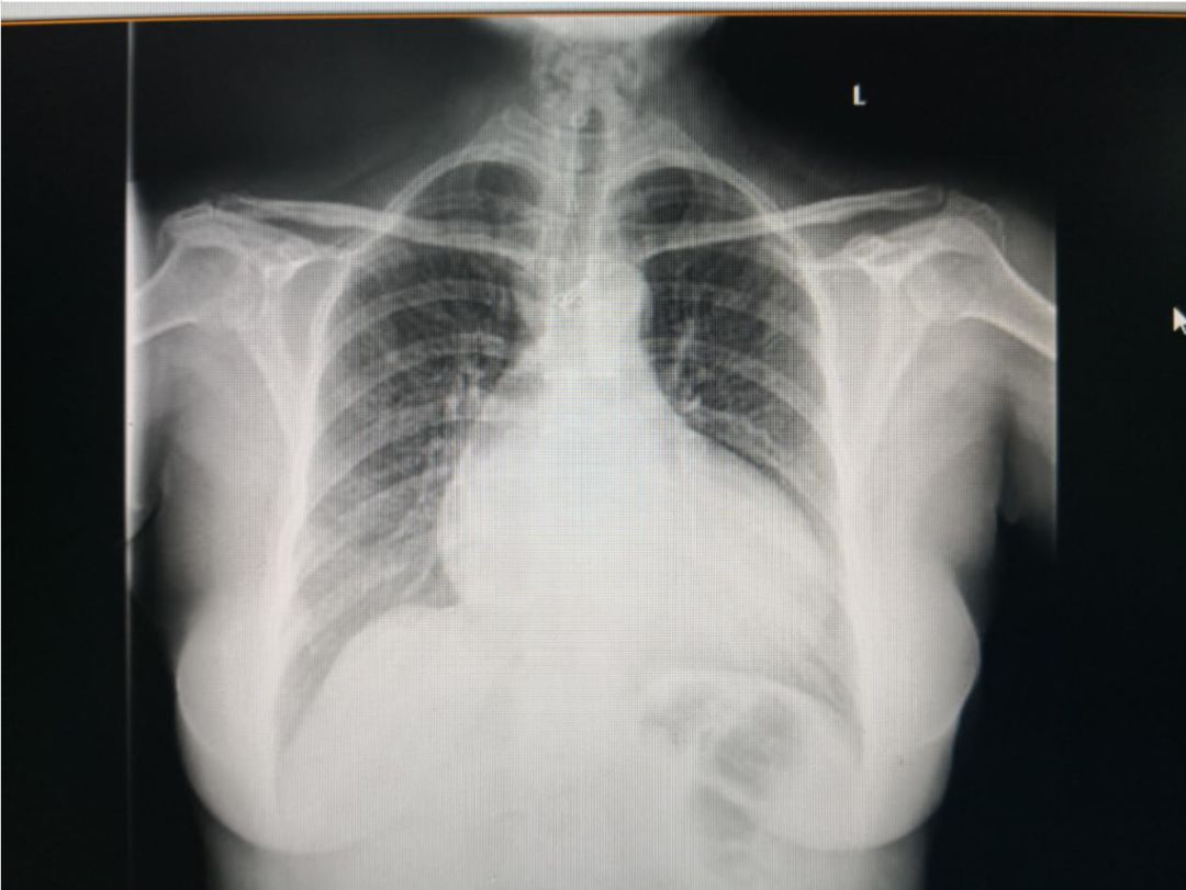
胸片: 双肺纹理增多,心影增大,心胸比约为0.67,主动脉钙化。

图3:患者入院胸片检查结果
▎入院诊断:
-
冠状动脉粥样硬化性心脏病、陈旧性前壁心肌梗死、缺血性心脏病、心功能Ⅲ级;
-
高血压病2级(极高危)。
入院诊治过程:患者入院后经以下药物积极治疗后症状明显改善,未行介入治疗,出院后规律口服药物治疗。
表1:初始药物治疗方案

疾病进展及处理:2019年3月发作胸闷不适就诊,仍以药物治疗为主,好转后出院。
2019年5月因胸闷、胸痛就诊当地医院治疗,治疗期间发作室速、室颤,行电除颤后转入我院。查体心率70~80次/分,血压100/60 mmHg,双下肢无水肿。心电图示窦性心律,频发室早。超声心电图示LVDd 57 mm,LVEF 33%,二尖瓣中度返流。氨基末端脑钠肽前体(NT-proBNP)3561 pg/ml。肌钙蛋白:63.87 pg/ml。心肌酶、肝肾功能、电解质大致正常。予调整治疗方案,沙库巴曲缬沙坦钠片加量至100 mg bid,另加用胺碘酮200 mg bid。
此外,于主动脉内球囊反搏(IABP)支持下行经皮冠状动脉介入治疗(PCI)(冠脉造影示:左主干及近段狭窄80%,末端狭窄 99% ,前降支完全闭塞,回旋支完全闭塞,右冠正常,远端可见向左冠状动脉提供侧枝循环。IABP支持下开通前降支闭塞,自前降支近端至左主干植入 2枚 支架。)术后患者病情稳定,心率50次/分,血压90/60 mmHg。诉头晕不适,行动态心电图:频发室早、窦性停搏。建议置入埋藏式心脏复律除颤器(ICD),患者未同意。

图4 :复查动态心电图结果
▎ 疾病转归:
调整治疗方案后患者症状好转,NT-proBNP水平及心脏超声结果提示好转,于2019年5月出院,出院时已停用美托洛尔及胺碘酮。
表2:具体治疗方案调整过程

表3:BNP变化情况

表4:心脏彩超变化情况

★ 诊 治 体会:
这是一例典型的缺血性心脏病合并心力衰竭患者,合理应用了药物(沙库巴曲缬沙坦钠片加量至100 mg bid)和非药物治疗(IABP支持下的PCI),因而获得了令人满意的结果。
★ 专家点评
▎病史与诊断:
-
患者病史描述清晰,辅助检查全面,体检规范。该患者为中年女性,主诉发作性胸痛9年,2010年因急性前壁心肌梗死于外院诊治,入院查BNP3871 pg/ml,LVEF 27%,结合病史和体征,辅助检查结果,诊断为冠心病,缺血性心脏病,陈旧性前壁心肌梗死,心脏扩大,频发室性早搏,心功能Ⅲ级,高血压2级(极高危)。
▎治疗方案:
患者为缺血性心脏病,心功能Ⅲ级,入院后进行再IABP支持下行冠脉介入治疗,积极改善患者心脏血运情况。入院时血压为110/70 mmHg,根据中国心力衰竭诊断和治疗指南2018推荐,使用沙库巴曲缬沙坦钠片是合理的,初始剂量为50 mg bid,后逐渐加量至100 mg bid,并根据患者血压、外周循环等情况调整至患者最大可耐受剂量。
患者已使用抗血小板药物、他汀、β受体阻滞剂等冠心病二级预防药物治疗,可考虑在此基础上联用曲美他嗪改善能量代谢。
经积极的药物治疗及介入干预,患者症状改善,复查BNP下降,左室明显减小,LVEF增加,心衰好转,是一例成功的规范治疗病例。
对于缺血性心脏病患者,药物和非药物治疗同样重要。血运重建只是暂时的,只有长期、规范的药物治疗才可以降低患者长期剩余心血管疾病风险。沙库巴曲缬沙坦钠片作为首个临床应用的ARNI,基于PARADIGM-HF研究,成为中外心力衰竭诊断和治疗指南推荐使用治疗HFrEF药物之一(Ⅰ类B级),有助于改善心衰的预后症状,提高生活质量。