牙医要警惕!拔除松动牙
一定要拍一个全景片

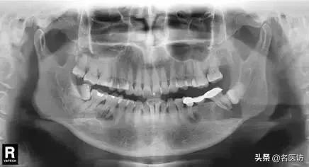
周末,小编不经意间发现一个拔牙案例刷爆了牙医们的朋友圈

相信大部分的人和小编一样,没等看到具体病情就已经被图中这个巨大的“球”状物体吓到。小小的下巴竟能长出这么大的“球”!
“患者是30多岁的年轻男子,红色标记那颗牙松动,要求拔牙,开始嫌麻烦不愿拍片,后来经过再三劝说还是拍了片。结果把所有人包括他自己都吓了一跳。估计是良性,具体还得去医院住院手术做病理检查,所以大家不要忽视一张片子带来辅助检查的重要性。”

试想,如果没有拍片,直接贸然拔牙,一旦出现问题......
一张牙片,“救了”诊所,也“救了”患者!
为什么要拍牙片?
牙齿的硬度比骨骼还高,仅靠肉眼检查是无法得知牙齿内部情况的。
- 比如当牙齿有深部龋坏时,仅凭口内检查无法得知龋洞的深度、离牙神经的距离以及有没有并发牙根发炎等重要信息
- 比如,当拔除下颌智齿时,仅凭口内检查无法发现它离神经管的位置
因此,如果牙齿出了问题,齿科医生就需要有“透视”功能的X线片来检查。通过x线片不仅能了解牙齿本身的病变情况,还可以了解牙根下有没有囊肿、周围骨头有没有吸收以及牙槽骨内是否有埋伏牙、多生牙等。依据X线片综合分析,可以提高齿科医生诊断治疗牙齿的准确性和成功率。
常见的牙科放射检查包括曲面体层片( 全景片 )、小牙片、头颅正侧位片、全头颅 CT、锥形束 CT( CBCT )等。由于牙齿下部隐藏在牙槽骨中,口腔医生要了解牙齿的整体情况就需要拍摄全景片;
要了解个别牙根及周围变化,则选择拍摄小牙片。医生要判断牙槽骨是否符合种植条件,或者了解埋伏阻生齿的三维位置以及其他颌骨内病变组织的形态大小时,则需要进一步拍摄 CBCT 。


所以,拍牙片是一种帮助齿科医生进行诊断、治疗、疗效评估的重要手段,治疗前用于发现病变程度、范围;治疗中用于引导治疗、确定治疗范围和深度;治疗后用于观察疗效。
这里要特别强调一下全景片,建议每个人一生要至少为自己的牙齿拍一张全景片——
通过全景片不仅能了解“牙齿”本身的病变情况,还可以了解“牙根”下有没有囊肿、周围骨头有没有吸收 以及 牙槽骨内是否有“埋伏牙”、“多生牙”等 其它外观不能看见的病灶。
拍“牙片”有辐射吗?
辐射分为电离辐射(如X光)和非电离辐射(如手机、微波炉),这里主要讲述的是电离辐射。
电离辐射的测量单位是西弗(Sv),但西弗是个非常大的单位,因此通常使用毫西弗(mSv)和微西弗(μSv),1Sv=1000mSv,1mSv=1000μSv)
根据国际放射防护委员会(IRPA)提供的信息,每人每年受到的辐射剂量大约在2.5毫西弗左右,这个数值受地域纬度的影响而波动。其中大约80%来源于自然界,20%来源于人工辐射。
拍牙片是什么样的辐射水平呢?
根尖片为 5.2 μSv ,全口根尖片为 72.32 μSv ,曲面体层片为 10 ~ 23 μSv ,头颅正位片为 1 ~ 5 μSv ,头颅侧位片为 1 ~ 3 μSv ,让人「闻风丧胆」的 CBCT 剂量一般也在 300 μSV 之内。

为了帮助大家更容易理解,我们用单位面积内的香蕉数量表达辐射强度。

之所以选择香蕉,是因为香蕉富含钾元素,天然钾当中约有0.0117%的放射性钾——钾40,而钾40的半衰期长达12亿5千万年(地球岁数大约45亿年)。
1根香蕉=0.1微西弗,那么常规的牙科X线检查,辐射剂量都是多少呢?
拍一张根尖片(5.2 μSv)的辐射剂量等于一次吃下52根香蕉

拍一张小牙片=吃52根香蕉
以此类推... ...
拍一次全口曲面断层=23微西弗=4.4张根尖=230根香蕉
拍一次全口曲面断层=吃230根香蕉
拍一次小视野CBCT=300微西弗=60张小牙片=3000根香蕉
国际放射防护协会规定,正常人一般每年限制受到辐射不超过 1000 μSV ;如按终生剂量平均值来考虑,则在某些年份允许 5000 μSV 作为最高上限。
对致癌率产生影响的最低剂量为 10 万 μSv ,也就是说,我们大约拍 2 万张根尖片才有诱发癌症的风险。
所以常规的口腔放射检查,都在安全剂量范围内,配合医生才能得到好的治疗效果。
特殊人群能不能拍牙片?
1、儿童:
儿童是可以拍牙片的,一般医生会根据情况采取措施,帮助孩子保护好甲状腺等射线敏感部位。
2、孕妇:
根据美国妇产科医师协会的意见,在有防护(腹部及甲状腺)的情况下,孕期必要的齿科x线检查是可以安全进行的。
3、哺乳期:
哺乳期可以拍摄齿科x线片。
4、备孕期:
暂时未在各种指南中找到关于“拍片后多久能怀孕”的答案,不过综上所述,齿科拍片剂量通常非常小,穿上铅制防护衣拍摄牙片对健康的影响微乎其微。
今天的科普就到这里啦,如果大家有牙齿问题,也可以在评论区留言哦~牙齿有问题,那就关注「名医访」吧!好了,我是小美,有任何牙齿问题都可以撩我【mingyikanyahao】