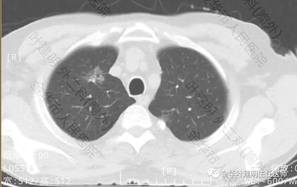
金华的阚某,今年67岁,前些日子因为“咳嗽、咳痰”到金华市人民医院就诊,因为考虑肺部感染,建议其住院抗炎治疗及进一步完善胸部CT等检查,结果示:右肺上叶磨玻璃结节,建议靶扫描及病理学检查;两肺多发感染性病变;左下支气管扩张等诸多肺部疾患。其CT检查影像如下:

上图示右上叶磨玻璃结节

上图示右中叶及左下叶感染灶

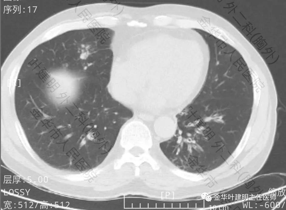
上图示左下支扩及感染
阚某是本院一护士的亲戚,遂找到胸外科叶建明主任医师会诊阅片,考虑是不是肺癌,要不要手术及靶扫描,以及如果需要手术,何时为宜?叶建明仔细阅片并与谭海栋副主任医师商量后,认为其右上肺磨玻璃结节是较为典型的浸润性腺癌影像表现,且与正常肺组织之间并不是界限清楚的,而是呈浸润性改变,但实性成分目前仍不明显,考虑为浸润性腺癌贴壁生长型或腺泡型可能大,应该进一步完善胸部CT靶扫描,以观察病灶细节。手术是要做的,手术方式的确定等靶扫描之后再定。以下为靶扫描影像:




以上诸图示右上叶病灶,是典型的腺癌影像,直径约2.5厘米许
靶扫描以后还发现上叶另外地方还有一磨玻璃结节,约1厘米左右,密度较淡,但瘤肺边界清楚,也是较为典型的腺癌影像:

如此,右上肺是多发磨玻璃结节,考虑多原发癌。按病灶大小及所处部位,需要行右肺上叶切除,并淋巴结采样或清扫。鉴于其存在肺部炎症情况,建议其先抗炎治疗7-10天,待咳嗽、咳痰症状不明显,血象及C-反应蛋白等均正常后再考虑行胸腔镜下微创手术,因为合并肺部炎症情况下手术,术后呼吸道并发症发生率增高,也容易出现肺不张、支气管胸膜瘘或低氧血症等相关风险。
经过10来天的正规抗炎化痰治疗,阚某呼吸道症状消失,复查血常规与CRP均正常,遂转来胸外科手术治疗。经过必要的术前准备后于2018.9.20由叶建明主任医师主刀,谭海栋副主任医师以及郑盛弘医师为助手,采用单孔胸腔镜下技术,在其右侧胸壁只开一个3厘米左右的小孔,完成了“右肺上叶切除及淋巴结采样术”。由于进胸后发现右上叶与胸壁广泛粘连,组织结构也相对比较韧,非疏松,手术组耐心仔细予以分离解剖,没有中转开胸操作。术后病理切片示:大的浸润性腺癌。小的也是浸润性腺癌。
#抗击肺癌#