很多人一听说心脏病
就高度紧张、如临大敌
有些人的心脏病是自胎儿时期就有的
有的则是因为后天发育引起的
而室间隔缺损就是先天性心脏病的一种
发现孩子有室间隔缺损
不少宝爸宝妈也会很疑惑

家里其他人都正常
为什么我的孩子就患上心脏病了呢
室间隔缺损
需要马上治疗吗
下面就让日照心脏病医院专家来为您答疑解惑
人的心脏有4个腔室,分别为左心房、左心室和右心房、右心室。如果把心脏看成是一栋2层高的楼房,楼上两间为心房,楼下两间为心室,把心房隔开的墙就是房间隔,把心室隔开的墙是室间隔。

若室间隔存在异常开口,“墙上”破了个洞,造成左右心室血流异常流通,就是室间隔缺损。

室间隔缺损
室间隔缺损是最常见的先天性心脏病之一,约占成年人先天性心血管疾病的15%-20%。
室间隔缺损常用的检查方式
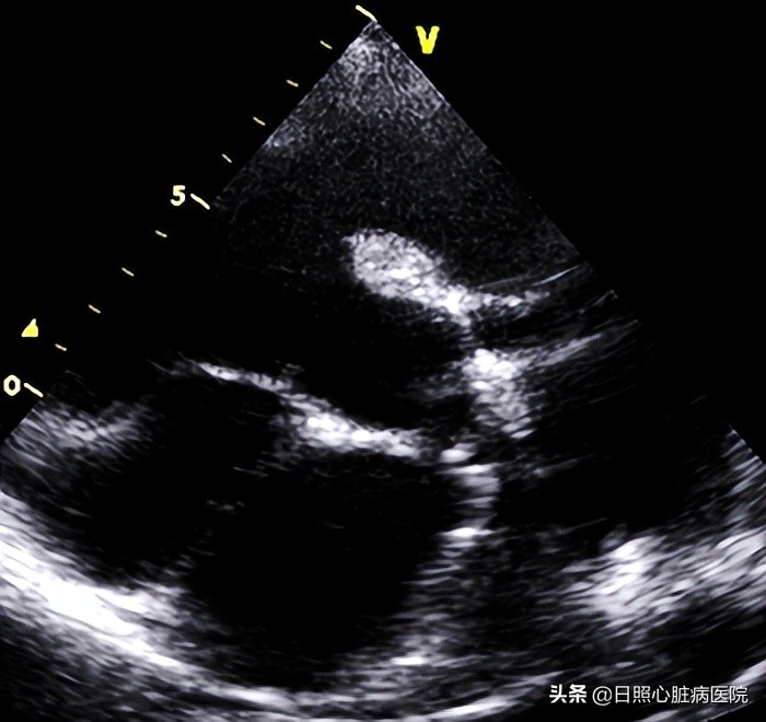
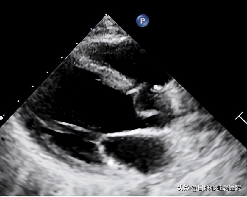
当出现室间隔缺损相关的临床表现时需要做心电图、胸部x线片检查、超声心动图检查帮助诊断。其中超声心动图是首选的检查手段,它可以精确的诊断出缺损口大小、分流及部位。
发现孩子室间隔缺损怎么办?
如果发现宝宝有室间隔缺损,家长先不要恐慌,室间隔缺损是治疗效果最好的先天性心脏病之一,只要及时治疗,治愈后可达到与正常人一样的效果。很多小的缺损,可以自愈,中等大小室缺,可以随访,每三个月行心脏彩超检查,对于比较大的缺损,需要及时治疗。
室间隔缺损,都需要手术治疗吗?
患有室间隔缺损先心病的患儿是否需要治疗要根据室间隔缺损的类型、大小来具体分析。

室间隔缺损位于膜周部
如室间隔缺损位于膜周部,且室间隔缺损直径较小,由于有自然愈合的可能性,可随访观察到学龄前;如果室间隔缺损到了学龄前仍未“长好”,则须接受手术治疗。

直径较大的室间隔缺损
而对于直径较大的室间隔缺损患儿,由于有导致肺动脉高压和心力衰竭的可能,则应该尽早接受手术治疗。

肺动脉瓣下型室间隔缺损
由于没有自然愈合的可能性,无论直径大小,均须接受手术治疗。

巨大缺损的患儿
对于有巨大缺损的患儿,由于分流量大极易产生肺动脉高压,需要及时接受手术修补。
室间隔缺损的手术方式
室间隔缺损的治疗方式需要由专科医生进行专业评估,根据患儿年龄、发育状态、缺损大小、位置等因素综合决定,治疗方式主要是外科修补或者介入治疗。
1
外科手术治疗(室间隔缺损直视修补术)
适用于各类室间隔缺损患者。可以过胸骨正中切口及腋下小切口在体外循环辅助下完成手术。

一般而言,年龄3-4个月以上的先天性心脏病患儿,除了复杂先天性心脏大血管畸形和少数需要二次手术的患儿以外,多数患儿都适合做腋下小切口心脏手术,包括:没有严重肺动脉高压的房间隔缺损和室间隔缺损,部分性的肺静脉异位引流,二尖瓣和三尖瓣关闭不全等。甚至肺动脉瓣下的高位室间隔缺损,都可以经腋下小切口完成手术。
2
经导管介入治疗(室间隔缺损介入封堵术)
介入治疗是指在X线或者超声心动图的指引下,通过穿刺血管将封堵器送至室间隔缺损边缘,释放封堵器以达到缺损封堵的一种方法。
室间隔封堵微创手术具有创伤小、美观、恢复快、风险低的特点,患者术后生活与寻常人无异。
划重点
室间隔缺损患者的临床表现取决于缺损的大小。如果“墙”上的洞破得比较小,左向右分流量小时,患者可无任何症状。缺损较大时,可变现为发育较差,常有心悸、气短、易感冒、肺部感染等,后期甚至可引起肺动脉高压、细菌性心内膜炎、主动脉瓣关闭不全、心力衰竭等,缩短寿命,降低生活质量。因此,一旦发现室间隔缺损较大,应积极治疗,不要错过宝贵的手术时机。