
“如鲠在喉”在《说文解字》的释义为“鲠,食骨留咽中也。”享受鱼类制品美味的同时,卡鱼刺者逐渐增多。 鱼刺卡的位置一般是咽,极少在喉。 普通群众将咽和喉统称为“喉”或者“咽喉”,虽然二者所在的解剖位置紧密相关,但在一些疾病相关的定位上是有所区别的。喉异物容易引起呼吸困难,是比较凶险的一个问题,这里稍做区分。


鱼刺卡喉可轻可重。症状轻者持续几天的不适感便自行消失,重者可引起严重的颈部纵隔感染和致死性的大出血,故应引起重视。

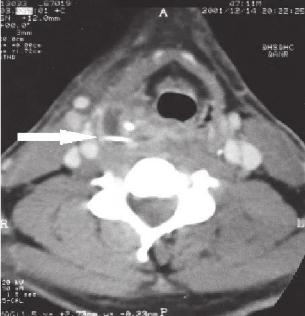
▲箭头指的是鱼刺以及鱼刺引起的周围脓肿
快问快答!误吞鱼刺主要的几个疑问 01如何判断,到底有无异物?
当被鱼刺或者其他异物卡喉之后,如果异物感很强烈且持续,吃不下睡不着,几乎可以确认异物的存在。但有时异物感时有时无,甚至到医院做了电子喉镜仍然没有看到异物,那该怎么办?
一般细小尖锐的异物才能卡在咽部,像鱼鳞、虾壳、药片之类的异物有可能在吞咽的时候短暂贴附于咽部的某处引起不适感,一般多次漱口喝水后可清除,且异物感不同于鱼刺的刮擦感。同样的,食管的鱼刺往往不会是细小柔软的鱼刺,细软的鱼刺一般会被吞咽的食团带下去。
需要注意儿童或者文化程度低的老人经常不能准确感受和描述, 此时可以通过判断是否有持续性流口水、有没有手指抠喉咙、有没有抗拒吞咽喝水、吞咽时是否表情痛苦来间接判断有无异物感,儿童经常卡鱼刺后会出现呕吐,呕吐经常会将异物呕出,到医院时大部分看不到异物,可以通过让他们小口喝水观察表情来间接判断有无鱼刺卡到。
02
如何判断,鱼刺卡在哪个位置?
卡鱼刺常见于扁桃体或者扁桃体周围。 尤其扁桃体大的人吃鱼容易卡刺,接诊过双侧扁桃体III度肥大的病人一边各卡一根鱼刺。 另外,卡鱼刺也常见于舌根上。
异物感最明显的点往往不是鱼刺刺入的点,而是露出来的尖端对应的位置。
当鱼刺卡喉时,若自己用手能摸到咽部的异物,表示鱼刺位于比较浅的扁桃体或者舌根浅部,代表鱼刺容易看到和取出。若不能触及的异物但可通过描述异物感在颈部大概的位置,表示鱼刺在咽喉部大概的区域。

一般在喉结以上水平或者两侧的异物感,提示鱼刺是在咽喉部。异物感如果位于正中线、甲状软骨以下尤其是环状软骨以下、胸骨上窝区域,异物基本可以排除位于咽喉部,应该是已经进入食管入口(食管第一狭窄),但是因为有些人描述不清楚,医生常规还是要看一下咽喉部初步排除后再针对性地检查食管。颈部的区域划分,用于提示鱼刺在咽喉部的大致位置,方便医生有针对性地检查咽喉腔内对应的区域。
03鱼刺卡喉如何处理
莫惊慌
千万不要硬吞食物将鱼刺吞下
以免造成异物穿破食管导致穿孔
正确做法应是先漱口清理口腔和咽喉部食物残渣、粘液,自己吞口水感受异物大概位置。如果在口腔后方的口咽部,可以到镜子前张口,在光源充足的条件下检查是否位于扁桃体上。适当的压舌可以看到更大的范围,也可以用手感受是否可以摸到尖锐的异物刮擦感。如果能看到,可以尝试利用镊子钳子等工具自己或者请他人帮忙夹出。若无法取出,需及时就医,并告诉医生摸到鱼刺的位置。
若鱼刺卡得比较深,需就诊耳鼻喉科做电子喉镜检查。找和取鱼刺都需要合适的器械,也需要患者的配合。咽部敏感、舌头肥厚、扁桃体过大、不能配合拉舌头和发音等都会影响鱼刺的顺利取出。
如果误吞的鱼刺是细软的,异物感不强烈,不影响继续进食和睡眠,可以先自行观察,多用盐水漱口可能助于自然脱落。

温馨提醒
以上内容基本是针对咽部包括口咽和喉咽的异物,喉腔的异物比较少见,喉腔内的异物会引起剧烈的咳嗽,声带损伤、水肿,异物限制声带活动都会引起声音嘶哑,甚至呼吸困难。
· 耳鼻咽喉科建议您
大家吃鱼的时候还是要谨慎小心、细嚼慢咽,不要在口含食物时讲话。尤其喝鱼汤要特别小心异物残渣,小孩子和咽部感觉不灵敏的老年人要尤其注意,以免造成不必要的后果。
科普医生
陈晓强
主治医师耳鼻咽喉科
医学硕士,博士在读。作为王德生教授团队成员,主要从事鼻部炎症、肿瘤性疾病,鼻颅底外科治疗,鼻眼相关外科,咽喉头颈肿瘤等方面疾病诊治。擅长头颈、鼻窦、颅底解剖、影像学和手术,头颈、颅底肿瘤的多学科规范化诊疗。
撰稿:耳鼻咽喉科 陈晓强