据统计,中国有超过89%的人牙齿不整齐,牙齿不齐主要是获得性因素(后天不良习惯)导致。后天不良习惯导致牙列不齐占到70%,其余的基本是遗传因素导致。后天因素是主因也比较可控,改变一些不良习惯就能让牙齿整齐好看,美美哒!
导致牙齿不齐的坑有很多,你入坑了吗?
年少不知牙珍贵,吃坏乳牙
01
爱吃软的
因为软的方便吃啊,可长期吃软的东西会导致乳尖牙磨耗不足。下图是上乳牙磨耗不足导致与下牙过早接触,牙齿外崩,而新生牙从内侧生长,持续挤压外面的牙齿,影响咀嚼和美观。

乳牙磨耗不足,导致的牙齿不齐
02
爱吃甜的
都知道老吃甜的容易坏牙,乳牙过早的缺失,乳牙就失去了对恒牙的导萌作用!

虽然乳牙没了恒牙会再长出来,可没有乳牙导萌,恒牙就会野蛮生长,牙齿难以整齐、对称啦!
03
手指也不放过
手指真的有那么好吃吗?

不良咀嚼习惯:多数为吮指习惯、舌习惯、咬唇习惯、咬物习惯、伸下颌习惯、不良吞咽习惯、偏侧咀嚼习惯等,可以引起各种各样的错牙合。
PS:咱们小时候,父母可能没有意识到牙齿的重要性。那现在的爸爸妈妈们一定要从小注意孩子的饮食习惯,半年/一年去一次医院为宝宝做口腔检查是十分必要的。牙齿健康了,笑起来好看,孩子会更加自信。
说完了小时候,再说说现在!
青年时期智齿作祟,挤乱恒牙
有人说长智齿的时候牙会疼,可是你知道吗,牙齿不齐也很可能是智齿造成的!
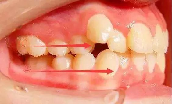
长智齿引起的牙齿不齐

上面①号智齿稍微温柔点,挤压第2、3颗临牙,将第4颗挤出水平线;下面②号智齿更*力暴**,将2、3、4颗三颗挤出原来位置,集体外崩。
坑说了那么多
你躲过/掉进多少大坑
牙齿才有现在的样子呢?

这么多坑
小时候不知道,长智齿没办法
已经掉坑里了怎么办?
广大口腔医院专家来支招

牙齿不齐,矫正来解决
现代医学不断进步,矫正牙齿只是基本要求,更重要的是改善面部线条,脸型更自然,更美观。