2021年1月29日,这天是农历的腊月十七。
由于临近春节,所以大多数人几乎都已经无心上班,满脑子都是有关春节放假的事情。大街上张灯结彩,置办年货的人来来往往。
尽管这时候依旧属于新冠疫情期间,但是新春的喜庆似乎将一切的不悦全都冲淡了。
但是相比较于大街小巷中那热闹的节日气氛,这天的梁怡却是愁容满面。眼神呆滞地她行走在孝感的大街上,一时间竟不知道何去何从。

梁怡是一名护士,平时下班回家走路也就半小时左右的时间,但是这天,梁怡在这条路上却走了一个多小时。
梁怡的包里面是一张病历单,上面清清楚楚地记录着梁怡所患的疾病——肝癌晚期。
作为一名医务工作者,梁怡太明白这意味着什么了。通常情况下肝癌晚期患者基本上只有等死的命,存活时间只有半年到一年的时间。
就在这时候,梁怡的手机响起,低头一看是哥哥打来的电话。

在接通电话的那一刻,梁怡止不住地哭出了声来!电话那头是哥哥焦急地询问声。
梁怡将自己的病情告诉了哥哥。对方听到“肝癌晚期”这四个字的时候,倒吸了一口凉气。
哥哥对梁怡说道: “你打算怎么办!”
梁怡回答: “先不要告诉爸爸妈妈!年后我再做一次检查,看下还能争取多久的时间!”
电话的那头哥哥对梁怡说道: “别担心!做手术或者做肝移植,哪种方法能给你治,我就去想办法,只要能治好花多少钱都可以。”
哥哥那坚定的语气,成为了这无尽的严寒中,梁怡感受到的唯一一丝暖意。

乙肝,造成肝癌的主要原因之一
肝癌!一个让人谈之色变的名词。我国的肝癌发病率为千万分之257,在所有的恶性肿瘤中肝癌排名第二。
在我国的肝癌患者中,绝大多数都有乙肝病史,可以说乙肝乃是导致肝癌的重要祸首之一。
梁怡的肝癌其实是可以早控制的,因为梁怡很早就知道自己是一名乙肝病毒携带者。

初中时,在一次校内体检中,梁怡被确诊为乙肝病毒携带者。梁怡的家中有乙肝病史,梁怡的外婆、母亲都患有乙肝。
梁怡一家与很多乙肝病毒携带者一样,对这个病没有太重视。只要没有出现明显的肝区疼痛或是乙肝两对半检查未出现大三阳的症状就不会太过重视。
作为一种慢性传染病,乙肝的真正可怕之处就在于患者往往只要不是出现严重的肝功能障碍,或是病理性疼痛,往往都是忍一忍便过了。

但是只要患者体内存在乙肝病毒,哪怕病毒数量低下,检查未见出现大三阳,也很有可能在长期的病程中一点点地影响到肝脏的正常功能。病毒对肝脏细胞的破坏,使得肝脏细胞不断的纤维化,最终引发癌变。
因此,临床上很多乙肝病毒携带者都直接发展成了肝癌。
等到发现的时候,往往已经是终末期,并发患有肝纤维化、肝硬化、肝腹水等疾病,患者的生存质量很低。

检查出问题时,已经是肝癌晚期
在检查出乙肝病毒携带之后,当时医生给梁怡的建议是“不需要吃药,定期复查”即可。
医生的做法其实没错,因为目前并没有针对乙肝病毒的特效药,所以定期检查和对症治疗成为了大多数医院对待乙肝的主流治疗方案,只要病毒数量控制在一定范围内便视为正常。
只不过后来因为工作过于繁忙,梁怡基本上就忘记了自己是一名乙肝病毒携带者的事实,没有定期检查,以至于肝脏发生病变了都不知道。

梁怡是2016年从医学院护理专业毕业的,同年进入到孝感的一家妇产医院做护士。在工作上梁怡十分努力,每年都被院里面评为先进。也正因为如此,毕业才两年的梁怡便当上的护士长。
长期连轴转的高强度工作加上不规律的饮食,使得梁怡的肝脏在悄无声息地发生病变。
就在梁怡晋升护士长的这一年做职工体检的时,体检医生就发现梁怡的胆囊下方有一个轮廓不明的阴影。医生建议梁怡做一下筛查,梁怡满口答应,可是没多久便将这件事忘在了脑后。
当时梁怡认为自己或许是患有胆囊息肉,或者是肝区有结节,只要定期复查也不会什么大问题。学护理出身的梁怡太自信了。

2020年12月的一天,梁怡和平时一样在医院工作。这天在护士站的梁怡脸色很差,明显的肝区疼痛持续影响着梁怡的工作状态,上厕所的时候,梁怡发现自己的尿液明显发黄,并且还伴有发热疼痛的感觉。
梁怡当时怀疑是自己的肾功能出现了状况,于是在医院的泌尿科挂了一个号进行了相应的一系列检查。
检查结果显示梁怡的肾功能正常,医生建议梁怡再去消化内科做一下检查。梁怡这次没有固执,老老实实地在消化内科挂了一个专家号。医生在听完梁怡的描述之后便立刻让梁怡去做肝功能、乙肝两对半,以及腹内彩超等一系列的检查。

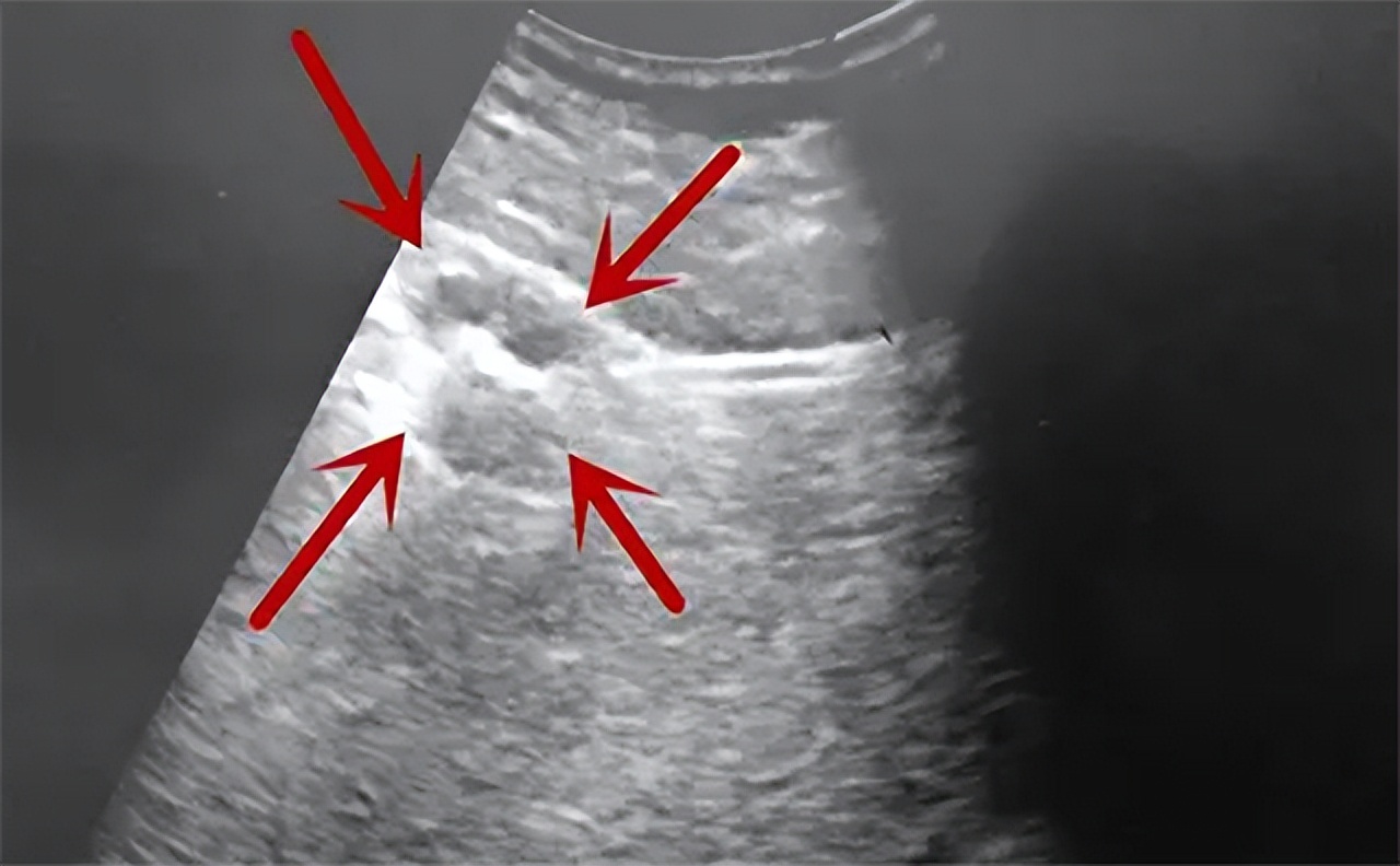
梁怡自己是护士,当然也看得懂医院的彩超检查报告。
梁怡的肝脏部位有一个鸡蛋大小的瘤子,医生在看到检查结果的时候马上让梁怡又做了癌细胞ctDNA指标筛查和CT断层扫描。检查结果梁怡确诊肝癌晚期,肿瘤直径为10公分,同时发生了门静脉转移及肝内转移,按照标准已经属于肝癌晚期了。
看到这个结果,梁怡一下子觉得天都要塌了。从事医务工作的梁怡见过太多患者在确诊肝癌晚期之后,从确诊到逝世也就一年半载的时间。
要是没有哥哥那句话的支持,在确诊当天,梁怡的心理防线很有可能就会垮掉。梁怡没有将自己的病情告诉父母,她想让一家人好好地过一个春节。

春节期间,父母见到梁怡的情绪低落,问了一下,被梁怡支支吾吾地糊弄过去了!开春以后,梁怡便悄悄地在医院请了假,开始了自己的抗癌之路。
刚开始的时候,医院给梁怡的治疗方案是碘油C-TACE介入疗法。这是一种化疗的缓释手段,能够通过碘油作为介质破坏肿瘤的生存环境并且持续地在病灶部位给药。
但是这个方案在梁怡的身上并不理想,做了两次治疗之后梁怡的肿瘤检查指标(甲胎蛋白指数)不降反升,这意味着治疗方案并没有起到实质性的效果,相反梁怡的病情正在逐步恶化。

看到这个结果,梁怡的内心是崩溃的。在常规的化疗手段中,介入疗法已经算得上是比较先进了的了。
如果不能起效,治疗方案失败,就意味着剩下的一切治疗都将是徒劳。等待梁怡的只有死路一条。
梁怡不敢将这个结果告诉父母,甚至都不敢给父母说自己已经停了工作。梁怡只能悄悄地与哥哥*嫂嫂**商量着后续的治疗打算,甚至已经开始在准备自己的身后事了。

抗癌576天终于迎来奇迹
哥哥*嫂嫂**不愿相信这是事实,到处托关系为梁怡打听治疗肝癌的权威专家。最终,苍天不负有心人,梁怡的哥嫂在一位朋友的介绍下找到了武汉同济医院的张万广教授。
张万广是同济医院的肝胆外科专家,有着多年肝癌手术的临床经验。除了常规的手术切除方法外,张万广教授还带领了一个精准医疗的课题小组。
该课题小组的主要研究方向就是通过评估病人的肿瘤生物学特征,找到针对这一肿瘤的靶向药物,再以基因检测为导向,对癌细胞精准用药,同时联合免疫治疗控制病灶的发展。
多年来,通过这种治疗方案,张万广教授成功帮助多名肝癌晚期患者延长生存期,一些早期患者甚至得以治愈。

听到张教授的介绍之后,梁怡的哥哥*嫂嫂**立刻将这一好消息告诉了对方。原本已经放弃希望的梁怡在听到这个消息之后也是喜出望外,立刻从孝感赶到武汉。
基因检测下的靶向药物治疗存在一定的运气成分,首先要通过基因检测手段确定靶点。再通过靶向药物破坏掉癌细胞增殖的关键基因组,以此达到破坏癌细胞增殖的目的。
很幸运,梁怡在进行了血液关键基因检测之后发现明显的致病基因的靶点特征,免疫评分极高,是能够进行靶向药物治疗的。

通过靶向药的使用,梁怡的肿瘤增殖得到了遏制。随后张教授又使用了一种新型的介入疗法(载药微球D-TACE)和肝动脉灌注化疗等方法持续地对梁怡肝区病灶部位给药。
在进行肝动脉灌注化疗期间,医生在梁怡的大腿根部开了一个小创口,将一根细细的导管通过血管直接送到肝脏的病变部位持续精准给药进行化疗。
在经过了整整14个月的联合治疗之后,梁怡再次做腹内彩超时已经能够看到肿瘤明显变小。原本10公分左右的肿瘤,此时已经只剩下3公分的大小。

梁怡的病情已经得到了控制。医生告诉梁怡,其发病的右半肝区已经发生了萎缩,而左边正常肝区由于代替右边肝脏发挥功能出现了增大的现象。因此判断右边肝区的肿瘤已经被药物“杀灭”。
尽管核磁共振及腹部彩超的评估中张万广教授和几位专家一致认为梁怡肝脏上的肿瘤已经失活,但是在血液肿瘤特征基因检测中却依旧显示的是呈阳性。于是张万广教授建议对梁怡的肿瘤进行手术切除,确保病灶部位不再发生变化。

2022年4月8日,梁怡在武汉同济医院接受了中国科学院院士陈孝平教授主刀的肿瘤切除手术。陈孝平教授小心翼翼地从梁怡的右半肝上切下了病灶组织,尽最大可能保留健康肝脏组织。
最后在对病灶组织进行切片化验后发现,此前的联合治疗十分成功。被切除下来的病灶组织中已经没有活的肿瘤细胞了。此后张教授又对梁怡进行了两次ctDNA检测,结果均为阴性。证明梁怡体内的癌细胞已经彻底被清除干净了。

精准治疗或将彻底解决癌症难题
经过576天的治疗,梁怡死里逃生。用梁怡的话来说,这全都要归功于现代医学的进步。
确实,精准医疗的发展正在改变传统意义上对于癌症晚期的定义。近几年来,各国医疗机构通过不断的基因测序研究,对癌细胞的致病基因有了深入的了解。

癌细胞之所以难以被杀灭就是因为其具有快速增殖的特点。而这种快速分裂增殖的特点是通过特定的基因片段得以实现的。
通过基因检测和靶向治疗,能够最大程度地通过特定的药物敲除致病基因,或者是抑制致病基因的活性,以达到抑制肿瘤生长的目的。
在此前提之下,再通过介入手段对病灶部位精准给药进行化疗,能够最大限度地提升化疗效果。
而介入疗法的应用,是传统化疗中过量使用药物对正常细胞产生破坏性作用的不良后果,持续高浓度地将药物释放在指定部位,使得化疗不再像以往那样具有严重的副作用。

当然精准医疗的实现有着一定的条件,而医学进步的意义就是不断地降低实现精准医疗的条件门槛,使得这种疗法更具有普遍性。
梁怡是幸运的,在基因检测中关键致病异常基因组明显,因此靶向药物的使用才能发挥最大的作用,为后续介入药物治疗效果起到了促进作用。
如今的梁怡已经完全恢复健康,并回到了自己的工作岗位上。
愿更多向梁怡这样的病人都能因为医学的进步而获得生的机会。相信随着医疗技术的不断进步,科学家们能够找到更多的癌细胞致病关键基因。让这种医疗方案能够服务于更多不同情况的病患。