患者女,45岁,山西省文水县人。
一、在李小勇脑脊液科入院前病史
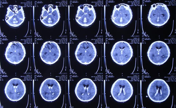
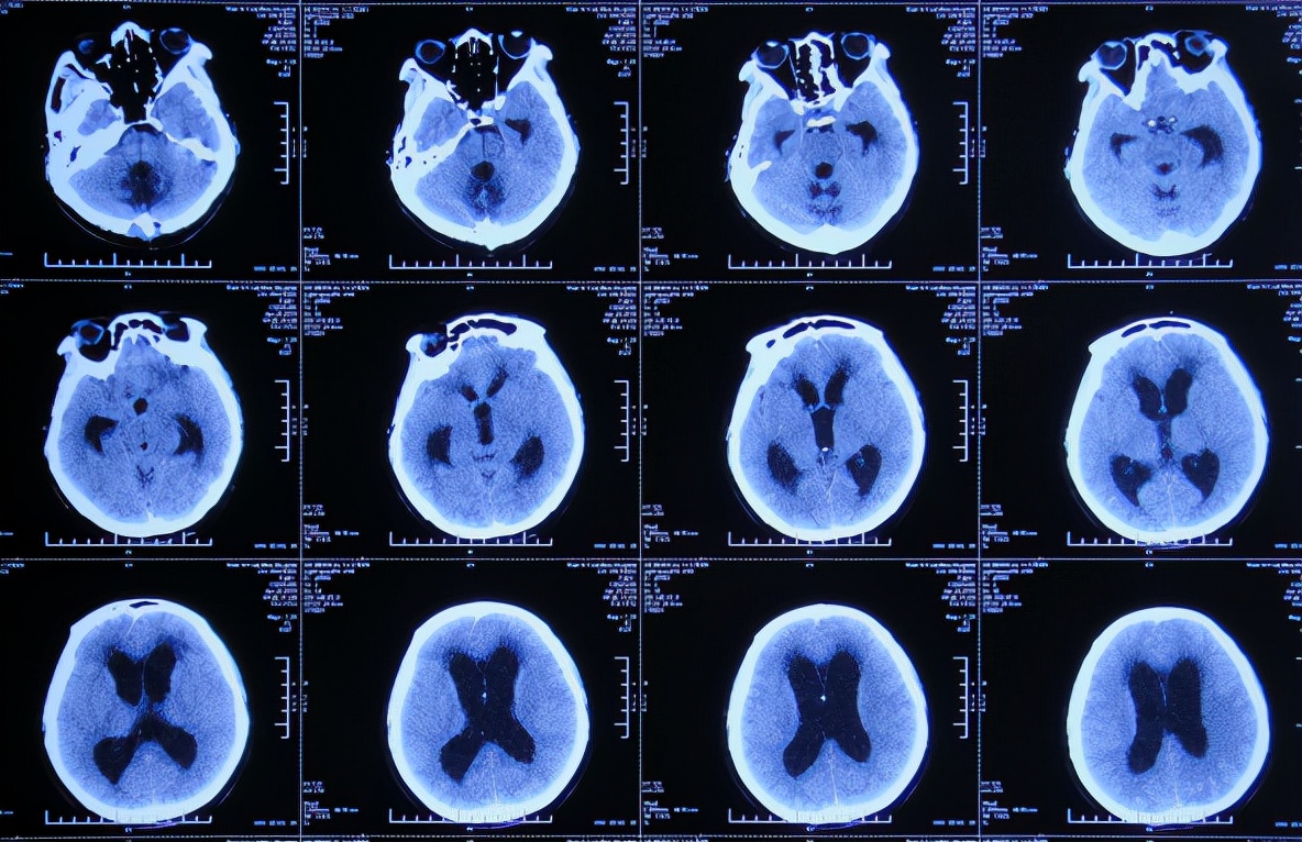
患者2019年2月18日下午,睡觉时突然出现剧烈头痛,持续无缓解,于是就诊于当地的山西省文水县某医院,查头颅CT示小脑出血破入脑室( 图-1 );考虑出血量不多,住院保守治疗。

图-1: 2019年2月18日头颅CT
但1小时后出现意识障碍加重,复查头颅CT( 图-2 )示小脑出血增多,急诊进行了左侧脑室穿刺外引流术+后颅窝血肿清除;术后住入重症监护室。

图-2: 2019年2月18日头颅CT02
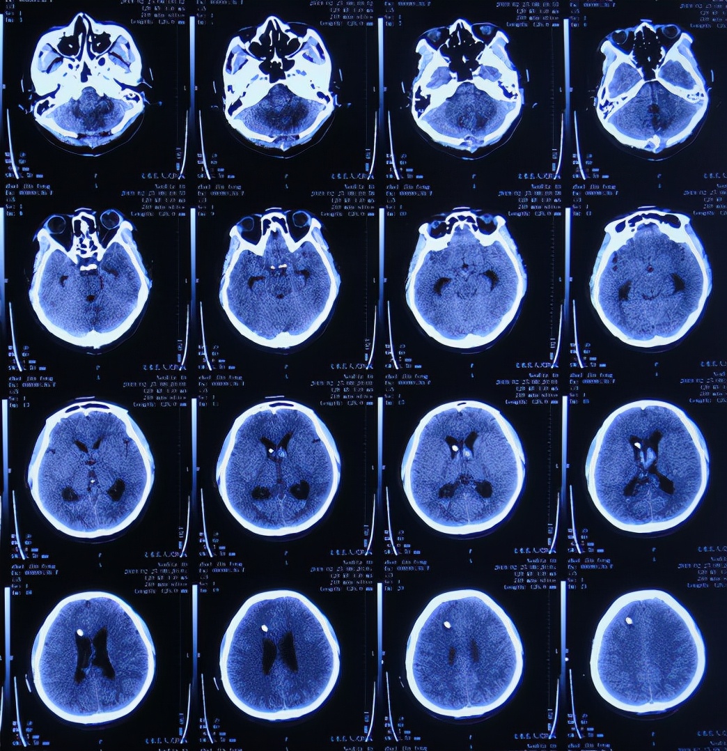
脑出血脑室外引流术后次日即2019年2月19日,复查头颅CT示出血未见明显减少( 图-3 )。

图-3: 2019年2月19日头颅CT
脑出血脑室外引流术2天即2019年2月20日,意识变清醒。
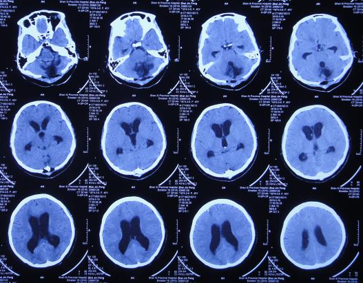
但脑出血脑室外引流术3天即2019年2月21日,出现尿崩症状,查头颅CT示脑室仍有出血( 图-4 );给予口服弥凝2天后症状好转,查血电解质示低钠、低钾,但给予积极纠正但效果仍不理想。

图-4: 2019年2月21日头颅CT
脑出血脑室外引流术7天即2019年2月25日,查头颅CT示出血明显好转( 图-5 )。

图-5: 2019年2月25日头颅CT
脑出血脑室外引流术12天即2019年3月2日,查头颅CT示出血完全消失,但脑室稍有扩大( 图-6 )。

图-6: 2019年3月2日头颅CT
脑出血脑室外引流术后2周,为防止发生颅内感染拔除了脑室外引流管。脑出血脑室外引流术后20天,意识再次变差浅昏迷,为进一步治疗于脑出血后21天即2019年3月11日(拔除脑室外引流后1周)转至第2家的上级的山西省某省级的三甲医院;入院后查头颅核磁示脑积水( 图-7 )。

图-7: 2019年3月11日头颅核磁
入院3天即2019年3月14日,进行了脑血管造影检查示“右侧颈内动脉眼动脉段管腔轻度狭窄;右侧大脑前动脉A1段管腔中度狭窄;左侧大脑前动脉A1段管腔重度狭窄;右侧椎动脉纤细,左侧椎动脉优势供血;左侧小脑上动脉起始端处管腔中度狭窄;右侧大脑后动脉P1端管腔重度狭窄;左侧大脑后动脉P1端管腔重度狭窄”( 图-8、图-9 )。

图-8: 2019年3月14日脑血管造影

图-9: 2019年3月14日脑血管造影
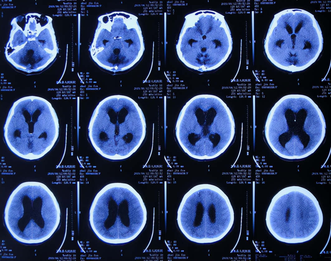
住院10天左右的时间内给予腰穿3次,脑脊液培养均无菌生长,期间2019年3月19日查头颅CT示仍脑积水( 图-10 )。

图-10: 2019年3月19日头颅CT
于第2家医院住院治疗11天即2019年3月22日,各项化验指示正常,呼唤能睁眼。随后出院转住入第3家的山西省某三级医院继续康复治疗。
在第3家医院住院大约64天时间内,期间(2019年3月29日、2019年4月28日)查头颅CT虽均示脑室扩张( 图-11、图-12) 。

图-11: 2019年3月29日头颅CT

图-12: 2019年4月28日头颅CT
虽脑室有扩张,但身体有好转:意识清醒,言语交流正常,但双侧肢体肌力差,右下肢更差,下床走路困难;所以于2019年5月15日(第3家医院住院64天)办理出院。
2019年6月11日(出院后27天),走路仍不好,且出现头部、后颈、双肩、双上肢疼痛,睡觉时有尿*禁失**,于2019年6月12日第2次就诊于当地的第1家的山西省文水县某医院,查头颅CT示脑积水加重( 图-13 ),医生看到病人病情反复,建议先手术试试。

图-13: 2019年6月12日头颅CT
病人和家属无奈只好于2019年6月17日(脑出血后109天),第2次就诊于上级的第2家的山西省省级某三甲医院的神经外科,查核磁( 图-14、图-15 )后建议直接进行脑室腹腔分流术。

图-14: 2019年6月17日核磁

图-15: 2019年6月17日核磁
患者及家属通过网上查询找到李小勇脑脊液科,通过沟通确认后转入北京的李小勇脑脊液科。
二、在李小勇脑脊液科治疗过程和结果
2019年6月21日(脑出血后113天)住入李小勇脑脊液科,入院时:精神差;头部、后颈、双肩疼痛;睡觉时有尿*禁失**;双侧眼皮不能闭合(不能眨眼)( 图-16 );走路差。当天查头颅CT示脑积水( 图-17 )。

图-16: 2019年6月21日入院时

图-17: 2019年6月21日头颅CT
入院治疗3天即2019年6月24日,进行了脑室腹壁外引流术,术后当天查头颅CT示脑室引流状态( 图-18 )。

图-18: 2019年6月24日头颅CT
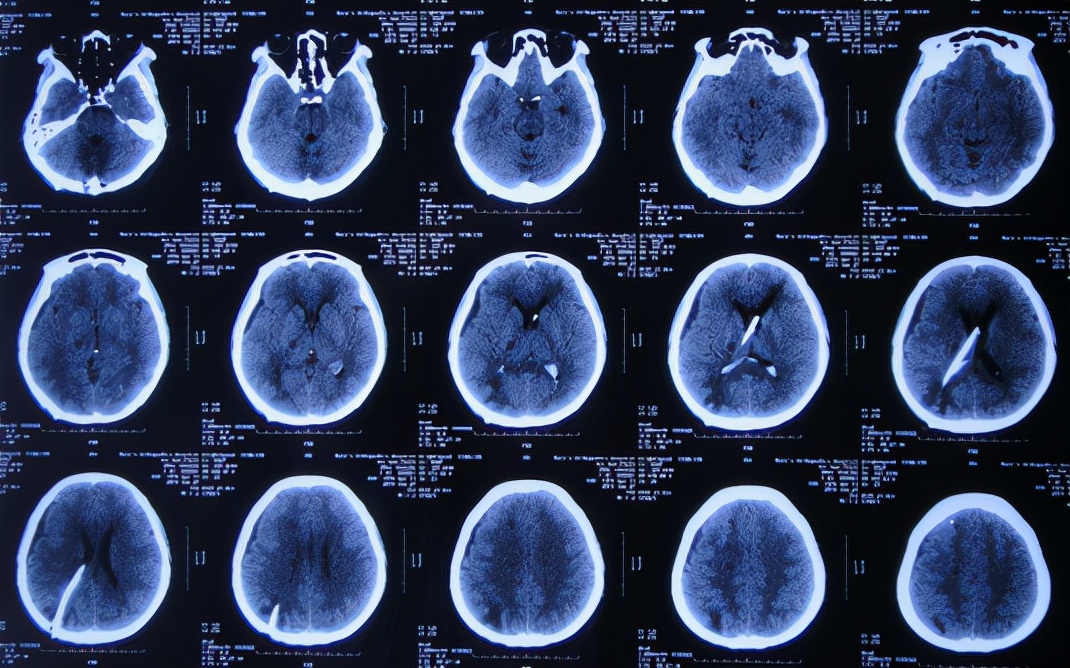
入院治疗6天即2019年6月27日,查头颅CT示脑室缩小( 图-19 ),但有少量出血,当天给予脑室引流管调整术。

图-19: 2019年6月27日头颅CT
术后次日复查头颅CT示引流管位置良好( 图-20 )。

图-20: 2019年6月28日头颅CT
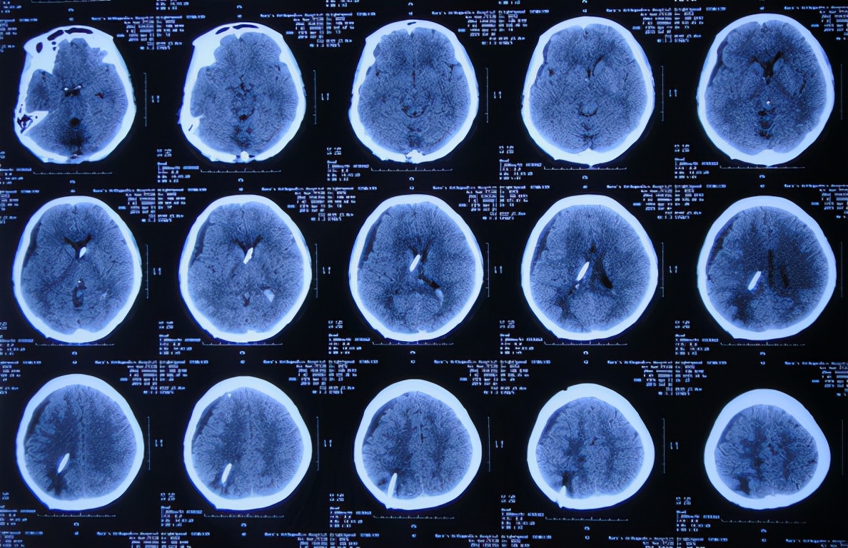
入院治疗10天即2019年7月1日,复查头颅CT示脑室缩小、出血基本消失( 图-21 )。

图-21: 2019年7月1日头颅CT
入院治疗17天即2019年7月8日,入院时不能眨眼已变基本正常,头部疼痛较入院时有减轻( 图-22 );查头颅CT示虽有少量硬膜下积液,但脑室基本正常( 图-23 )。

图-22: 2019年7月8日

图-23: 2019年7月8日头颅CT
入院治疗53天即2019年8月13日,进行了脑室腹腔分流术( 图-24 )。

图-24: 2019年8月13日头颅CT
2019年8月23日(李小勇脑脊液科治疗63天)出院,出院时:精神变好,眨眼变正常,入院时睡觉时有尿*禁失**完全消失;颈部,肩部疼痛显著减轻,但走路稍不稳( 图-25 );出院前头颅CT示未见异常( 图-26 )。

图-25: 2019年8月23日

图-26: 出院前头颅CT
三、出院后随访
出院后2年余即2021年10月23日,本人发来照片和视频:身体已完全恢复至正常人健康的水平,经常在短视频平台发布自己跳舞的视频( 图-27 )。家属叙述:患者当初脑出血后当地的医生和朋友、邻居都觉得不行了,没救了,但都没有想到竟然能恢复到活蹦乱跳正常的状态( 图-28 )。

图-27: 2021年10月23日

图-28: 2021年10月23日
(完)