全科门诊,医生正在敲打着键盘写病历,这个时候进来了一位老人,约么60岁左右,左手扶着自己的右侧肩膀,一副痛苦的表情。

肩膀痛
“你好,怎么了?”医生招呼老人坐下并问道。
“前几天摔了一跤,好像是摔倒了骨头,这两天越来越疼。”老人摸着自己的右侧肩膀和医生说道。
听老人说到这里,医生又详细地问了病史。
经过了解,老人今年62岁,在半个月前不慎摔倒,右侧肩膀着地,自己感觉无大碍未在意。
不料一周后开始出现右侧肩膀疼痛,而且随着时间的推移是越来越痛,逐渐加重,老人以为是肩膀的骨头骨折,才来到医院就诊。
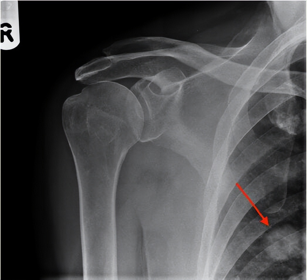
医生告诉老人:“目前来看,不排除是锁骨骨折或肩胛骨骨折的可能,需要拍一个片子。”
“我来也就是想拍个片子,看看是不是伤到了骨头。”老人应声道。

过了半小时后,老人拿着检查报告再次来到了门诊。
医生接过片子,放着阅片灯上一看,顿时眉头一皱:“老人家,骨头没什么大问题。主要的是肺部有一个阴影。”
“什么是阴影?”老人看到医生眉头紧锁,紧张地问道。
医生转向头望着老人,细心地说道:“肺部阴影就是在拍片子时发现的肺部异常,一般肺部阴影代表有肺部的感染性疾病、肺结节、先天性的肺部疾病甚至肺肿瘤等。”
老人一听医生这么一说,特别是听到“肿瘤”两个字的时候,变得更紧张了。
“医生,我这是骨头疼,怎么可能是肿瘤呢?”
“不是说一定是肿瘤,只是有这几种可能。想要看清楚这个阴影是什么,还需要做一个肺部CT平扫。”医生连忙安慰道。
老人抱着紧张的心情做了CT检查。

右肺肺腺癌
结果发现,老人右侧肺部一个直径约2厘米的空洞性结节。经过医生的综合分析,考虑很可能是一个原发性的肺癌。
得知这个消息,老人怎么都不相信。
因为他既没有咳嗽,也没有咳血,更没有胸部的不适,唯一有的就是肩膀的“骨痛”。
医生耐心地告诉老人,肺癌也会引起肩膀骨痛。主要是因为肺癌细胞很容易出现骨转移,有不少患者都是因为肩胛骨痛才到医院就诊,结果发现是肺癌的。
老人这一次是因为摔跤了之后肩膀疼痛怀疑是摔坏了骨头,恰好拍了片子。
门诊医生在阅片时,细心地发现了这个不起眼的肺部阴影。

手术
在医生的劝说下,老人接受了活检,结果证实为原发性肺腺癌,好在分期处于早期。
随后患者就接受了手术将肿瘤切除。
术后近两年随访,老人康复良好,无复发。
医生提醒:
该老人是因为摔倒之后肩膀越来越疼才到医院就诊,拍片子无意间发现的肺部结节。如果不是因为这个“机缘巧合”,那么这个肺腺癌很可能就会一直隐藏下去并不断发展,直到发生多处转移。
因为早期肺癌,因为结节很小,没有侵犯周围组织和器官,不会引起明显的临床症状,十分隐匿,很多都是在常规体检中发现。
本文中的老人的肺癌处于早期,经过及时切除,术后恢复良好,预后也很好,毕竟早期肺癌治愈率可以达到90%以上!
因此,如果体检发现不明原因的肺部阴影,一定要及时进行下一步检查明确原因。对于可疑的肺部肿块,要及时进行活检并进行确诊。#健康真知计划#