14岁的小军(化名)是广州花都某中学的初二学生。10月中旬,小军正在上体育课时,突然被铅球砸中了脑袋,来不及反应,他就已经昏迷了。
小军昏迷后,被老师紧急送往了附近医院。头颅CT提示左侧顶枕部凹陷性骨折伴硬膜外血肿。父母赶到医院时,小军仅能迷迷糊糊回答问话,目测他的左侧顶枕部头骨被铅球砸出了一个深度约1cm~1.5cm的凹陷。为求进一步诊疗,父母紧急将小军送到广东三九脑科医院神经外七科。
我院神经外七科马赞医师接诊了患者。当时患者的左侧顶枕部出现凹陷性骨折,凹陷范围约为5cm×4cm×1.2cm。

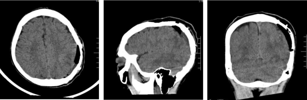
▲术前CT检查所见:左侧顶骨骨质不连,向内凹陷约12mm;左侧顶骨凹陷性骨折,伴左侧顶部硬膜外血肿

考虑到患者的硬膜外血肿较大,在做好相关术前准备后,神经外七科紧急为患者做了手术。手术十分成功,不仅帮助患者清除颅内血肿,并整复了凹陷的颅骨。
术后第二天情况,小军可简单对答,四肢肌力、活动正常,很快就顺利出院了。



▲术后复查CT所见:左侧顶部凹陷骨折整复+硬膜外血肿清除术后改变。
颅骨凹陷性骨折是临床上常见的损伤类型, 其手术方式多采用整复术、撬复术、碎骨片清除术及骨碎片粘合成形复位术。整复术是以铣刀自周缘无骨折区铣开骨瓣, 于台下锤击整复成形,以医用胶粘合复位。当颅骨凹陷骨折合并较大颅内血肿时,应采用游离骨瓣开颅整复,目的是解除内陷的颅骨和颅内血肿造成的颅内压增高,以及其对主要功能区的压迫,其次是恢复颅骨的完整性和外形。
本例患者被重物砸伤后出现严重的颅骨凹陷性骨折,通过颅骨整复术,帮助其恢复了颅骨正常解剖和生理功能,无排异反应且修复后塑型良好。马赞提醒,大家在进行户外运动时,要注意安全,避免意外受伤。