对于牙龈出血这件事,很多人习以为常,也就忽略了它的严重性。
殊不知,不重视牙龈出血,任由其发展,会给口腔带来不少不可逆的危害。

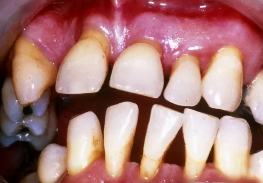
牙龈出血对口腔的影响
牙龈出血的症状,一般是反应口腔患有牙龈炎、牙周炎等。
如果没有及时地进行干预治疗,可能还会导致口臭、牙龈萎缩、牙龈溢脓,牙根暴露、咬合无力、牙齿松动、牙齿脱落等一系列口腔问题,使牙齿快速地进入“衰老”状态,处于吃啥啥不香,咬啥咬不动的困扰中。

牙龈出血该如何预防及预防?
1、正确刷牙
首先要保持每天早晚刷牙两次,饭后勤漱口,刷牙若有出血的现象,可用温开水加少许盐来漱口,可起到一定的消炎作用。
很多人看到牙龈出血,反而避开出血位置不刷,这样反而会让菌斑沉积越来越多,炎症越来越严重。因此,无论是否有牙龈出血,都要掌握正确的刷牙方法,使用【巴氏刷牙法】能最有效的清洁牙齿及牙周。

2、使用牙线
牙线可以有效地清除牙缝中的残留的食物及牙菌斑,这些是无法借助牙刷完全去除的,所以应该要保持每天饭后使用牙线。
3、定期洗牙
每年定期进行口腔检查及洗牙是很有必要的,建议每半年或一年1次,以清除沉积已久的牙菌斑、牙结石。这样可以有效预防牙龈炎、牙周炎、龋齿等常见的口腔疾病。#广东爱牙节# #牙龈出血#
