最近小编得知了有一种怪病叫做“甲硝唑脑病”,今天就想和大家分享一下这个怪力乱神的家伙究竟是什么?
甲硝唑是一种抗菌药物,据文献报道:本品为硝基咪唑衍生物,可抑制阿米巴原虫的氧化还原反应,使原虫氮链发生断裂。本品有强大的杀灭滴虫的作用,其机理未明。甲硝唑对厌氧微生物有杀灭作用,它在人体中还原时生成的代谢物也具有抗厌氧菌作用,抑制细菌的脱氧核糖核酸的合成,从而干扰细菌的生长、繁殖,最终致细菌死亡。
虽然它可以容易地通过脑脊液和中枢神经系统,但是正常剂量的情况下它是安全的,具有良好的耐受性。

甲硝唑脑病(metronidazole-induced encephalopathy,MIE)是一种罕见的在临床条件下长期应用甲硝唑而引发的疾病,其临床特点通常包括多种形式的进行性神经功能和典型的影像学改变。
MIE发病机制尚不明确,血管源性和细胞毒性水肿、线粒体功能障碍、甲硝唑中间代谢产物结合神经细胞DNA、RNA以及修改小脑和前庭的γ-氨基丁酸受体被怀疑是其可能机制。
本病最常受累的部位为小脑齿状核,影响前庭小脑系统、小脑传出纤维,出现眩晕、眼震、共济失调;尚可影响双侧下丘核,影响听觉传导通路,出现双耳听力下降;还可影响胼胝体压部联系双侧枕叶视皮质的神经纤维,出现视觉障碍;影响胼胝体压部、小脑齿状核、中脑,出现精神行为异常;影响脑白质,出现智能减退等。
有病例报道显示,MIE的发生与甲硝唑累积剂量(45-120g)及给药时间(1-12周)有关。
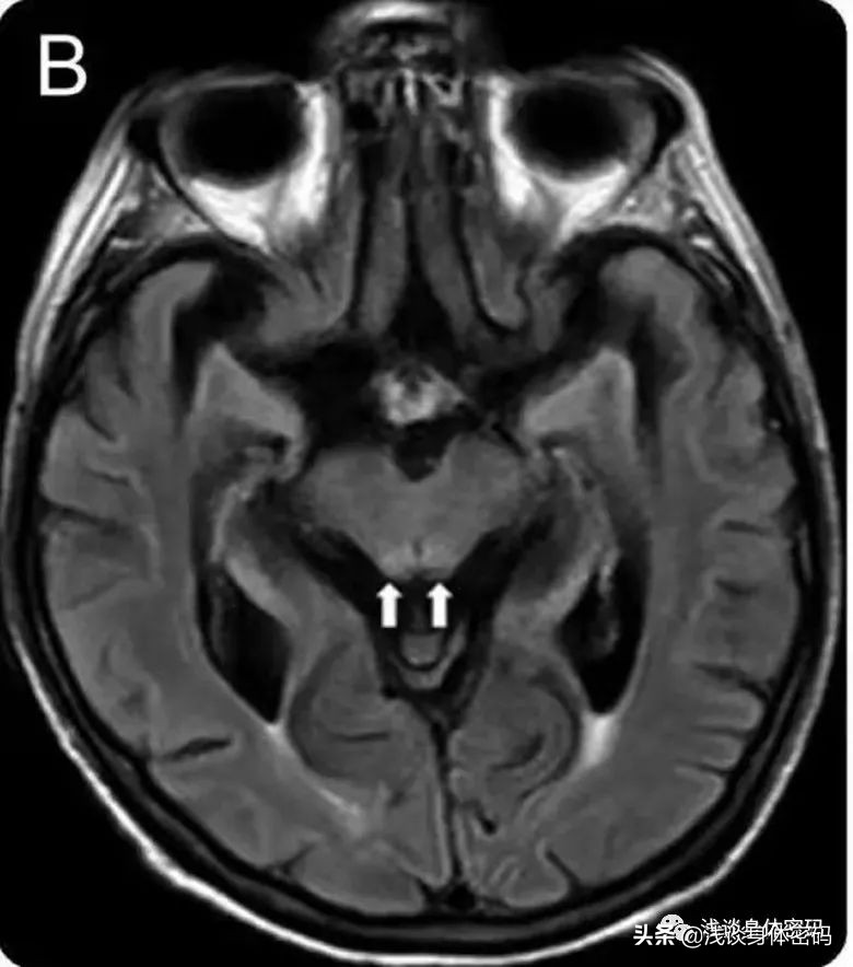
MIE的首选检查方法是头颅MRI,通常显示小脑齿状核附近区域特有的对称性病变,亦可累及胼胝体压部、脑桥被盖部、中脑、脑白质、基底节区等。齿状核对称性病变常用来区分其他原因引起的脑病。
MRI Flair显示双侧小脑齿状核、上丘和导水管周围灰质对称性高信号:


MIE主要的鉴别诊断包括其他中毒性脑病、中枢神经系统脱髓鞘疾病、代谢性脑病等。其中最需要与Wernicke脑病相鉴别,因为其与MIE有着相似的临床表现及影像学特点。韦尼克脑病(Wernicke encephalopathy,WE)是因为长期饮酒或营养不良所致维生素B1(硫胺素)缺乏引起的急性神经系统功能障碍,典型的临床表现是神经精神障碍、眼部症状、共济失调“三联征”,其受损的主要部位是丘脑、下丘脑、乳头体、中脑导水管周围、第四脑室顶(特别是迷走运动背核和前庭核)和小脑上蚓部。早期积极补充维生素B1能够有效避免永久性神经系统损害。
在治疗上,尽早停用甲硝唑及给予支持治疗是针对MIE唯一行之有效的措施,并给予维生素B1、维生素B12营养神经治疗。大多数MIE患者停药后症状可以得到改善,影像学也可出现好转。有研究显示MIE的临床症状和影像学变化间并无明显相关性,影像学改变相对滞后。
甲硝唑在临床应用普遍,小编就常常在患者牙周炎等等情况时使用该药物治疗。在临床怀疑MIE的情况下,需详细询问患者病史,并完善头颅MRI检查,注意观察典型的影像学表现。一经诊断,应尽早停用药物,并给予支持治疗。
目前小编还没有接诊过“甲硝唑脑病”这样的案例啦,所以整理了一点点资料在这里和大家分享。毕竟,作为一名医生,除了要掌握常见病和多发病的诊断及治疗,也要有鉴别疑难杂症的临床思维能力,不是吗?大家共勉吧!