抑郁症是致残的一个主要原因,并造成了巨大的健康和经济负担。目前的抑郁症治疗手段大多无效,且逾50%的患者会出现不良反应,这主要是因为抗抑郁药物的非特异性和广谱作用。
因此,迫切需要开发和设计新的治疗方案来缓解抑郁症。鉴于大脑的异质性和复杂性, 识别产生类似抑郁症行为的特定细胞类型的分子机制能够促进治疗的发展。

在奖赏环路中, 伏隔核 (nucleus accumbens, NAc )是抑郁症病理生理学的关键脑区,NAc中95%以上的神经元主要由两种富含多巴胺D1或D2受体的中型多棘神经元(medium spiny neurons, MSNs)亚型组成,这两种亚型在奖赏、行动价值、强化和药物滥用方面具有相反的作用。
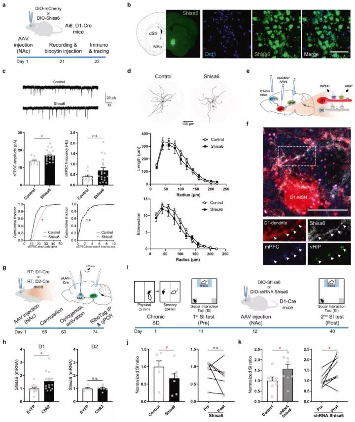
本文提出了一个 环路和细胞特异性的抑郁分子靶点Shisa6 。Shisa6是AMPAR成分,只在易感小鼠NAc的D1-MSNs中增加。Shisa家族成员属于单跨膜衔接蛋白,通过与AMPAR(Shisa6和Shisa9)或GABAAR(Shisa7)的直接相互作用来改变谷氨酸或GABAAR-突触传递的神经元传递从而调节信号通路。

图. Shisa6与抑郁表型相关的功能验证
利用Ribotag方法,本研究通过RNA测序分析了抑郁症的慢性社会挫败应激(chronic social defeat stress, CSDS)小鼠模型中D1-和D2-MSNs的转录谱。 通过生信分析确定了可能导致抑郁发病的细胞特异性基因,其中便包括Shisa6 。
研究发现选择性地激活腹侧被盖区(ventral tegmental area, VTA)到NAc的环路投射可增加D1-MSNs中Shisa6的表达。
Shisa6锚定于D1-MSNs的兴奋性突触可增加神经元的兴奋性,促进小鼠的焦虑样和抑郁样行为 。 Shisa6以细胞和环路特异性的方式表达,可直接改变与厌恶信息相关的原有兴奋性突触的强度。
综上所述,Shisa6可能是奖赏环路中多巴胺和谷氨酸系统的一个关键环节,也是在解析抑郁症发病机制中一个潜在的分子靶点。
原文链接:
https://www.nature.com/articles/s41380-021-01217-8
编译作者:Роза(brainnews创作团队)
校审:Freya(brainnews编辑部)

人类发展的认知神经科学 心理学 (英)米歇尔·德·哈恩(Michelle De Haan),(英)马
¥38.3
购买