
作者 | 上海交通大学附属胸科医院 黄琦 吴镜湘
胸段硬膜外麻醉一直被视作胸科手术镇痛的金标准,但是随着超声引导的各类神经阻滞的在临床实践的深入,其中胸椎旁神经阻滞被认为能达到与硬膜外麻醉相媲美的镇痛效果,同时并发症的发生率更低[1]。下图为以解剖为基础超声引导下胸椎旁神经阻滞(USG-TPVB)入路的分类[2]。

(Anesthesiology 2015; 123:459-74)
本文将介绍以上9种入路之外的另一种进针入路[下关节突(IAP)外向平面内入路],该入路与上图入路④(IAP内向平面内入路)具有相同的解剖基础,功能互补。以下对二者作简单对比介绍:
a.入路④(IAP内向平面内入路),其超声影像及相关解剖如下[2]:

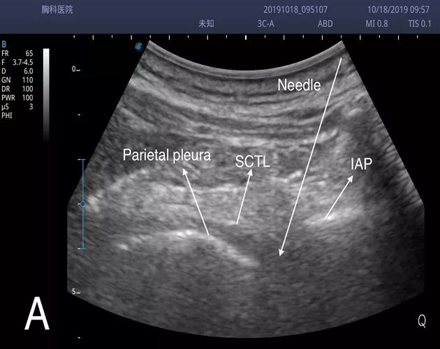
b.重点介绍“IAP外向平面内入路”。其超声影像及相关解剖如下[2]:

(TPV space:胸椎旁间隙,IAP:下关节突,iimb:肋间内膜,SCTL:上位肋横突韧带,p:壁层胸膜,es:竖脊肌,trap:斜方肌,lc/eim:肋提肌/肋间外肌,ST:交感干。Anesthesiology 2015; 123:459-74)
问题 1
外向平面内入路为何在关节突水平进针?何不选择肋横突水平?
答:超声关节突水平的椎旁间隙较肋横突水平的椎旁间隙更宽,操作时更容易避开横突和肋骨,针尖更容易到达目标区域。下图[2]为肋横突水平椎旁间隙的超声扫查图像。如经肋横突水平外向平面内进针,可能会因针尖抵住横突(TP)而无法进一步深入(①),或者虽然避开了横突,但因抵达胸椎旁间隙的外侧角(②),非最佳目标区域。

(Anesthesiology 2015; 123:459-74)
问题2
IAP外向平面内入路和IAP内向平面内入路在临床实践中应如何选择?
答:根据患者体位选择。俯卧位时采用IAP外向平面内入路操作更方便。侧卧位,患侧在上,采用IAP内向平面内入路;侧卧位,患侧在下,采用IAP外向平面内入路。如患者侧卧,翻身不便,又需要做双侧躯体阻滞(如腹部正中切口时),两技术联用,即“单侧卧位双侧平面内阻滞”。
问题3
IAP外向平面内入路有何风险?应如何规避?
答:一般风险(局麻药中毒、刺破胸膜气胸等)笔者不在此赘述。仅强调两点:其一,关节突水平针尖目标区域内侧即椎间孔,易发生局麻药的硬膜外扩散,应掌握好局麻药容量。清醒操作能够对患者进行感觉测试,有助于硬膜外扩散的早期识别。低血压是硬膜外扩散阻滞的常见表现,但胸椎旁阻滞本身也会因阻滞胸段交感神经干(ST),引起术中低血压。注意与其他病因鉴别,维持循环稳定,对症处理。其二,是否存在椎管内穿刺的可能性?请看下图[3]:

(TPVS:胸椎旁间隙,IVF:椎间孔,Spinous process:棘突,Articular process:关节突,Spinal nerve root:脊神经根)
上图①为IAP内向平面内入路,③为IAP外向平面内入路,②显示针尖穿透黄韧带进入椎管内。
但是,需要指出的是,在实际操作过程中,进针点旁开背部正中线,向外侧进针的同时,针体从头端向尾端也稍有倾斜,而胸椎椎板和棘突呈覆瓦状排列,如进针点正确、操作手法正确、患者解剖无畸形,笔者认为,针尖不会误入椎管。配合超声引导,注意神经阻滞针超声影像的识别,此入路不失为一条安全的入路。
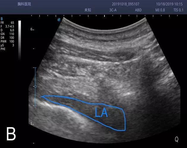
临床实例
男性,55岁,左肺上叶结节,拟术前俯卧位CT定位后行第四肋间进胸、VATS单孔上叶楔形切除术。定位后患者疼痛VAS评分9-10分,翻身不能。在患者俯卧位采用T4关节突外向平面内入路行超声引导胸椎旁神经阻滞,单次0.75%罗哌卡因10ml。数分钟后患者疼痛消失,自行从转运床移至手术床。术中生命体征平稳。

(右上图示操作时探头的放置和进针方向,非该患者本人)

(A、B分别为注药前后椎旁间隙影像。图B见胸膜下移,所示液性暗区为局麻药液。)
总结
以上内容着眼于临床实践,多为笔者自身操作经验的总结。IAP内向平面内TPVB在临床上常用,久经检验,技术成熟。IAP外向平面内TPVB为胸科手术区域麻醉提供了另一技术选择,该入路的安全性、有效性、可靠性等尚需进一步评价。
参考文献
-
Paravertebral block versus thoracic epidural for patients undergoing thoracotomy.(DOI:10.1002/14651858.CD009121.pub2.)
-
Different Approaches to Ultrasound-guided Thoracic Paravertebral Block. (Anesthesiology 2015; 123:459-74)
-
ATLAS OF Sonoanatomy for Regional Anesthesia and Pain Medicine, Chapter 11,Sonoanatomy Relevant for Thoracic Paravertebral Block.

声明
本微信公众号所刊载原创或转载内容不代表新青年麻醉论坛观点或立场。文中所涉及药物使用、疾病诊疗等内容仅供参考。