牙齿不好会遗传吗?
爸妈牙齿不好 应该如何最大限度的让孩子的牙齿好?
如果想知道要是自己的牙齿不好,会不会遗传给孩子?那首先我们需要了解牙齿好不好要看两个主要因素,一个是遗传因素,一个是环境因素。
今天这篇文章里我会主要讲解导致牙齿不好的遗传因素。因为遗传因素的内容比较多且复杂,所以我分上下篇来写,记得关注“牙医Helen工作室”,我会定期更新原创文分享给大家。
遗传的因素比较复杂,目前单纯从牙齿来说,常见的遗传性疾病有遗传性牙本质发育不全,釉质发育不全等等,而这些疾病现在还很难说是单基因病还是多基因病,甚至有些是系统性疾病的口腔表现。

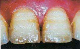
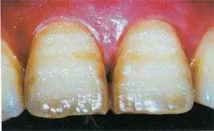
牙本质、牙釉质发育不全通常有这么几种表现
01牙面颜色有改变,呈棕色。
说到牙齿的颜色我顺便题外话一下,每个人的牙齿颜色都是不同的。有些偏黄有些偏白,这主要是由牙齿表面的牙釉质的透明度决定的。如果牙釉质矿化的比较完全,它的透明度高,透出下方牙本质的颜色就多,牙本质是发黄的,这样的牙齿就偏黄。如果釉质矿化程度不高,那么其透明度就低,透出的牙本质颜色就少,牙齿就呈现乳白色。
02临床表现是:有带状、或窝沟状凹陷。
03牙面可见平行横线。
04切缘变薄等等。
牙釉质也称为珐琅质,是牙冠外层的白色半透明的钙化程度最高的坚硬组织。牙釉质内部并不具有神经与血管,它的功能除了咬碎食物之外,也可以保护下层的牙本质,是人体中最坚硬的物质。

造成牙釉质发育不全的原因一般有三种
01母体在妊娠期患风疹、毒血症、婴儿期患高热疾病(肺炎、麻疹、腥红热、白喉等)。可根据发生的牙位推算出病变时期。
02营养不良、佝偻病、维生素A、C、D及钙缺乏,以及免疫遗传因素也可能会造成牙釉质发育 不全。
03乳牙根尖周感染:任何继承恒牙都可能由于乳牙根尖周感染而导致牙釉质发育不全。

所以为了避免这种情况,做好预防工作也非常重要。
首先要加强妇幼保健工作,搞好优生优育,也就是从胚胎到孩子出生后7岁,要特别注意孕妇和儿童的营养和健康,增强体质。
其次,婴幼儿期要定期进行口腔保健检查,让孩子养成早晚刷牙、饭后漱口的好习惯,并配合使用牙线。如果发现乳牙蛀了要及时治疗。

最后一点,根据牙釉质发育不全的程度,进行相应的治疗。也就是对有这个家族史的孩子可以采取预防措施,比如涂氟、窝沟封闭,都可以有效的避免蛀牙。尤其当发现孩子牙齿缺损的话更要及时修复治疗,并且坚持做到每半年复查一次。

了解完了牙釉质发育不全,我们接着来说一下遗传性牙本质发育不全。
牙本质是构成牙齿的主体,位于牙釉质和牙骨质的内层。牙本质发育不全是一种牙本质发育异常的常染色体显性遗传疾病,无性连锁,可在一家族中连续几代出现,男女都可患病。

牙本质发育不全的牙齿变化主要表现在牙本质。
通常牙冠呈微黄色半透明,光照下呈现乳光,牙釉质易从牙本质表面分裂脱落使牙本质暴露,从而发生严重的咀嚼磨损,在乳牙列,全部牙冠可被磨损至龈缘,造成咀嚼食物、美观和语言等功能障碍。也有可能会牵连到恒牙,但乳牙列病情更为严重。
这种疾病暂时没有有效的预防措施,因此早发现早诊断是本病防治的关键。

关于“如果父母牙齿不好,会不会遗传到孩子吗?”这个问题,我在这里可以明确地回答大家,如果父母的牙齿不好是因为遗传因素造成的,确实对孩子有很大的影响,特别是父母如果有一方牙齿不整齐,那就应该特别关注孩子的牙齿。建议及早的检查,提前对孩子的牙齿咬合进行调节,会有利于面部骨骼的生长发育和尽早的预防错乱咬合的发生。
所以如果家族有先天的牙齿问题,那么孩子的牙齿出问题的几率会非常大,因此一定要早关注早干预;如果没有,也应该在孩子开始长牙的时候就对孩子的牙齿进行关注并开始养成牙齿健康习惯。
PS:对于宝宝的乳牙牙缝大这件事,其实也不用太过担心,一般不会因为牙缝宽而影响到牙齿生长,而且后期替换的恒牙相对乳牙也较大,反倒有利于恒牙的排齐。新浪微博:@牙医helen
公众微信号:yayiHelen
预约微信号1:dentist-Helen
微信号2:A0210551
本文为牙医Helen(黄璐医生)原创,如需转载请与作者联系,授权后转载需注明出处,违者必究。
想要了解健康管理牙齿的一切资讯,请关注“牙医Helen专栏科普”,小编会定期更新牙医Helen的原创文章。