首都医科大学附属北京天坛医院神经内科顶级专家邵晓秋主任的课,讲的很棒❤
题目:癫痫的治疗
课程简介
癫痫是因脑部神经元异常过度或同步性活动而出现的一过性体征或症状,临床表现可为感觉、运动、自主神经、意识、精神、记忆、认知或行为异常。首都医科大学附属北京天坛医院神经内科邵晓秋主任从抗癫痫药物的种类,用药原则,不良反应以及特殊人群的用药方法等方面讲解《癫痫的治疗》。
AEDs介绍
1. AEDs
在新诊断的癫痫患者中,AEDs能使约70%的患者发作控制,理想的AEDs治疗是有效、 安全、方便、经济。

图 目前临床上使用的抗癫痫药
2. 抗癫痫药物的作用机制
目前对于AEDs的作用机制尚未完全了解,有些AEDs是单一作用机制,而有些AEDs可能是多重作用机制,了解AEDs的作用机制是恰当的选择药物、了解药物之间相互作用的基础。

图 传统抗癫痫药物的作用机制

图 新型抗癫痫药物的作用机制
3. 理想AEDs的特征
生物利用度高,稳定;半衰期长,每日服药次数少;一级(线性)药代动力学特征;蛋白结合率低;无肝酶诱导作用;无活性代谢产物。

图 传统抗癫痫药的药代动力学特征

图 新型抗癫痫药的药代动力学特征
药物治疗原则
诊断明确后尽早开始治疗,根据发作类型和综合征选药,首选单药治疗,合理的联合用药,剂量个体化,规律用药,定期随访,疗程足够,撤药缓慢。
1. 开始用AEDs治疗的指征
AEDs应该在癫痫的诊断明确之后开始使用,一般第二次无诱因发作之后开始用药,发作稀疏,间隔期1年以上,可以暂时推迟药物治疗。
2. 首次发作后开始治疗的指征
患者有局灶性神经功能缺陷;脑电图提示明确的痫样放电;患者本人及监护人认为不能承受再发作一次的风险;头颅影像学显示脑结构损害,上述情况可以与患者或监护人进行商议后在首次发作后开始AEDs治疗。
3. 根据发作类型和综合征选药是癫痫药物治疗的基本原则,尽可能依据综合征类型选择AEDs,如果综合征诊断不明确,应根据癫痫发作类型选择药物;同时还需要考虑共患病、合并用药、年龄以及患者或监护人的意愿等。

图 根据发作类型的选药原则

图 根据癫痫综合征的选药原则

图 根据癫痫综合征的选药原则

图 根据癫痫综合征的选药原则
4. 选用AEDs需综合考虑的因素

图 选药需考虑的因素
5. 首选单药治疗
单药治疗的优势:容易判断药物疗效和不良反应;无药物之间的相互作用;不良反应相对少;方案简单,依从性好;经济负担轻。

图 癫痫不同治疗方案的疗效
6. 合理的联合用药
选择不同作用机制的药物,避免有相同不良反应和肝酶诱导的药物合用。如果联合治疗仍不能获得更好的疗效,建议转换为患者最能耐受的治疗。
7. 剂量个体化
同一种药物在不同患者体内代谢率不同(受遗传、年龄、疾病、其他药物等的影响),包括每个患者病情严重程度不同,所需要的有效血浓度也有差别。AEDs应从小剂量开始,缓慢增加剂量至发作控制或最大可耐受剂量,每次药物调整要有足够的观察期,不要频繁换药。
8. 规律服药
按照所服药物半衰期和临床发作规律,合理分配服药次数、剂量和服药间隔,规律服药可避免血药浓度波动过大而出现的癫痫发
作或不良反应。
9. 定期随访
观察药物初期的不良反应,如出现严重不耐受,应终止原治疗方案,更换其他药物。观察疗效,根据发作控制情况调整药物剂量,监测血药浓度,儿童需要根据体重的增长和血药浓度的变化调整剂量。监测长期用药的不良反应,根据所服药物的特点,定期检查肝功、血常规等。
10. 抗癫痫药的不良反应
(1)所有的AEDs都可能产生不良反应,其严重程度在不同个体有很大差异。对中枢神经系统的影响(如镇静、嗜睡、头晕、共济障碍、认知及记忆损害等);对全身多系统的影响(如血液系统、消化系统、体重改变等)以及特异体质反应。
(2)分类
剂量相关的不良反应:如对中枢神经系统的影响(如卡马西平、苯妥英钠引起的头晕、复视、共济失调等)。
特异体质的不良反应:与剂量无关,不能预测,主要有皮肤损害、严重的肝毒性、血液系统损害。
长期的不良反应:与累积剂量有关,如卡马西平引起的低钠血症,丙戊酸钠引起的体重增加、脱发等。
远期不良反应:即致畸性。

图 抗癫痫药的不良反应
11. 疗程足够, 撤药缓慢
癫痫患者持续无发作2年以上,存在减停药的可能性。大部分患者在药物治疗的情况下, 2~5年完全无发作,可以考虑停药,但是否减停、如何减停,还需要综合考虑患者的癫痫类型(病因、发作类型、综合征分类),脑电图对减停AEDs有参考价值。
12. 减药、停药注意事项
(1)决定停药之前应评估再次发作的可能性。
(2)充分考虑癫痫的病因和综合征的诊断
儿童良性癫痫综合征可能1-2年无发作就可以考虑停药(脑电图异常可能持续的时间更长);青少年肌阵挛癫痫即使5年无发作,停药后的复发率也很高(90%复发);Lennox-Gastaut 综合征可能需要更长的治疗时间甚至终生服药。
(3)撤药过程应缓慢进行,可能持续数月甚至1年以上。
(4)联合治疗的患者,每次只能减停一种药物,如仍无发作,再减停第二种药物。
(5)如果在撤药过程中出现发作,应停止继续撤药,并将药物剂量恢复至最接近发作时的剂量观察。
特殊人群的AEDs治疗1. 儿童的治疗
儿童处于生长发育阶段(精神运动发育),体重变化快。年龄依赖的癫痫综合征要注意用药疗程;遗传代谢病需考虑的病因治疗(如苯*酮丙**尿症,吡哆醇依赖等);癫痫性脑病配合激素、生酮饮食治疗。
2. 育龄期女性的治疗
针对育龄期女性要考虑妊娠、分娩、哺乳等相关情况,注意AEDs与避孕药间的相互影响;注意丙戊酸等对胎儿的影响,选择致畸性较小的药物(如拉莫三嗪/左乙拉西坦等);告知癫痫发作及AEDs对妊娠及胎儿的潜在风险。
3. 老年人的治疗
老年人治疗上要注意生理或病理变化对药效学和药代动力学的影响。老年人共患病常见(高血压、糖尿病、心脏病、高血脂等),需注意AEDs与非AEDs间的相互作用。老年患者,尤其是绝经后女性容易出现骨质疏松,应尽可能避免使用有肝酶诱导作用的AEDs,并补充维生素D和钙剂。
其它治疗1. 药物难治性癫痫的定义
至少两种一线抗癫痫药物充分治疗(可耐受的剂量)2年以上,发作仍然无法控制( ILAE),影响生活质量。
2. 药物难治性癫痫的治疗
(1)药物治疗—多药联合治疗。
(2)外科治疗。
(3)术前评估(切除性手术/姑息性手术)。
致痫灶相对明确,可考虑切除性手术;无法明确定位的儿童癫痫性脑病,可考虑胼胝体切开或者神经调控治疗。
(4)生酮饮食对一些儿童癫痫性脑病可能有效。
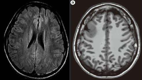
3. 适合切除性手术治疗的癫痫

图 癫痫的影像学检查

图 癫痫的影像学检查

医学V直播:国内免费的医学直播交流平台
全国顶级专家授课!在线学习申请学分!
订阅医学V直播,访问微信号【医学V直播心脑时间】,您可以免费在这里找到北上广最好的专家课程,听课、提问、获得解答。
更多专家讲座请登录:www.yxvzb.com,关注官方微信号:vzb0066