在我妈常讲的老故事合集里,我最在意的就是从小生病的故事。刚出生不久,她就带着我隔三差五跑医院。这仿佛解释了我后来有的各种身体不舒服。现在二十来岁的我,已经学会了怎么跟中重度干眼症、鼻炎和扁桃体炎相处。我以为自己足够了解这些小毛病,但当异常真的发生时,反而没能早早发现病因。

吐出奇怪的黄色颗粒,特别臭
在这些折磨人的小妖精中,扁桃体炎其实是比较乖的那个,只在感冒发烧的时候犯事。最痛苦的一次是去年发烧,喉咙非常疼,加上鼻炎一起混合双打,弄得我难以呼吸一直睡不好觉,两个多礼拜才彻底恢复。那时我也没太在意,人嘛,偶尔感冒发烧也没什么大不了。后来我就去医院开了控制鼻炎症状的药,鼻炎问题缓解了许多。再次感冒发烧的时候,能睡好觉就能很快好起来。
在这反复的发烧中,我发现一个规律: 常常是先有喉咙疼痛,再有发烧 。于是,我开始怀疑自己的扁桃体是反复发烧的元凶。
另一件关于喉咙的蹊跷案件是两年多前开始的: 我偶尔会吐出淡黄色的颗粒,还特别臭 。我分析可能是自己吃东西总喜欢吸溜,食物呛到了气管里,慢慢排出来的时候变黄发臭了。于是每次吐出来那东西,我就会研究一番,想知道到底是什么食物。一开始我怀疑是椰子肉,因为可以剥开成小粒,质感也有点像,后来又觉得也有点像玉米。
为了避免老呛东西,我很长一段时间没吃最爱的椰子和玉米,期间还改掉了喜欢吸溜的毛病。但是, 我吐这东西的频率反而越来越高 ,我只能怀疑是呛了饭粒了。


一些吐出来的黄色颗粒丨作者供图

终于找到元凶了
虽然吐出这东西怪恶心的,但是也没什么不舒服。毕竟什么都能戒,米饭是戒不掉的,我就干脆装作没看见。直到有次去看鼻炎,我顺带问了下医生一直呛东西怎么回事。没想到医生告诉我, 应该不是呛到气管里去了,有可能是藏到扁桃体里发臭了 。医生接着拨开我的扁桃体给我爸看了看:“你看这里是不是有东西……”
真相大白,原来是你小子*扁啊**桃体!怪不得最近扁桃体发炎这么频繁,说不定是有食物烂在里头了。
后来我进行了一系列尝试清理扁桃体的操作,包括漱口、用牙刷戳、用棉签戳,都没什么效果。后来上网一搜,原来我一直戳错了,我一直戳的是悬雍垂而不是扁桃体。悬雍垂,你受苦了!原来旁边壁上的两小坨肉才是扁桃体。不过后来医生告诉我,即使我戳对了,也很难将里面的东西弄出来,只能随它去了。

悬雍垂就是在中央的小舌头,扁桃体在两侧。丨原图:图虫创意
但是我的扁桃体已经变成了房间里的粉红色大象,我越努力不想它,它存在感就越强。不知道是偶然还是神秘的大数据,我在网上刷到有人分享扁桃体切除手术的经历,突然回想起小时候医生对我说过“如果成年了扁桃体还是反复发炎就切掉”。 我心一横:干脆我也切了算了。 没想到这个想法立即遭到了父母的反对,咨询了一些医生也是各执一词。
最后,我找到了一个擅长扁桃体治疗的专家,门诊的凳子还没坐热,医生就告诉我:“你扁桃体虽然不算特别肿大,但是年纪轻轻就这样了,还是割了吧,怕以后对身体有影响。 你说的吐出来的东西是扁桃体结石,是扁桃体分泌物形成的 。现在去办住院手续吧。”
等等,扁桃体这么小,居然能分泌形成饭粒大的结石?而且这结石软软的,根本不像石头啊。原来是我错怪了吃过的椰子、玉米和饭!

术后,吞咽就像吞玻璃渣
手术是个小手术,和果壳病人其他投稿比起来可能只能算挠痒痒。但是我一定要大声控诉一个术前检查——电子喉镜。喉镜,居然是从鼻子里捅到喉咙!医生一边捅还一边吐槽说:“你这鼻炎反复发作,鼻腔也太窄了,捅都捅不进。”我一度觉得自己要窒息了,眼泪鼻涕直流。捅完右边还要捅左边!做完这个检查,我感觉灵魂被摄取了,大半天才缓过来。
手术是等离子切除术,全麻微创,眼睛一闭一睁就结束了。 但是迷迷糊糊醒来的时候,我只感觉喉咙里好多痰想吐,拔了管子之后,更是感觉喘不过气。 前两天做噩梦梦到自己在手术台上窒息的情景闪过,我一屁股坐起来,吓了医生一跳。医生安抚说,我只是太紧张了,接着交代旁边工作人员给我吸氧。我心里有点不好意思,一边大口吸氧,一边努力让自己深呼吸平静下来。
手术还挺成功的,并没有我之前以为的那么痛,最大的问题就是痰多。吐完带血丝的痰之后,还是感觉喉咙里卡着一口痰。因为医生叮嘱术后24小时内要避免伤口破裂出血,否则有重新手术的风险,我也不敢用力把痰咳出来。医生告诉我,是因为手术的地方肿了,才会有异物感,而且这种感觉会持续好几天,我只能试图习惯这种感觉。
平躺吸氧6小时后,我被允许喝水和进食。 但是吞咽像吞玻璃渣一样疼,喝水又不可避免地会吞咽,所以我努力避免喝水。 同时,一说话也会又疼又咳嗽,那段时间我一直用手机打字跟父母交流,或者让Siri替我说话。两个礼拜后,爸妈已经习惯了我被Siri替代的声音。
睡觉是最痛苦的。 不知道为什么,我的口水就跟开闸泄洪一样,吐也吐不完。晚上睡觉的时候更加无法控制地一直吞口水,吞多了就会痛醒,长达一个礼拜都没睡个完整的觉。失眠的时候躺在床上,想起医生说小朋友术后反而没那么痛,真希望穿越时空劝小时候的我把扁桃体割了。
进食也很痛苦。 虽然我做好了术后饿瘦一大圈的心理准备,但从来没饿过这么久的我还是破防了。手术完一整天没吃东西,我饿得前胸贴后背。当听到医生护士建议吃常温或冷的流食,尤其是冰棒的时候,我心里乐开了花。然而吃了三天冰棒后,我闻到那种奶味都想吐。后来我用谷物冲泡粉、蛋*粉白**加果汁勉强挨了七天。每天饿着没力气动,躺了一个礼拜。
术前,我从一个不上百的瘦子努力健身增重到一百一十五斤; 术后十天,我就瘦了十二斤,肥肉和肌肉都肉眼可见地被消耗了,一夜回到解放前 。我看着体重秤上的数字,加上节食带来的情绪低落,忍不住抹了两把眼泪。
就当疼痛明显减轻的时候,发生了一个小意外。我在吞了一口流食之后突然吐了几大口血,把我吓坏了。这种吐血的场景我只在电视剧里看过。幸好医生说这是结痂脱落的正常现象,只要血止住了就没事。幸运的是,过一会儿出血就止住了,不用回手术室再来一遍,不然我真的会只剩一副皮包骨了。
过了这两天危险期后我就恢复得很快了,开始大吃大喝,同时恢复运动,体重没多久就重回一百一十斤。只是增加的肥肉比肌肉多多了,亲身证明节食减肥有多容易反弹。
虽然没留下照片,但据我爸妈描述, 割下来的两坨扁桃体上嵌着一些异物 。医生说幸好做了手术,不然这些结石不好除去。永别了,扁桃体结石!
医生点评
王勤瑛丨浙江大学医学院附属第一医院耳鼻喉科 副主任医师
如文中所述,扁桃体结石是一种罕见的钙盐沉积,通常是扁桃体慢性炎症长期刺激的结果。 目前没有特效的治疗药物。
我们先了解一下扁桃体结石的形成过程:扁桃体结石多发生于扁桃体的上隐窝中,因隐窝深而大,分泌物引流不畅,导致干酪样物积聚,致不易溶解的钙、镁等无机盐沉积而形成结石。 结石的核心可为小异物、食物残渣、脱落的上皮细胞或细菌等。

扁桃体结石形成的病理机制丨腾讯医典
本文作者扁桃体结石的形成很有代表性,与扁桃体受到长期慢性炎症刺激密切相关。 由于炎症导致纤维组织粘连,扁桃体隐窝口因炎症或脱落上皮、菌落阻塞,形成淤积性囊肿,从而逐渐形成结石。
目前临床上应用的一些降高血压药物、止痛药和抗抑郁药物等,产生的副作用会使口腔干燥,这意味着扁桃体处没有充足的唾液把食物和细菌冲走,当钙化食品、黏液和细菌形成的结块残留在扁桃体凹陷处时,也可能形成扁桃体结石。
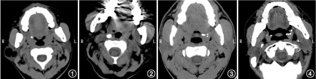
扁桃体结石常单侧发病,结石大小不一,小者如沙粒,大者如鸽卵。 临床表现类似于慢性咽炎的症状,主要是反复咽痛、咽部异物感及伴有口臭。 扁桃体结石的主要成分是磷酸盐,所以CT上呈致密影。

上图分别为CT显示的:右侧扁桃体单发小结石、右侧扁桃体单发较大结石、左侧扁桃体多发结石、双侧扁桃体多发结石
丨参考文献1
作者父母及本人付出了非常多的时间及精力,自身也比较痛苦,饱受疾病的折磨。扁桃体结石也确如文中所说,临床少见,发病率低,临床表现又类似慢性扁桃体炎或者慢性咽炎,不具有特异性,因此容易误诊为以上两种疾病。
有症状的扁桃体结石一经确诊,首选手术治疗 ,将结石连同扁桃体一起手术切除是治疗的最佳方法。对不愿意接受手术的病人,也可选择结石剥离术等。
疼痛是扁桃体切除术后常见的症状,术中应用激素可减轻患者术后疼痛,术后疼痛量表-视觉模拟量表(VAS)超过3分则需要进行疼痛管理。术后疼痛及进食管理会导致患者体重的短期下降,术后出血、感染也是可能的并发症。经过2周左右的恢复后,绝大部分患者可“满血复活”。如本文的描叙一样, 扁桃体结石预后良好,一般经扁桃体切除后临床症状即可治愈 。
最后,我相信每一位病人在经过精心、准确的治疗后可拥有健康的身体和愉悦的身心。
参考文献:
1.余长亮,陶龙香,李小虎,余永强,刘斌。扁桃体结石的患病率及CT诊断,《中华耳鼻咽喉头颈外科杂志》,2017,8:604-607。
2.Abdulrhman Alfayez, Meshal B. Albesher, Mohammed A. Alqabasani. A giant tonsillolith, Saudi Med J, 2018 ; 39(4): 412–414.
3.I Papitsi, G Koukoutsis, D Balatsouras. A case of a giant tonsillolith, Hippokratia, 2020 ; 24(2): 96.
个人经历分享不构成诊疗建议,不能取代医生对特定患者的个体化判断,如有就诊需要请前往正规医院。
作者:一棵椰子树
编辑:安安安安妮啊、黎小球

这里是果壳病人,专注讲述健康故事。
如果你有得病、看病的体验要分享,或者想讲讲自己经历的健康相关趣事,欢迎投稿至 health@guokr.com,合作事宜请咨询fang.huang@guokr.com 。