来自广东肇庆怀集的小蔡,由于反复鼻塞4年了。

4年前无明显诱因开始出现鼻塞,呈双侧交替性,偶伴头痛,午后加重,伴流少量脓涕、频繁打喷嚏,伴鼻滴漏感,伴咳嗽、咳痰,无痰中带血,无伴嗅觉减退、鼻出血,无耳部不适,伴睡眠打鼾,间断在外院就诊,保守治疗症状稍缓解。


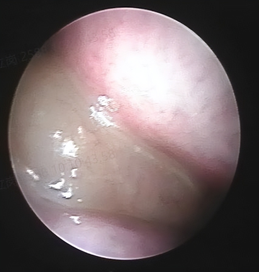
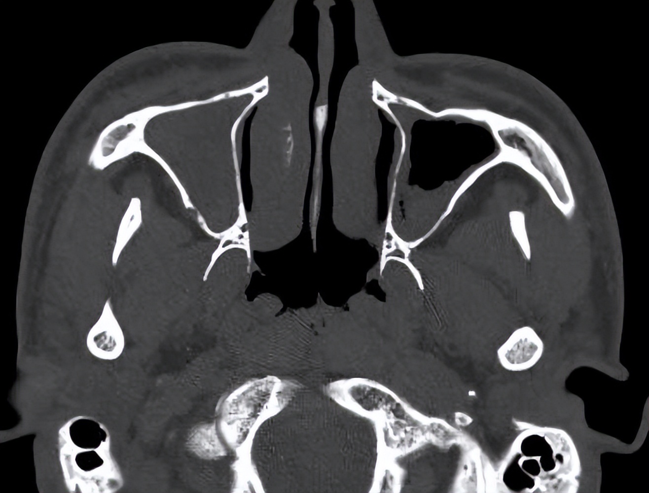
但容易反复,这次有时间找到耳鼻喉郑立岗医生,检查后考虑是过敏性鼻炎为主,由于长期的控制不佳,导致伴发了鼻窦炎和鼻息肉,这种情况一般建议手术治疗效果会更好一些。

和家人商量后决定做手术治疗,就入院了。这次安排的是鼻内镜鼻窦炎微创手术和下鼻甲手术,插管全麻后就开始了手术。在鼻内镜下切除鼻息肉和开放鼻窦后,清除了炎症病变,并做了鼻甲的射频治疗,解决鼻炎的问题,整个的手术非常的顺利,用时约一个多小时。术后查房患者无明显的不适,无手术相关的并发症。


对于过敏性鼻炎的患者,一般以鼻子痒、打喷嚏、流水样鼻涕为主。这种情况一般要积极的治疗控制鼻炎,如果长时间的控制不佳,有可能导致鼻窦炎、鼻息肉的情况。
