
B超看见的卵巢囊肿主要分两类。
一类是生理性囊肿,也就是正常的囊肿,这种囊肿包括卵泡囊肿 黄体囊肿。
第二类是病理性囊肿,病理性囊肿提示卵巢和输卵管可能有疾病。需要进一步诊断和治疗。

下面解释一下生理性囊肿:也就是正常囊肿。
什么是卵泡囊肿?
月经正常卵泡发育,所起在排卵前,月经周期28-30天的女性,在月经周期10-14天B超可看见卵泡,影像学看上去就是一个囊肿,这个囊肿大小不等,可以波动在1-3cm,如果当个月有促排卵,那这时候卵巢内卵泡更多,更大。
卵泡囊肿的特点是囊液澄清,囊壁非常光滑。所以很多女性体检是发现卵巢囊肿,一般都建议月经周期第五天或月经干净了马上复查。
选择这时候复查的原因就是上个月卵泡已萎缩,这个月卵泡还没长起来的时候。如果这时候囊肿不见了,那提示上次囊肿可能就是一个生理囊肿,卵泡囊肿或黄体囊肿,没关系,不用理她,放心睡大觉就可以。

什么是黄体囊肿?
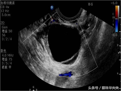
黄体囊肿也就是卵泡把卵子排出来了,剩下来的组织就形成了黄体。
黄体囊肿特点里面回声有点杂,B超会经常描述成混合性回声。如果当月排出来的卵没有怀孕,那黄体囊肿就没有任务了,就自行萎缩掉。
如果怀孕了,黄体囊肿继续增大,分泌更多的孕酮维持妊娠。这时候黄体囊肿的名字就变成了妊娠黄体。
所以怀孕的初期做B超时经常会发现卵巢有囊肿,如果囊肿在5cm以内,医生一般首先考虑妊娠黄体囊肿。这时候卵巢囊肿属于正常的囊肿,到怀孕70天左右,黄体功能慢慢被胎盘取代的时候,妊娠黄体囊肿完成了自己的使命,慢慢的萎缩,消失。

病理性囊肿
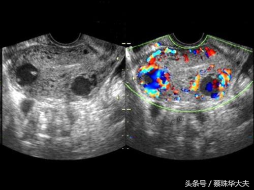
包括 卵巢肿瘤,卵巢巧克力囊肿,附件炎症性包块。
这些囊肿的特点是月经干净后复查,囊肿不会缩小,大小不变或会增大。或者B超下看上去回声乱糟糟。这些囊肿需要及时的治疗。

如果近一年内没怀孕的时候做过B超,没有发现卵巢囊肿,怀孕后早期发现卵巢囊肿,那基本就是黄体囊肿,也就是正常囊肿,不用理她。
如果以前没查过,第一次发现也考虑黄体囊肿可能性大,但为了保险起见,怀孕3个月后再复查一下还有没有。如果没有了,也提示正常囊肿。