患者,男,57岁
【主诉】
反复咳嗽气促4年,加重5天,发热1天
【现病史】
患者4年前无明显诱因下反复出现咳嗽、咳白色粘液痰,伴有活动后胸闷气急,多在天气变化等情况下加重,持续月余不等,在当地诊断为“慢性支气管炎、肺气肿”,间断口服百令胶囊及中药(具体诊治情况不详)。半年前开始舒利迭 500/50 1吸 bid治疗。5天前患者自觉活动后胸闷气急明显,咳嗽咳痰增加,痰白不易咳出,咳嗽剧烈及深呼吸时感两协肋部隐痛,休息后减轻,感乏力。无头昏头痛,无恶心呕吐,无寒战皮疹,无腹胀腹泻,无尿频尿急尿痛,无夜间阵发性呼吸困难,就诊我院门诊,口服药物(头孢类等,具体不详),无明显好转。昨晚自觉有发热,就诊我院急诊,测体温37.6摄氏度
【过去史】
有吸烟习惯,吸香烟,每天20支,已吸20余年,已戒20余年
阑尾炎手术病史
【体格检查】
T:38.2℃,P:114分,R:32次/分,BP:185/86mmHg,
右下腹陈旧性手术瘢痕, 神志清,精神稍软,皮肤巩膜无黄染,气管居中,两肺呼吸音粗,两下肺可闻及干罗音 。心律齐,未闻及病理性杂音。腹软,无压痛,肝脾肋下未及,双下肢无浮肿。
【辅助检查】
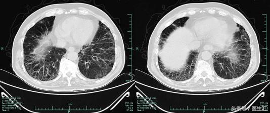
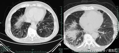
2013-9-25肺CT

入院前辅助检查



2013-10-13 肺部CT:慢支、肺气肿。两肺间质性病变,对照13.9.25老片右肺斑片影增多,感染考虑。右上肺钙化灶。


【提示】
ICS 可能增加不必要的副反应风险

【治疗】
特治星 4.5 q8h 抗感染治疗;沐舒坦化痰;多索茶碱、普米克令舒、爱全乐平喘。
【体温变化】

肺功能检查:重度阻塞性通气功能障碍:FVC 2.00L,FEV1 1.05L,FEV1/预计值 37.7%
【诊治过程】
B超:膀胱三角区占位,右肾积水。泌尿科会诊考虑膀胱癌可能,肺功能改善后再行手术治疗。
肺炎治疗好转出院。出院时自诉平地长时间行走气促,能一口气从1楼爬到2楼。mMRC评分 2分。加用思力华1 吸,QD。
【提示】
呼吸困难是慢阻肺的标志性症状。慢阻肺呼吸困难呈进行性加重,与运动能力受限和生活质量降低密切相关。思力华®特异性阻断M1、M3受体,减少小气道闭合率,从而改善肺显著过度充气。UPLIFT研究: 思力华® 治疗4年提高中度慢阻肺患者的生活质量,更有效改善呼吸困难及运动能力、生活质量。
治疗9天后复查肺功能:中度阻塞性通气功能障碍:FVC 2.24L;FEV1 1.17L;FEV1/预计值 42.0%。自诉平地长时间行走气促,能一口气从1楼爬到3楼。mMRC评分 2分
顺利完成膀胱癌手术治疗。
【小 结】
呼吸困难是慢阻肺的核心症状,随疾病进展进行性加重,严重影响患者运动能力,长期影响生活质量。噻托溴铵能有效改善呼吸困难及运动能力、生活质量。
ICS在慢阻肺患者中的过度使用,可能使患者面临不必要的副反应风险的增高,例如肺炎、骨质疏松、糖尿病和白内障。