点击右上角立即关注,更多健康内容不再错过,不定期惊喜送给你
很多人在患上了支气管炎疾病之后不知道到底会不会出现发烧的现象,支气管炎是属于炎症感染很严重的一种疾病,如果是孩子患上了支气管炎这个疾病的话,那么要很长时间孩子的疾病才会治疗好,孩子的支气管炎会引起喘息的现象,喘息会让孩子难受,呼吸也比较困难,而孩子在支气管炎期间额头还会发烫,那么这个支气管炎会引起发烧吗?

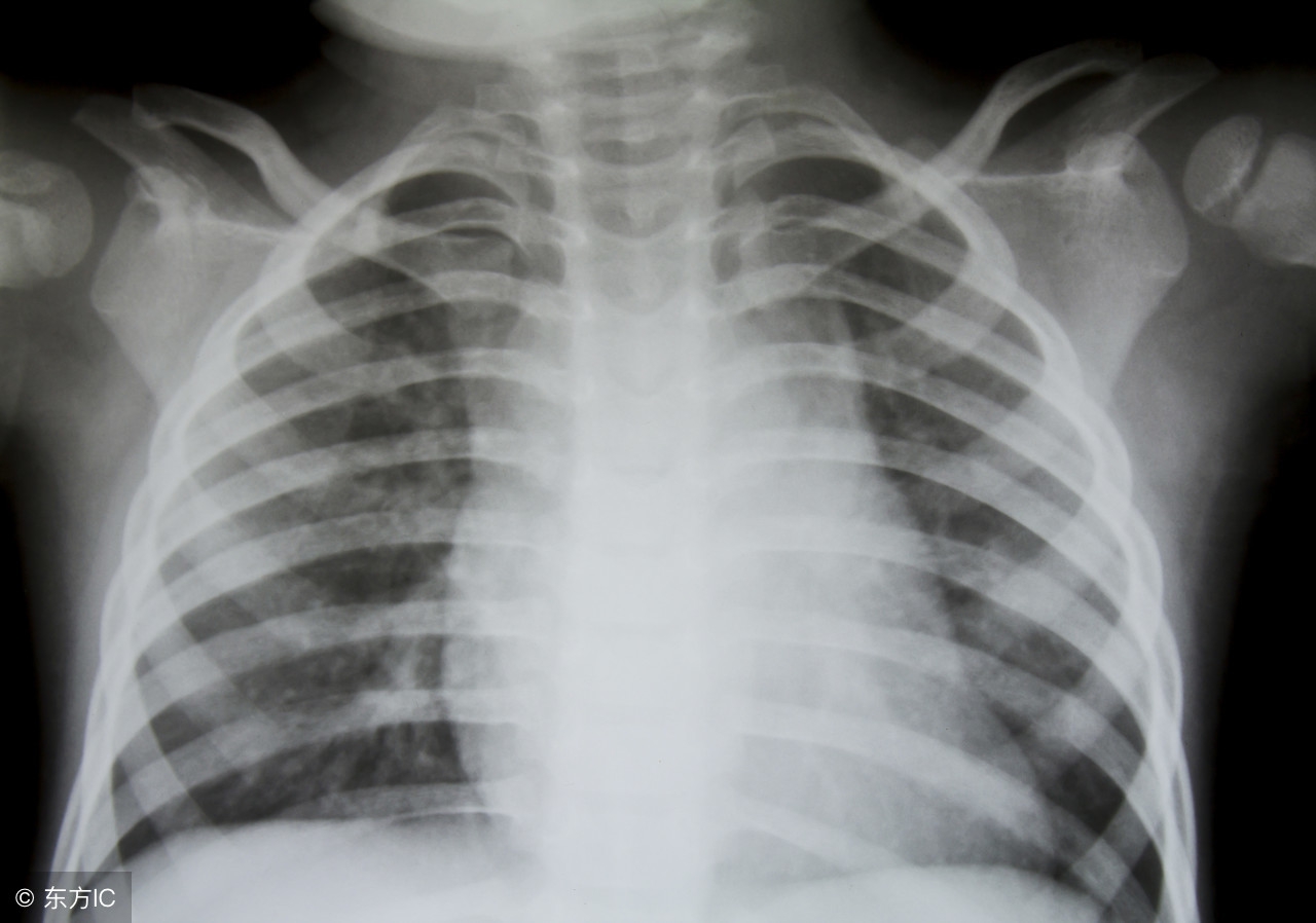
支气管炎会引起发烧的,建议还是CT或者胸片检查和化验血常规看看.如果确诊支气管炎或者呼吸道感染引起的,可以遵医嘱服用消炎药和止咳祛痰药物对症治疗,如服用头孢克罗胶囊和复方甘草口服溶液等,一般不能盲目服用药物,使用抗生素需要医生指导下服用.发热超过38.5时再服用退热药.避免引起药物副作用或者细菌耐药性.注意休息和多喝白开水.避免辛辣刺激性饮食。
支气管炎的治疗
积极排痰:急性期患者在使用抗菌苭物的同时,可尝试使用镇咳、祛痰的荮物。而对于年老体弱无力咳痰的患者以及痰量较多的患者,要以祛痰为主,不要选用较强烈镇咳的荮,以避免抑制中枢神经加重呼吸道炎症,导致病情恶化。帮助危重病人定时变换体位,轻轻按摩病人胸背,可以促使痰液排出。

避免呼吸道感染:在急性发作期,一定要遵照医嘱,选择有效的抗菌苭物治疗。而在急性感染控制后,患者要及时停用抗菌的荮物,以避免长期应用而引起副作用。
加强体质的锻炼:患者要增强体质,提高自己的耐寒能力和机体抵抗力。冬天可以坚持用冷水洗脸、洗手,睡前可适当得按摩脚心、手心,都有一定帮助。
保持家庭环境卫生:要时刻保持室内空气的流通,不能让屋内太,干要有一定湿度,注意控制以及消除各种有害气体和烟尘,戒除吸烟的习惯,注意保暖。

在治疗的时候要看是多大的人,如果是孩子,并且还比较小的话,那么排痰是很困难的,建议这个时候给孩子选择机械排痰,这样让孩子也好受一些,其实支气管炎这个疾病引发了炎症之后最重要的就是痰在喉咙里面没有排除,这个时候也要给孩子多拍拍背,如果是大人的话,那么吃点化痰的药物。

想了解更多知识内容可以点击下方了解更多关注我们的阳光小店店铺,里边有各种健康类书籍
注:文中图片来自网络,如有侵权请联系删除