近日,江苏淮安44岁的朱女士(化名)连续三周都觉得右腹隐隐作痛,抬手晾衣服、做家务时疼痛加重。朱女士到上海德济医院一查,竟发现自己不但患有胆囊炎,肝脏上还有一个鸡蛋大小的血管瘤!
身体一向好好的,怎么就得肿瘤了呢?朱女士连忙求助受聘于上海同济医院肝胆外科施宝民教授。施宝民教授从事普外科工作近30年,临床经验丰富,尤其擅长普外科疑难杂症的处理,在肝胆胰脾外科领域和微创外科技术方面造诣颇深。施教授是中德双料博士,同济大学附属同济医院肝胆胰外科主任、同济大学外科学博士研究生导师,担任上海市抗癌协会胆道肿瘤专委会副主任委员、上海市普外专业委员会委员、上海市肿瘤医师专委会委员等学术兼职。
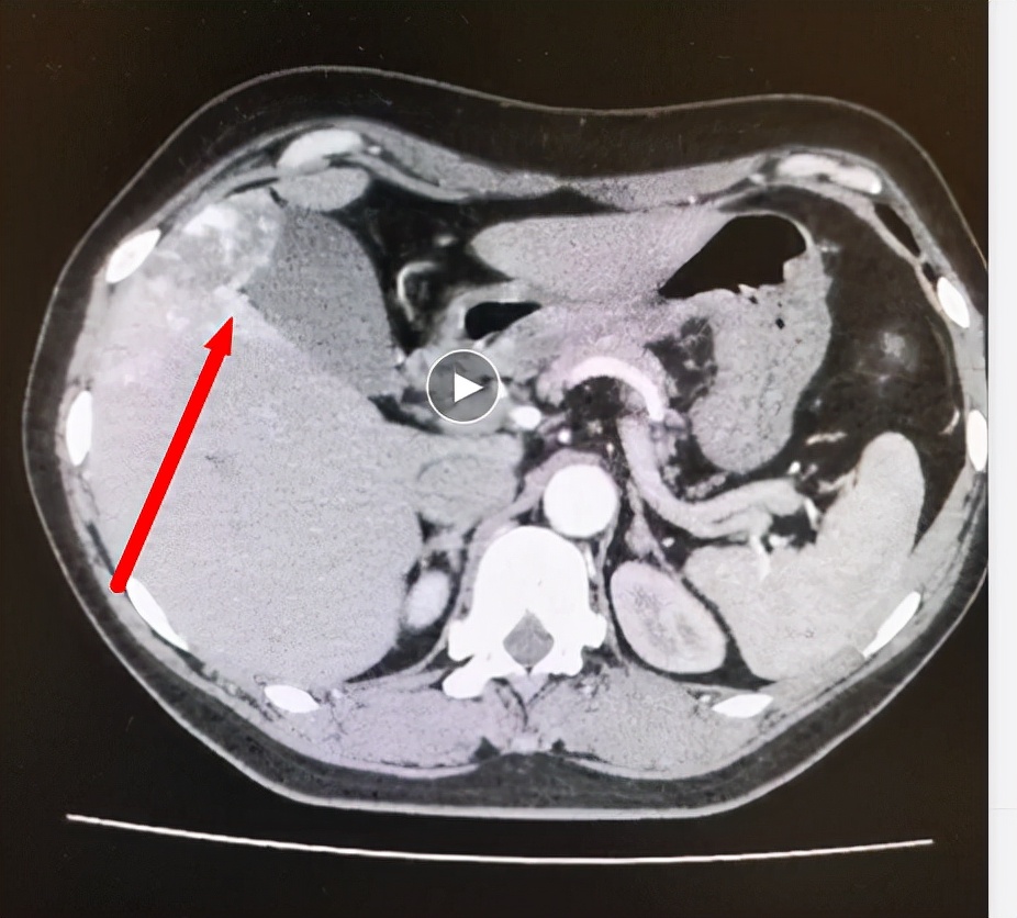
施宝民教授研究了患者的CT影像发现,非常巧合的是,血管瘤正好在胆囊床上,也就是胆囊躺在血管瘤上,而血管瘤的底部凸起正好压在胆囊上方。这种血管瘤靠近肝脏边缘、外凸非常明显,比较容易破裂,对胆囊的功能也会有影响。所以该患者既往一直患有胆囊结石、胆囊炎。

肝脏第V段血管瘤压在胆囊底部(红箭头所示)
“肝血管瘤不是真正意义上的肿瘤,而是一种团状的动静脉血管畸形,绝大多数都是良性的,恶变的几率非常低,肝脏的血管肉瘤非常少见。”施宝民教授解释,“但这位患者的肝血管瘤已经超过5cm,而且末端突出于肝外并覆盖于胆囊底部,比较容易破裂。如果破裂大出血会有生命危险,因此我们建议尽快切除。”
得知疾病是良性的,朱女士松了一口气,但她的病情需要同时切除肝血管瘤和胆囊,这使她担心手术会让身体元气大伤。
施宝民教授表示,过去开腹手术切口长、创伤大、手术风险高、恢复慢,现在采用了先进的微创腹腔镜技术,只需在腹部开几个小孔就能解决问题,不但痛苦小,恢复也更快。
理解了病情、打消了顾虑之后,朱女士决定手术。经过术前准备,于2021年9月实施了腹腔镜下肝血管瘤及胆囊切除术。肝血管瘤手术最大的难点是术中出血的预防和控制,如果处理不当,可能导致大出血,只好中转开腹,因此对于腹腔镜操作水平要求较高。该病例不能将胆囊单独切除,因为胆囊长在血管瘤上,分离胆囊的时候肯定会引起大出血。所以只能将血管瘤和胆囊整块切除,方可安全。在麻醉医生及外科团队的通力配合下,凭借着精湛的腹腔镜手术技术,施教授先切断胆囊动脉和胆囊管,然后将血管瘤及胆囊一并整块切除。既切除了肝血管瘤,又安全切除了胆囊。手术顺利,出血不多,手术用时仅1个多小时。

朱女士术后伤口处理

施宝民主任正在为朱女士进行腹腔镜手术
手术三天后,朱女士即康复出院,她再次恢复了神采,并对上海德济医院的专家和技术感到满意和信赖。
“肝血管瘤在中年女性中比较常见,当它体积较小时,通常没有症状,也不需要手术;但如果体积较大或迅速增长时,就可能压迫周围器官,出现腹部疼痛、包块,此时就需要积极治疗。”施宝民教授提醒,“如果被诊断为肝血管瘤,一定要寻找正规专业的医院就医,这是良性疾病,不必谈‘瘤’色变。”
专家简介

施宝民
同济大学附属同济医院肝胆外科
主任医师,教授,博导
擅长
普外科各种疑难杂症的诊治,尤其是肝胆胰脾良恶性肿瘤、各类胆石症、门静脉高压症的外科治疗及胃肠肝胆外科疾病的微创外科治疗。
简介
同济大学附属同济医院肝胆外科主任医师、教授、博士研究生导师。2000年毕业于华中科技大学同济医学院,获得博士学位,2004年赴法国欧洲微创外科中心进修腹腔镜外科。2007年~2008年国家留学基金委全额资助在德国洪堡大学Charite 医学院作访问学者,并获得德国医学博士学位。
主要从事普外科尤其擅长肝胆胰脾外科及其微创外科的基础和临床研究。对于肝胆胰及消化道肿瘤、复杂的肝内外胆管结石、门静脉高压症的外科治疗和微创外科技术有较深入研究。作为高级访问学者,在德国师从著名外科学家、欧洲外科学会主席Neuhaus教授。开展各类腹部大型复杂及微创外科手术,实施手术数千例,以创伤小、并发症低、恢复快、远期临床效果好为特色。
近年来相继开展保留十二指肠的胰头切除术、保留幽门的胰十二指肠切除术、保留脾脏的胰体尾切除术、精准半胆或肝段切除术、部分脾切除术、合并部分肝及胰十二指肠切除的胆囊癌扩大根治术、合并半肝切除的肝门部胆管癌的扩大根治术等多种新术式,赢得国内外同道的认可及广大患者的好评。
腹腔镜微创外科技术可以熟练应用于各类肝胆胰脾及胃肠外科手术。腹腔镜下肝叶切除、胰腺肿瘤切除,腹腔镜下胆总管切开取石、腹腔镜下脾脏切除及脾段切除术等,积累了丰富经验。还开展了经脐单孔胆囊切除、肝囊肿切除等单孔微创外科手术。不但见效快,同时疤痕小或者无疤痕,做到了术后较好的美容效果。
先后承担国家自然基金等国家10项。多次赴欧美等国家参加国际会议并大会发言。获得省部级三等奖多项。国内外发表论文100余篇,SCI收录杂志20余篇。主编专著2部,副主编2部,参编专著10部,英文专著《Liver cancer: new research》在美国NOVA出版社出版。
担任中华医学会外科分会实验与转化医学学组委员,上海市抗癌协会胆道肿瘤专委会副主任委员,科技部国际合作计划评审专家、上海市普外专业委员会委员、上海市普外专业委员会胆道外科学组委员、上海市普外科质控专家委员会委员、中国医师协会上海肿瘤医师分会委员、中国医师协会上海普外医师分会委员、上海中西医结合外科委员会常务委员、上海中西医结合外科委员会腹腔镜微创外科学组副组长,上海市医学会第四届医疗事故鉴定委员会专家、中国微循环学会肿瘤专业委员会肝胆胰学组副组长、中国医院协会医疗技术委员会肝胆胰肿瘤专家组组长、中国研究型医院协会数字分会胆道损伤专业委员会委员、国家自然基金评审专家、《World Journal of Gastroenterology》、《世界华人消化杂志》编委,《国际外科学杂志》编委,《中华实验外科杂志》编委,《中国现代普通外科进展》青年编委,《中华医学杂志(英文版)》等。