临床资料
患者男性,14岁,5年前无意间发现右下肢后方可触及一隆起疼痛性包块,边界不清,压痛明显,未予重视,5年来逐渐增大,无发红、发热。
外院MRI提示右小腿背侧肌间隙梭形异常信号影,考虑纤维瘤可能性大。查体:右下肢后方触及大小约5*5*1.5cm肿物,边界不清,质软,活动度好。

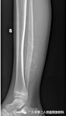
X线正侧位

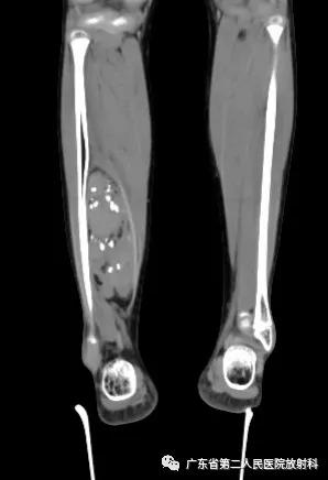
CT冠状位软组织窗、骨窗

CT横断位软组织窗

CT三维重建

MRI T1WI冠状位

T2WI矢状位

T1WI压脂+C

T1WI压脂+C
影像学表现
(1)X线:右侧胫、腓骨中下段后方可见一软组织密度肿块,部分边缘模糊,肿块内可见多发点片状高密度影,边界清楚,胫、腓骨中下段受压向前、外侧移位。
(2)CT:右下肢胫骨后肌及拇长屈肌间隙内可见一类椭圆形软组织肿块影,内密度不均,见多发斑点状、结节状高密度影及小条片状脂肪密度影,境界清楚,肿块呈膨胀性生长,右腓骨中下段骨皮质受压变薄、变形,增强后肿块呈中度不均匀强化。
(3)MRI:所见层面右小腿胫骨后肌及拇长屈肌间隙内可见一类圆形混杂T1、T2信号影,均以低信号为著,边界清晰,可见包膜,增强扫描病灶呈明显不均匀强化,邻近结构受压移位。
初步诊断
软组织血管瘤?
多形性未分化肉瘤?
纤维瘤?
病例结果
(右下肢)肿瘤可见胶原纤维区及粘液区交替出现,以胶原样区为主,散在结节状粘液样区域,结节内星芒状纤维母细胞形态温和,核分裂象难见,部分结节伴有骨化灶形成,免疫组化结果:CD34(弱+),S-100(-),SMA(-),Ki-67(少数+),偶见个别巨菊形团样结构形成,肿瘤浸润周围软组织生长,结合病史, 考虑低度恶性纤维粘液样肉瘤 。
概述
低度恶性纤维粘液样肉瘤(LGFMS)是一种罕见的软组织恶性肿瘤,临床表现无特异性,误诊率非常高。可以发生于任何年龄,多以中青年为主,好发于四肢及躯干深部软组织,组织学表现为良性特点,却有局部复发和远处转移的潜能。临床表现为渐进性增大的无痛性肿块,部分患者疼痛明显,与肿瘤生长位置、大小有关。
病理改变
LGFMS在镜下最有特点的表现是形态偏良性的梭形纤维母细胞样细胞分布在纤维样和粘液样交替组成的区域,核深染,核分裂象少见。
影像表现
LGFMS常常体积较大,呈膨胀型生长,边界清楚,内密度不均,部分病变可见钙化,在MRI上表现缺乏特异性,当肿瘤以纤维成分为主时,T1WI呈低或略低信号,T2WI成等、低及混杂信号,当肿块以粘液成分为主是,T1WI呈等或偏低信号,T2WI呈高或稍高信号,因此组织病理学决定了肿瘤在MRI上的表现[5],本例LGFMS镜下可见大量胶原纤维,因此MRI表现为T1WI及T2WI上均以低信号为主。
参考病例

31岁女性,腹壁LGFMS压迫膀胱及子宫,T1WI稍高信号,T2WI信号混杂,对应T2WI低信号区可见强化,粘液样变区域不强化。

14岁女性,左大腿巨大LGFMS,T2WI呈明显高信号,提示肿块大部分为粘液样变。
鉴别诊断
血管瘤:软组织血管瘤很常见,常可见典型的静脉石样钙化,本病例CT上亦可见多发斑片状、类圆形钙化,但血管瘤在MRI上大多呈长T1、T2信号,与本病例不相符。
低度恶性粘液样纤维肉瘤:与LGFMS命名相似,但好发于老年人,多见于皮下软组织,呈多结节状,影像上有时很难与LGFMS鉴别,往往需要病理诊断。
恶性纤维组织细胞瘤:本病好发于老年人,常侵犯f临近组织,平扫和 增强T1wI显示的低信号环及伪足样突起有利于诊断此病。
诊断要点
多见于中青年,好发于四肢及躯干深部软组织;
CT上呈稍低于肌肉或与肌肉相近密度肿,边界清楚,密度不均,部分病变可见钙化。
MRI表现主要取决于病理组织成分,纤维成分多则信号较低,黏液成分较多则信号较高或混杂。
参考文献
1.赵越,龙世亮,田执南,等.低度恶性纤维粘液样肉瘤的MRI表现[J].中华放射学杂志,April 2015,Vol.49,No.4.
2.郭应林,李莉,刘白鹭.前纵隔低度恶性粘液样肉瘤一例[J].中华放射学杂志,June 2008,Vol.42,No.6.
3.侯美蓉,谭相良,严承功,等.低度恶性纤维黏液样肉瘤的CT和MRI表现[J],中华放射学杂志,December 2015,Vol.49,No.12.
4.Evans HL.Low-grade fibromyxoid scrcoma;a clinicopathologic study of 33 cases with long-term follow-up[J].Am J Surg pathol,2011,35(10):1450-1462.
来源:广东省第二人民医院放射科
【版权声明】本平台属公益学习平台,转载系出于传递更多学习信息之目的,且已标明作者和出处,如不希望被传播的老师可与我们联系删除