来源:双鸭山科研小黑屋
作者:雀山
疫情笼罩下的广州阴霾密布,心内科医生的工作依旧繁忙而又沉重。最近我们就做了一台急诊手术,整个过程跌宕起伏、一波三折甚至一度感到绝望。
这是一个86岁的老年女性,胸痛4小时来急诊,急查心电图如下:

图1
相信大家对心电图如果有所了解看到这种心电图都会被吓得不轻,这么老的一个老人家,心电图是非常典型的“红旗飘飘、寸草不生”,胸前导联V2-V6广泛的ST段抬高并且已经全是病理性Q波,侧壁导联I和aVL导联也可以看到ST段抬高,结合胸痛症状,诊断“急性广泛前壁、侧壁ST段抬高型心肌梗死”非常明确,立刻口服阿司匹林、氯吡格雷和瑞舒伐他汀负荷量,启动导管室,并且跟家属交代手术的必要性。家属考虑了一下之后同意手术,病人很快就送到导管室。
86岁的人,这样的心电图,可以说,一只脚已经踏进了鬼门关。还好,她的生命体征还算稳定,血压没垮,140/70mmHg,心率90-100次/分,血氧饱和度95%,呼吸20次/分,但是表情非常痛苦,双目紧闭,烦躁不安,不停地喊胸痛背痛全身不舒服,作为术者,要做到完全不受病人情绪的影响是不可能的,我们都变得紧张焦虑起来。
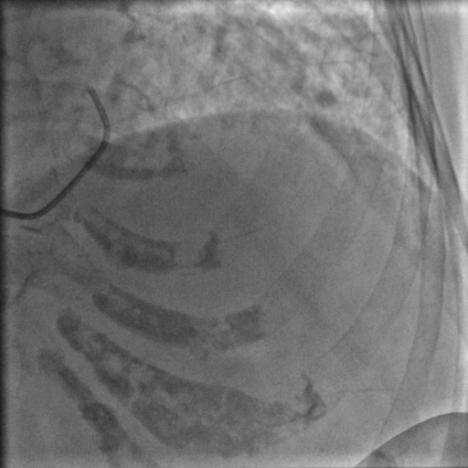
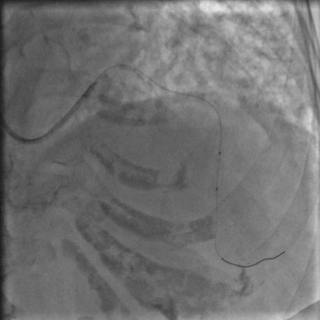
常规消毒、铺巾,再穿刺、放鞘管、送入造影导管、造影,一切顺利,造影结果如下:

图2

图3

图4
比我们想象中的要好,前降支中段闭塞,第一、第二对角支都还在,回旋支、右冠都还好,可以稍微松一口气。
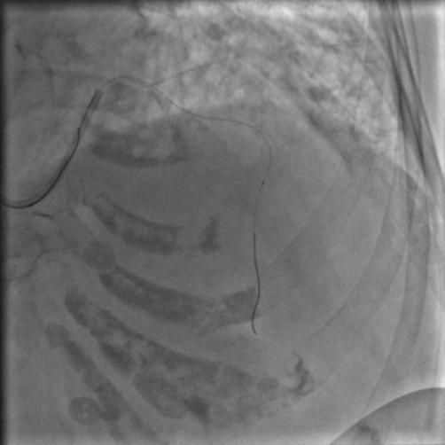
按照常规,更换指引导管,送入导丝,顺利通过闭塞病变到达前降支远端,很顺利,D-to-B时间70分钟,达标,曙光在前头。

图5
导丝过了之后常规造个影:

图6
没通,这个也很正常,急性冠脉闭塞导丝过了之后血栓还堵着是很经常的事,按常规打点欣维宁,考虑到她86岁,打入8ml欣维宁,造影:

图7
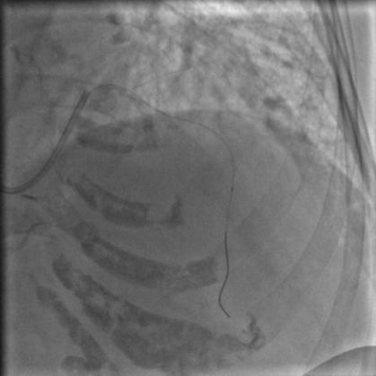
还是没通,这个也很正常。那就再拿球囊走一下,送入2.5*15mm的PTCA球囊,走得很顺,可以沿着导丝走到前降支远端,反复地走几次,看看能不能把血栓冲散,造影:

图8
还是没通,那就要来个血栓抽吸导管了,把球囊退出来,送入血栓抽吸导管到闭塞段,开始抽吸,一管、两管、三管,好了,看起来抽出来注射器里面都是血栓,抽吸的过程中似乎出现了一过性的心率变慢,应该是再灌注心律失常,应该通了吧,造影:

图9
好像前降支的显影是比刚才多出来一小节,然而依然还没通,那拿个球囊扩一下吧,把刚才的球囊送到闭塞段,2、4、6个大气压,轻轻扩一下,再轻轻扩一下,好松开,再打点硝酸甘油,造影:

图10
额滴神呐,还不通,老婆婆一直在台上痛苦地*吟呻**,我们也很揪心。再打点欣维宁吧,86岁了不能打多,再给7ml,再送入血栓抽吸导管,抽吸,依然可以看到注射器里面抽出来好多血栓,好,造影:

救命,我们已经快要绝望了,刚刚好不容易搞出来的那一小段,现在又堵上了。本来以为是个简单的病变,血栓怎么这么顽固。再来一次血栓抽吸,抽吸导管尽量往下送,造影:

图12
好像又出来多一点了,那就再用球囊扩一下吧,但是怎么判断远端是不是在主支和真腔里呢?
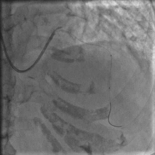
主刀的大师兄这时候突然间灵机一动,提出了一个很有创造性的做法。
我们知道,做CTO的手术有时候会从微导管里面打造影剂判断远端导丝是不是在真腔里,那我们是不是也可以效仿,把旧球囊刺破,再将旧球囊送到远端,往里面打造影剂。

图13
没错,导丝远端确实是在主支真腔里,那可以再放心大胆地用球囊来扩张了,送入球囊,从远端一直往回扩,这次因为底气足了,所以比上次走得更远、扩张得更加充分,压力最大打到了10个大气压。

图14
造影:

图15
彻底绝望,这是什么血栓这么顽固!
这时候摆在我们面前的有两条路,一是放弃手术,回去药物治疗,因为这个位置相对来说应该还不是说不做一定不行的那种,但是看着老婆婆痛苦的表情,双目紧闭,对于她的年龄来说,这个血管不做通的话对她的心脏打击一定是非常大,不知道熬不熬得过去;那如果继续手术,欣维宁是不敢再用了,冠脉内注射尿激酶溶栓对于一个86岁的老人家也是非常危险,出血风险太高,我们能想到的办法就是继续血栓抽吸、继续球囊扩张。
那就最后再来一次血栓抽吸看看,又抽了3管血,看起来里面同样是很多血栓,造影:

图16
果然还是让大家失望了,感觉尽我们所能能搞通的也就是前降支中间那一小段。
这时候主任来了,主任是我们刚刚叫过来的救兵,主任提出了一个更有创造性的方案,类似于CTO的双侧造影:先把刚刚刺破的球囊放回导丝远端,然后同时往球囊和导管里打入造影剂,这样就可以清楚地看到中间的闭塞段。

图17
神操作,确实这样是可以非常清楚地看到中间闭塞的那一段,就这么小小的一段血栓,为难了老太太也为难了我们,几乎要了她的命。
然后怎么办?
主任说,再尝试最后一次血栓抽吸,不行的话就直接放支架,大小长度我们都看清楚了。
血栓抽吸完造影,结果也是我们意料之中(这时候已经有点麻木了)。
还不通那就直接放支架吧,选一个3.0*25mm的支架,定好位,造影:

图18
好,释放,见证奇迹的时候来了:

图19
谢天谢地!!!给点热烈的掌声,这个血管总算是通了!!!
接下来的事就很简单了,再后扩张一下让支架充分打开贴壁,考虑到急性心梗血栓负荷这么重,不敢后扩得太厉害。

图20
然后就可以收台了。脱下手术衣后,看看墙上的钟,时间已经过去了两个小时,再看看彼此的衣服,已经湿透了。
老婆婆送回CCU之后一切稳定,不再听到烦躁的*吟呻**声和哭喊声了,复查心电图ST段已经明显回落(图21),晚上再去看她的时候已经可以很开心地跟我们聊天(虽然她耳朵聋了听不到,基本上是鸡同鸭讲)。

图21
这个病人的前降支发生急性闭塞,在分别用球囊扩张了n次、欣维宁打了15ml、血栓抽吸了5次之后,血栓还是纹丝不动,最后我们通过刺破的球囊进行双侧造影确定病变范围,再植入支架将血栓压到一边,取得了让人非常满意的结果。这个做法可以供大家日后的临床工作和手术中借鉴。
另外还是要提醒一下,病从浅中医,这个老婆婆前降支的病变实际上就是一个非常简单的A型病变,如果在没发生心梗的时候就进行处理,可能半小时都不用就做完了,或者已经知道冠脉有狭窄,先吃药进行冠心病二级预防让斑块不要破裂发生急性心梗,也不用到鬼门关走一趟遭受这么大的罪。
所以有很多病人经常会在做完冠脉CT或者造完影之后看到血管明显狭窄的时候问,这个病变如果不管会怎么样,这个就是答案。