
气胸是临床常见急症之一,但不同类型的气胸其危险性不同,严重者可危及生命,需要紧急处理,有必要学会鉴别。
张力性气胸是一种可迅速致死的急危重症,患者胸腔大量积气,胸膜内压力不断升高,肺可完全萎陷,纵膈偏移至健侧,腔静脉回流受阻,导致呼吸、循环功能障碍,极易危及患者生命。
案例介绍
患者吴某,女性,67岁,中等体型,因"胸闷、胸痛2小时"到急诊科就诊,在家属的陪同下步行来院,精神状态差。既往体健,自诉当晚因轻微胸闷在小诊所做了背部的针灸治疗,做完后回家休息,自觉胸闷情况加重,气促,呼吸困难。

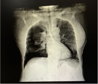
测量血压189/96mmHg,脉搏96次/分,呼吸25次/分,体温37.0摄氏度,血氧饱和度98%,听诊双肺呼吸音减弱,床边心电图未见明显改变,紧急行胸部CT平扫检查。
胸部CT结果回报为危急值,提示:
1、双侧气胸:右肺组织压缩约70%-80%,左肺组织压缩50-55%;
2、双肺多发病灶,考虑肺部感染。
予降压、抗感染治疗,并紧急请胸心外科医生行床边胸腔闭式引流术。分别在左右两侧前胸壁锁骨中线第2肋间隙置胸腔闭式引流管,引流出大量气体。
次日复查X光片,提示:
1、双侧气胸术后:右下胸腔肺野透亮度增高,待排少量气胸残留。
2、考虑双肺散在炎症。
后转入呼吸科进一步治疗,双侧肺组织复张,五天后成功拔除胸腔闭式引流管,现康复出院。
案例分析与应对
1、为何不当的针灸会致气胸?
针灸在中医治疗上被临床广泛应用,正确的针灸方法及部位是不会导致气胸的。但是错误的针刺深度和方向,针刺手法不当或针刺时体位的改变,可能会造成气胸。
肺与胸壁紧密接触,在胸壁上穿刺时,过深或错误的角度,会穿透胸壁刺伤肺组织,且如果针刺的提插捻转手法不当或患者的体位改变,刺针进入胸腔后,改变了方向或在肺表面移动,容易将肺划破。肺内空气逸出到胸膜腔,原本负压状态的胸膜腔转为正压,即成气胸。
另外,针灸也存在个体差异,肌肉菲薄或体质孱弱者比肌肉丰厚或体质强壮者发生气胸的概率高,有肺心病的患者比无肺心病者发生气胸的概率高。
2、患者气胸为何种类型?
该患者在行背部针灸至到急诊科就诊的两三个小时中,呼吸困难及胸痛的症状不断加重,血氧饱和度下降至90%,意识越来越烦躁。
结合CT双肺大量气胸的结果,医生动态评估,判定其肺部的裂口可能与胸膜腔相通,形成活瓣,仍在不断进气,积气越来越多,诊断为张力性气胸,情况非常紧急,需迅速排气解压。
张力性气胸常见于较大肺泡的破裂或较大较深的肺裂伤或支气管破裂,其裂口与胸腔相通,且形成活瓣。 吸气时空气从裂口进入胸腔内,而呼气时活瓣关闭,气体不能排出。
胸腔内积气不断增多,压力逐步升高,大于大气压,压迫肺组织使之逐渐萎陷,并将纵隔推向健侧,产生呼吸和循环功能的严重障碍。
患者通常表现为严重或极度呼吸困难、烦躁不安、意识障碍、发绀、大汗淋漓,甚至休克昏迷。

3、张力性气胸的处理
张力性气胸应紧急抢救,迅速排气减压,紧急状态下可在患侧锁骨中线与第2肋间连线处,用粗针头排气减压,在针柄处接小口塑料袋、气球等,形成单向活瓣装置,使胸腔内气体易于排出,外界气体不能进入。

胸腔闭式引流术是最常用的治疗方法,疗效可靠,能引流胸膜腔内积气、血液和渗液,重建胸膜腔内负压,保持纵膈的正常位置,促进肺复张。
经验分享
1、针灸的注意事项
治疗室内保持清洁安静、温湿度适宜。
针灸前做好患者的思想工作,以解除各种紧张情绪和顾虑,安排好舒适体位,勿乱翻动。
检查针具,采用正确的进针方法,注意进针角度和深度,进针时手法不宜过快过猛。
患者在饥饿、疲劳、精神紧张的时候不宜进针,体弱者不宜进针。针灸过程中要密切观察患者的反应,有异常情况立即停止。
患者的胸背部不宜直刺或深刺,皮肤有感染、溃疡、肿瘤、出血倾向及高度水肿的患者,都不宜针刺。
留针时应记录针数,出针时仔细核对,不能遗漏。
指导患者针刺后勿马上洗澡,避免感染。
2、如何鉴别各类气胸
气胸分闭合性、开放性及张力性气胸。
闭合性气胸指空气通过胸壁或肺的伤道进入胸膜腔后,伤道立即闭合,气体不再进入胸膜腔,胸腔内负压被抵消,但胸膜腔内压仍低于大气压,使肺部分萎缩、有效气体交换面积减少。
开放性气胸指胸膜腔通过胸壁伤口或软组织缺损处与外界大气相通,外界空气可随呼吸自由进出胸膜腔,空气的进出量与胸壁伤口大小密切相关。
张力性气胸,由气管、支气管或肺损伤裂口与胸膜腔相通,且形成活瓣,吸气时气体进入,呼气时裂口关闭,气体不能排出,积气不断增多,胸膜内压力不断升高,高于大气压,肺可完全萎陷,气管和心影偏移至健侧,极易危及患者生命。
较常见为闭合性和开放性气胸,而张力性气胸相对少见,但相对前两者更为严重。
作者简介
文章作者:谢梓歆
作者单位:惠州市中心人民医院
封面图由璧山区人民医院胡悦建提供,图文无关