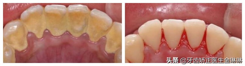
牙结石可能很多人都知道,就是口内坚硬如石头一样的的东西,扣不掉,刷牙也去不掉,只能到医院洗牙专业去除。通常来说,大家张开嘴,在下牙内侧牙根与牙龈交接处就能看到。不过,除了这个位置,牙齿缝里也经常有。

牙齿缝里长结石怎么办
牙齿缝里的结石能洗牙去除吗?毕竟位置比较隐藏,不少朋友担心洗牙无法去除。而其实大家的担心是多余的,洗牙是能把牙缝之间的牙结石去除的。
洗牙是使用超声波器械高频振动的工作头击碎牙结石,然后冲洗干净,其实工作头是不用直接接触牙齿和牙龈的,因此,洗牙也不会对口腔组织产生什么危害,可以安全、放心进行,而且建议每年1-2次比较好。

需要注意的是:
牙齿缝里牙结石过多,等到清除干净后,牙齿和牙齿之间的牙缝会变大,主要是因为之前被牙结石给堵上了,根本看不到,把牙结石去除后,就有种开门见山的感觉。
正是由于牙缝变大,部分牙齿牙根都露出来了,这在洗牙过程中可能有酸痛的感觉,这是正常的,而且在洗牙后可能也会持续一段时间,主要是因为长期没见天日牙根对外界的冷热等各种刺激都会“好奇”,所以才有这种牙齿敏感的情况。

洗牙后如果是牙根暴露严重,牙龈上牙结石过多,需要考虑是否在洗牙后需要继续清除牙龈下的牙结石,如果有牙周炎,只有把牙龈下的牙结石都去除了,牙龈萎缩才会慢慢好转。诺尔漫齿科在看诊定价收费上一直按照物价标准定价以及坚持透明化收费,所有费用一目了然,不存在隐形消费,患者只花该花的钱,看牙就诊更明细清楚。
关注我了解牙齿各方面知识,有什么疑问欢迎评论和私信!祝大家有一口健康整齐、靓白美观的好牙。