#医生笔记##癌症#
非常病例——一年轻女患者,突然诊断晚期肝癌后的治疗和经验教训
Uncommon case: lessons from young female patient with advanced liver cancer
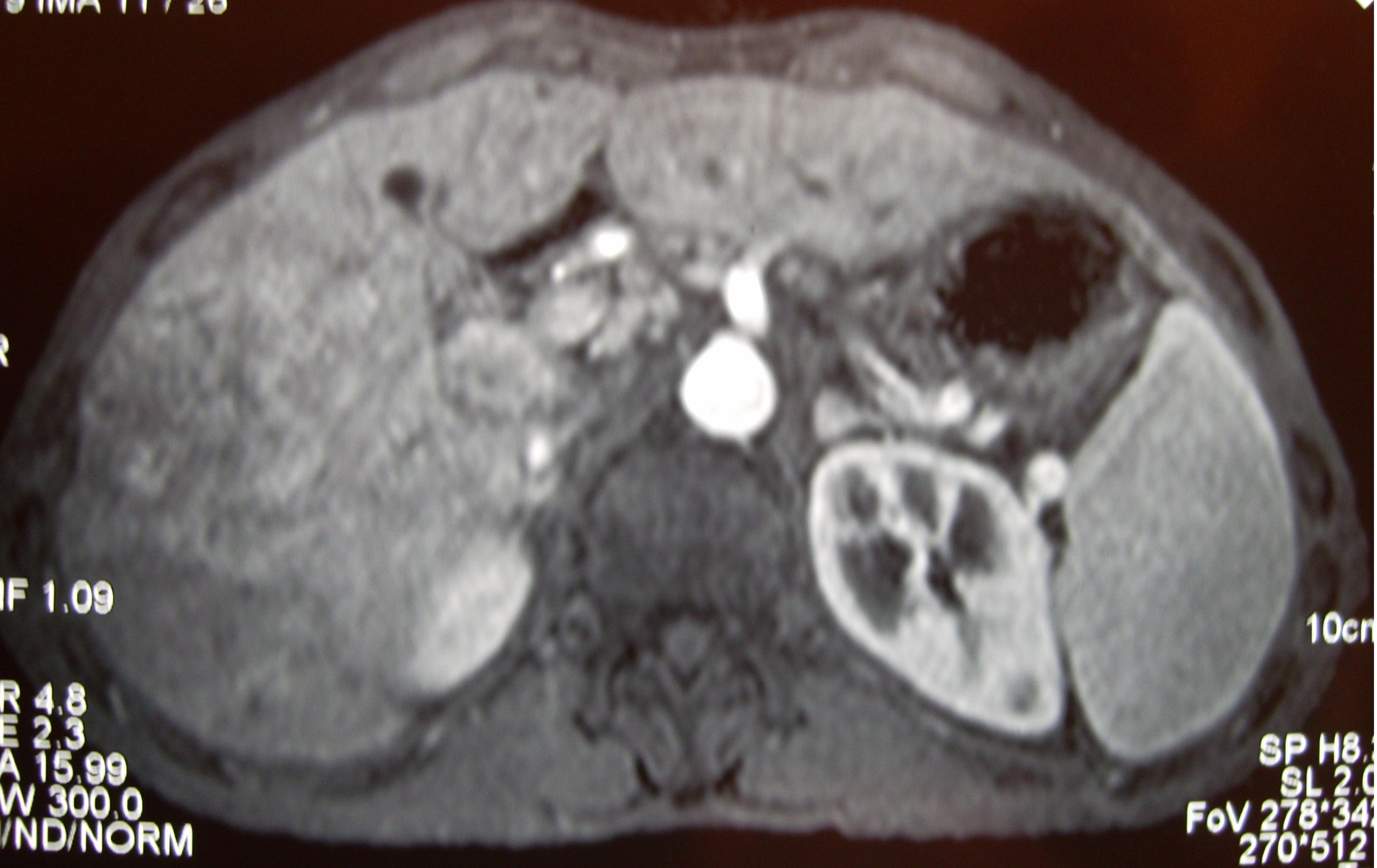
病因介绍:24岁女性,因大便性状改变、反复右上腹疼痛不适于2001年4月到医院就诊。上腹部增强磁共振发现左右肝弥漫性肿块,边界不清楚,在动脉晚期呈现不均匀强化,肝脏表面多发节结,不光滑,并且有脾肿大。血清甲种胎儿球蛋白超过1200ng/mL,血清铁蛋白626.50ng/mL,均明显升高。肝肿块穿刺活检结果为原发性肝细胞肝癌。诊断结果:原发性肝癌IIIb期,pT4N0M0,肝硬化,脾肿大,肝功能Child B级。
治疗过程:确诊后第2天进行经导管动脉化学栓塞治疗,也叫微创介入治疗。化学药物配伍方案为氟尿嘧啶脱氧核苷和羟基喜树碱,栓塞材料为无水乙醇和碘化油混悬液。治疗后2小时有恶心,无呕吐,肝区胀痛,给予颅痛定120毫克肌肉注射,15分钟后入睡。第2天早晨6点体温38.2摄氏度,采用物理降温,20小时后温度恢复正常。治疗后第4天出院,回家口服芦笋精胶囊,每天3次每次2粒,谷胱甘肽每天3次每次400毫克。1月后复查,肝内肿瘤范围明显减小,肿瘤组织里面由明显碘化油沉积。患者行动自如,KPS评分100分。3月后复查肿瘤范围进一步减小,按照原方案做了第2次微创介入治疗,以巩固疗效。患者酷爱吃火锅,虽然医生反复告诫其危险性,半年后的一天,患者独自一人去吃了一次,几小时后突然发生上消化道大出血,呕吐鲜血和血凝块1000多毫升,很快发生休克和昏迷,急诊抢救无效而死亡。

影像学检查发现左右肝弥漫性肿块
注意事项:弥漫型晚期肝癌,许多患者和家属选择放弃治疗,听其自然,或者单纯止痛处理,因此患者生存期一般为2到3个月,而且生活质量很差。解热镇痛类药物,比如布洛芬、消炎痛等,有损害胃黏膜、肝功能、肾功能,抗凝血等副作用,长期大量使用,会诱发胃肠道溃疡,引起消化道出血。麻醉性镇痛药,无论是阿片生物碱类还是人工合成类,比如*啡吗**和杜冷丁等,都有一些严重的副作用,包括依赖性、眩晕、呕吐、便秘、抑制呼吸、血压下降、排尿困难、急性中毒等等。依赖性导致用药的剂量和频率增加,止痛效果越来越差,加大剂量后患者处于昏睡状态,一旦醒来又会呼痛不已,生活质量很低。长期使用还会引起精神和情绪变化,比如抑郁、紧张、恐惧、焦虑、绝望等,甚至出现自杀倾向。另外,止痛药具有抑制免疫力的作用,特别是细胞免疫,疼痛加重使免疫力进一步降低,肿瘤在对抗性减小的环境中容易进展。介入治疗具有微创、住院时间短、对患者身心打击小和疗效明确的特点。病人出院后生活完全自理,复查显示肿瘤范围减小,帶瘤生存的生活质量很高。患者合并有肝硬化、门静脉高压,上消化道大出血的风险很高,四川火锅又辣又烫,对食管和胃底粘膜造成强烈刺激和腐蚀,致使曲张的静脉破裂出血,引起周围循环衰竭,本来还可以延续的年轻生命就此终止,十分遗憾。

血管造影显示肿瘤组织在肝内弥漫分布
医生感悟:患者在经过两次介入治疗后,影像学复查肿瘤范围缩小,生活完全自理,没有疼痛症状,说明所选择治疗方案与纯粹姑息治疗比较有明显优势。患者发病时是医科大学2年级学生,来自某边远县城,出生时家庭经济条件较差,幼小的心灵受到一定压抑。后来抱养给经济条件很好,还开办了几家饮料厂的姨妈,从此受到宠爱和娇惯,养尊处优。刚刚考上大学,姨妈就给她买了一辆“宝马530”,一套3室1厅的住房。如果是在现在,一定会有众多的追求者。可是在那个年代,人们看问题的角度与现在有很大的差别。她是A型性格,待人接物很认真,又非常在意同学们每每投来的鄙夷的目光,越发感到孤僻,冷凄凄的一个人,不与同学们来往。她姓杨,有同学偶尔背后称她“洋美女”,联想到自己来自偏远地区,反而理解成“土丑女”,心理更加压抑。于是每天晚餐都去火锅店找刺激,天天吃,月月吃,整整吃了一年。当年的饮食卫生监管很松,火锅底料大都是反复使用,甚至有号称“百年老料”的火锅店。这样的汤料,难免含有较多的致癌物质,例如苯并芘、亚硝酸盐等。还有些商家,为了引诱吃客,使出一些更为猛烈的手段,比如在汤料中加入头痛粉、*粟罂**壳等,造成满街飘香,但有促进炎症、抑制免疫的害处。一些食材比如牛毛肚,使用的防腐剂福尔马林,已在1995年被世界卫生组织列为“可疑致癌物质”,到2004年被认定为“1类致癌物质”。压抑的心情又导致免疫力低下,容易患多种疾病。患者在入学时要经过反复体检,因此,正是上述诸多因素致使她在不长的时间里发展为晚期肝癌,因为我国典型的乙型肝炎、肝硬化、原发性肝细胞癌3部曲,需要20年左右甚至更长的时间才能完成。然而,患者最终的死亡原因,不是癌症本身,而是肝硬化、门静脉高压导致的食管胃底曲张静脉破裂出血后循环衰竭。降低门静脉高压最可靠的方法,也是一种介入治疗技术,叫做“经颈静脉肝内门腔静脉支架分流”,自1995年以来就已经在开展。但是,这个操作要在肝内经过肝静脉穿刺门静脉,而该患者是弥漫型肝癌,属于反指征,如果是结节型或者巨块型,还可以考虑。而肝胆外科医生也不推荐“门静脉奇静脉断流”手术治疗。因此,只能采取调节生活方式来预防出血。

非常病例——一个晚期肺癌患者,确诊后6年时间的治疗和生活经历