寄养在宠物店里的宠物生病,宠物店究竟该不该赔医药费呢?近日,杨女士向春城晚报-开屏新闻记者反映,称自己在春节期间将宠物狗寄养到一家宠物店里,在领回时发现自己的宠物狗状态极其反常,便立即送医,经医院诊断为感染肺炎、肺部严重水肿。
据了解,今年2月8日,杨女士和宠物店达成寄养口头协议,店主称,寄养期间,他将每天喂食、遛狗,若有感冒、拉肚子等疾病将进行简单治疗,但若宠物因脑梗、先天性心脏病等疾病暴毙则概不负责,一天寄养费用是80元,共寄养10天。
寄养期间,店主在2月8日至14日期间每天发一条视频反馈遛狗情况,但2月15日并未反馈,至2月16日反馈称有球虫,2月17日反馈称狗“这两天胃口不好、肠胃不好”,至18日语音通话告知“好像感冒了”。在领回时,杨女士发现宠物狗状态极其反常,遂立即送医,经医院诊断为感染肺炎、肺部严重水肿。

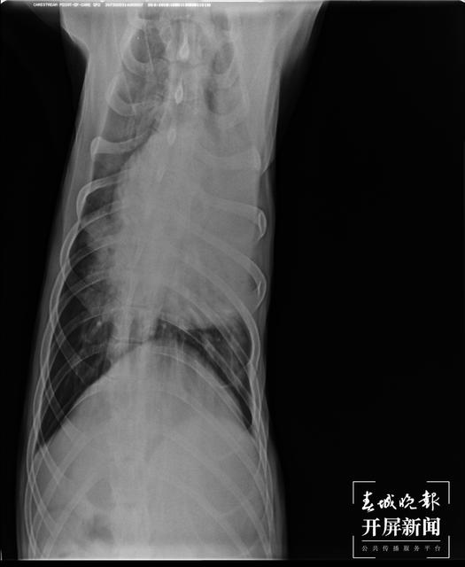
2月19日,CT显示肺部水肿严重。(受访者供图)

2月22日,CT显示心脏肿大。(受访者供图)
杨女士自述,她于2月21日前往与店主协商,店主态度恶劣拒不承认狗狗是在他店寄养期间感染生病。在与店家沟通无果后,杨女士进行了报警,在警察介入后店主表示他只能承担一半医药费,杨女士表示不能接受店主的态度和这个结果。杨女士告诉记者,狗狗之前受过伤,这次给狗狗治疗肺炎一共花了5500多元。
根据杨女士提供的电话,记者联系到了这家宠物店。宠物店的工作人员告诉记者:“宠物送来我们店里寄养,我们只负责喂食、遛狗等日常照看,狗狗生病、死亡等任何问题我们这边是不负责任的。”当记者询问想要联系到负责照看该狗的工作人员时,店员拒绝了,“我们也是做小本生意的,这个狗狗的主人很无理取闹,所有的情况她都知道,你们别来问我了,我也不会给你电话。”
【律师说法】
针对此事,记者联系云南上首律师事务所刘竹峥律师进行咨询。刘竹峥律师表示:从法律的角度来看,宠物寄养实则是个保管合同,即保管人保管寄存人交付的保管物,并返还该物的合同。宠物店收取寄养费并接纳宠物,即视为其已认可宠物被交付时的健康状态是可以维持的,在整个寄养期间,宠物店都应尽到看管和照料的义务,确保向宠物主人返还宠物时,宠物健康状态基本没有差异。因此,宠物店所称此事与他没有关系,这样的说法是没有事实和法律依据的,宠物店应当就此承担赔偿责任。
刘竹峥建议,无论是宠物店还是宠物主人,在进行寄养时都非常有必要签订书面的寄养协议,以明确双方的权利义务关系,对一些重大问题比如宠物在寄养期间发生意外、生病导致伤亡的责任承担等进行明确的书面约定。双方在寄养时对宠物进行体检,对宠物的基本情况加以登记,有特殊情况的更要在寄养协议中列明。同时,对违约责任、争议解决与处理等也要明确约定,避免产生纠纷后没有处理依据。
春城晚报-开屏新闻记者 马艺宁
责任编辑 猫恩泊
校对 朱咏梅 刘自学
编审 李荣