
广州中医药大学一附院微信订阅号【筋骨堂】专栏,逢周四推送!本栏文章由该院骨科专家名医亲自撰文或指导写作,内容涉及众多骨科常见病的科普讲解与防治建议,实用、权威!敬请关注!
关节置换治疗强直性脊柱炎
医学指导:三骨科主任 张庆文主任中医师
文/林天烨硕士、陈雷雷副主任医师
关节置换手术 是20世纪最伟大的医学发明之一,是治疗强直性脊柱炎累及髋膝关节的最有效治疗方法之一。很多强直性脊柱炎的患者,因为不了解或者一知半解该病、不知道什么时候需要手术治疗、害怕恐惧手术,使本该可以“活动自如”的患者被“强迫”的久卧床上。为此,本文以图文并茂的形式,就病友所关心的问题,详细科普一下关节置换治疗累及髋膝关节的强直性脊柱炎。
一
什么是强直性脊柱炎?
强直性脊柱炎(ankylosing spondylitis,AS)是一种以中轴关节和肌腱韧带骨附着点的慢性炎症为主的自身免疫性疾病,以炎性腰痛、肌腱端炎、外周关节炎和关节外表现为特点,主要累及中轴关节和外周关节等组织,表现为关节、关节囊、韧带和椎间盘等的骨化,椎间关节、肋椎关节和四肢关节等的炎症与增生。我国AS的总体患病率在0.3%左右,在各年龄均可发病,发病年龄集中在15-35岁间,平均发病年龄25岁左右,8岁以前和40岁以后发病少见。国内研究报道男性平均发病年龄小于女性。在性别上,AS发病以男性多见,男女患病比例约为9:1。其早期临床常见表现为腰背疼痛、晨僵、胸廓疼痛和外周受累关节疼痛;后期约1/3的AS患者最终会出现不同程度的髋关节病变,常伴有严重疼痛、肢体挛缩或者晚期髋关节畸形、步态和姿势不协调,直接影响患者生活自理能力、社会适应能力和就业工作等,所以在临床中应该高度重视强直性脊柱炎累计的髋膝关节病变。

图:强直性脊柱炎“受累”部位
二
如何治疗强直性脊柱炎?
AS病因未明,目前AS尚无根治方法,目前早期可以使用非药物或者药物治疗,晚期则需要手术治疗。非药物疗法:最大功能位姿势、坚持有效的功能锻炼、对疼痛关节或软组织给予必要的物理治疗、合理膳食等;药物疗法:合理、规律的使用非甾体抗炎药、柳氮磺吡啶、糖皮质激素、生物制剂等;早期治疗可以缓解疼痛和僵硬,控制或减轻炎症,保持良好的姿势,防止脊柱或关节变形,进而达到改善和提高患者生活质量的目的。后期AS髋膝关节受累时首选的治疗方法是关节置换术,它可以使关节疼痛得到有效地缓解,并能重新建立关节的生理结构,使关节的功能得到恢复与改善,显著提升了强直性脊柱炎病人的生活质量。

图:坚持有效的功能锻炼
三
什么时机需要行关节置换?
关节置换的手术时机至关重要。早期手术有利于降低手术风险及难度、尽早改善关节功能、提高患者生存质量、减少远期并发症的发生。关节置换治疗AS的适应症:1.髋膝关节强直、关节疼痛及活动受限、伴有结构破坏的X线征象;2.非手术治疗无效;3.评估患者身体可耐受手术创伤。术后康复重点在于提高肌肉力量、改善关节活动、控制疼痛、提高运动感觉的协调能力。提倡早期、积极的主动训练。

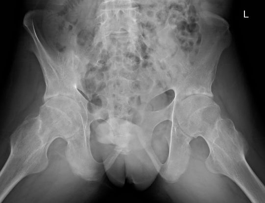
图:强直性脊柱炎伴轻度髋关节结构破坏改变
四
强直性脊柱炎患者会不会增加关节置换的手术风险?
强直性脊柱炎的患者累及髋膝关节的早期并不会增加关节置换的手术风险,随着病情的延长,AS累及髋关节畸形加重,肌肉废用性萎缩严重,使手术难度有不同程度的增大。由于关节置换手术技术成熟规范,总体比较安全,手术并发症发生率并不高。主要风险包括关节感染、下肢深静脉血栓形成,肺栓塞等,假体周围骨折等。
总之,关节置换是治疗强直性脊柱炎累及髋膝关节安全、有效的方法。早期手术有利于降低手术风险,让久卧病床的患友早日恢复关节功能。
附典型病例:

例1:21岁男性,AS患者,双髋关节疼痛伴活动受限4年
例1:行双髋关节置换后疼痛明显缓解,关节活动明显改善

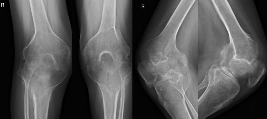
例2:29岁男性,AS患者,双髋、双膝关节疼痛伴活动受限6年

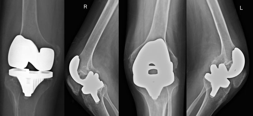
例2:行双髋、双膝关节置换后疼痛明显缓解、恢复行走功能
专家简介

张庆文,主任中医师,硕士生导师。广州中医药大学第一附属医院三骨科(关节专科)、全国中医髋关节病重点专科主任。
擅长:师从我国著名中西医结合治疗髋关节病专家袁浩、何伟教授,从事骨伤科临床医疗、教学、科研工作20余年。对股骨头坏死、发育性髋关节发育不良、发育性髋关节脱位、膝关节骨性关节炎、类风湿性关节炎、强直性脊柱炎等髋、膝关节疾病以及肩、髋、膝、踝等关节运动损伤具有丰富的中西医结合临床经验。临床工作中注重中医药治疗在关节外科中的应用,对早中期关节病变,通过中医药为主的非手术治疗,消除或缓解症状,控制疾病进展,对晚期关节病变,手术治疗同时,配合中医药治疗,减少手术并发症,加快术后康复。熟练掌握各类保髋手术、人工关节置手术、微创关节镜手术,手术技术全面,精益求精。
出诊时间:周二上午(门诊楼6楼2号诊室)、周四下午(门诊楼6楼7号诊室)
温馨提醒
请关注下方“广州中医药大学一附院”或“广州中医药大学第一附属医院” 公众号。关注后进入页面菜单栏“就诊助手”或“门诊服务”,搜索“医生姓名”即可挂号。

觉得不错,请点 好看↓↓↓
