肾积水,顾名思义,就是尿液从肾盂排出过程受阻,蓄积后导致肾盂内压增高,肾盂肾盏扩张,从而导致了肾实质萎缩,肾功能减退等一系列病理生理过程。

肾积水会导致肾皮质萎缩,继而影响肾功能

肾积水往往是因为泌尿系统的某些部位存在梗阻,比如狭窄、结石、肿瘤等因素
那我们简单了解下,人体泌尿系统的功能,是一个整体。正常情况下处于低压状态,能把尿液单向从肾脏经过输尿管,排到膀胱,然后在膀胱内由排尿反射(加上一定腹压)等复合机制,经过尿道排除体外。那也意味着,泌尿系统的任何部位出现任何原因导致的梗阻(外在压迫、内在堵塞、管壁疾病等),都有可能导致肾积水,甚至导致肾功能丧失。

人体泌尿系统主要有肾、输尿管、膀胱、尿道构成,形成尿液并经上述器官排除体外,维持机体内环境稳定
因此,对于我们平时发现 肾积水的时候,一定要引起重视。今天带大家一起深入了解肾积水这个疾病。
1、 什么情况会引起肾积水?
前文提及,任何引起泌尿系统梗阻的原因,都可能会导致肾积水;
常见的病因有以下一些情况:
1)尿路结石:肾、输尿管、膀胱、尿道结石,尤其是肾结石、输尿管结石最为常见;
2)泌尿系统肿瘤:肾、肾盂、输尿管、膀胱、前列腺、尿道、阴茎肿瘤均可能导致肾积水;
3)感染:尤其是反复上尿路感染(肾盂、输尿管炎症)、泌尿系结核、部分急性前列腺炎;
4)前列腺增生,这是部分老年男性发生双侧肾积水的常见的原因
5)先天性因素所导致的特发性肾积水:最常见的为肾盂输尿管连接部狭窄,也见于先天性巨输尿管、异位血管压迫、或是腔静脉后输尿管、输尿管开口囊肿等疾病
6)周围临近器官病变压迫:结直肠癌、子宫、卵巢或宫颈癌、腹膜后纤维化,导致输尿管受压,引起肾积水
7)妊娠:育龄妇女怀孕期间肾积水较为常见,主要是增大的子宫压迫所致,一般分娩后可自行缓解;
8)继发于泌尿系系统手术后:体外振波碎石、输尿管内窥镜操作后导致的输尿管狭窄等
2、 肾积水会引起人体什么不适呢?
因为尿路梗阻的部位、原因、梗阻的程度和持续时间不同,肾积水临床症状表现不尽相同:一般情况,肾积水起初没有任何症状,可能偶然情况下(常规体检)发现,或待发展到一定程度后,出现腰酸、腰痛、发热、血尿等症状。
不同的原因导致肾积水出现的症状有所不同:泌尿系统肿瘤所致肾积水,往往合并无痛性肉眼血尿等症状;泌尿系结石所导致的肾积水,常有腰酸腰痛,伴恶心、呕吐,甚至少尿、无尿等表现;而下尿路梗阻(前列腺增生、尿道狭窄、膀胱出口梗阻等)导致的肾积水,会合并尿频、尿急、尿痛、排尿困难,甚至尿潴留等表现。
如果我们平时发现腰腹部包块、腰痛、血尿、排尿困难、或是少尿、无尿等情况,务必及时前往医院就诊,明确原因。
3、发现肾积水应该如何做检查?
我们平时在门诊见的最多的情况是因为健康体检或是其他科室就诊查腹部B超时候发现的肾积水,1)腹部B超是我们筛查肾积水的首选方法,简单、无创;即使是孕妇、胎儿、甚至肾衰竭的患者也可以检查。

肾脏B超可清晰显示肾积水情况,明确有无结石,了解肾盂、肾盏等结构,简单、方便、无创
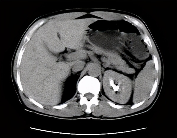
2)CT/CTU: 可以帮助诊断结石、泌尿系肿瘤、了解肾积水和肾实质萎缩情况,肾功能正常且需要进一步明确诊断的患者,是推荐的无创检查。

CT可更加清晰的了解肾脏、输尿管及周围组织脏器的情况
3)放射性核素肾显像(GFR):了解肾实质损害程度和明确分肾功能
4)膀胱镜或输尿管镜检查,可用于部分尿路梗阻患者,尤其是结石、肿瘤、输尿管狭窄等患者,可以明确诊断同时做相关的治疗。
5)实验室检查:主要是用于监测肾功能变化,比如血肌酐、肌酐清除率等;
另外还有一些检查手段,比如6)静脉尿路造影:对于肾功能减退、尤其是肾衰竭的患者慎用;该检查可以了解肾脏大小、形态、梗阻严重程度和梗阻侧肾功能情况;7)逆行尿路造影:如果上尿路梗阻,肾功能欠佳,为了解梗阻的部位和病变,可以做逆行造影。但是该检查需要通过膀胱镜或输尿管镜插管,增加患者痛苦同时又逆行感染风险,现在一般不采用。8)顺行肾盂尿路造影:需要经皮肾穿刺造瘘,可显示扩张的肾盂、肾盏病况以及输尿管梗阻部位及病况。
4、 肾积水怎么区分轻重呢?
平时我们常常会看到B超报告上写着,轻度肾积水、中度肾积水,或是重度肾积水,那我们该怎么判断肾积水轻重呢?
肾脏B超显示,肾盂分离<10mm为正常情况,部分人在憋尿情况下可能出现10-20mm左右的肾盂分离情况,可以在不憋尿时候在复查B超;如果B超仍然提示肾盂扩张≧10mm或存在肾盏扩张则称为肾积水。
⑴轻度肾积水:肾脏形态大小多无明显异常肾实质厚度及回声正常肾集合系统分离20-30mm;⑵中度肾积水:肾体积轻度增大、形态饱满、肾实质轻度变薄、肾柱显示不清晰,肾盂肾盏均有扩张,肾盂集合系统分离30-40mm;3)重度肾积水:肾脏体积增大、形态失常、肾实质显著变薄或不能显示,甚至整个肾区均为液性暗区。
5、 肾积水一定需要治疗吗?
肾积水是不是一定要治疗,跟积水程度确实有一定关系,但是需要综合判断 肾积水的原因、肾积水的程度、梗阻的部位,同时是否合并感染、是否引起肾功能减退等情况,还需要结合患者的全身情况来定。
原则上来讲,如果肾功能没有影响,那么尽量去除病因; 如果肾功能有影响了,那么想办法先解除梗阻,缓解肾积水同时尝试去除病因; 那如果是肾功能明显受到影响,导致肾衰竭,引起少尿、无尿等情况,需要立马引流积水(通过输尿管支架管、经皮肾穿刺造瘘引流等),挽救肾功能,再想办法去除病因。对于一些急性梗阻导致的肾积水,比如泌尿系统结石,急性尿潴留等,或是慢性肾积水急性加重等情况,需要先解决梗阻,再选择后续治疗。
另外,如果是轻度肾积水,没有任何症状, 建议定期复查随访观察,包括复查肾脏B超、肾功能等,不一定需要治疗。
6、 肾积水有哪些治疗手段呢?
肾积水的治疗,主要是缓解肾积水,保护肾功能以及针对病因治疗,所以肾积水的治疗关键是,明确病因、明确积水程度、部位以及肾功能是否有影响。
缓解肾积水,保护肾功能,针对上尿路梗阻导致的肾积水:1)输尿管支架置入术;2)经皮肾穿刺造瘘引流;3)输尿管皮肤造口等; 针对下尿路梗阻导致的肾积水:1)留置导尿管;2)膀胱穿刺造瘘等
针对病因的治疗:1)治疗泌尿系结石:体外振波碎石或输尿管钬激光碎石、经皮肾镜取石等; 2)泌尿系统肿瘤,针对肿瘤的治疗;针对原发肿瘤,比如结直肠肿瘤,宫颈癌等治疗,缓解压迫输尿管症状;3)泌尿系结核:抗结核治疗;4)输尿管狭窄:输尿管扩张、成型等等
对于重度肾积水导致的无功能肾(失功肾),可能会导致肾性高血压、继发性肾盂肾炎形成脓肾等,可考虑行无功能肾切除术。