N海都记者 江荷 通讯员 陈宇娟
清晨
小杰(化名)坐在饭桌前
捂着左边的腮帮子
眼泪珠子一颗一颗往下掉:“牙疼!”
小杰疼得连饭都吃不下
“怎么天天认真刷牙还牙疼?”
小杰爸爸满头雾水

“牙上长牙”
10岁的小杰从小就认真刷牙,牙齿一直健健康康,但前几天夜里,小杰突然嚷着牙齿疼,捂着左边腮帮子直掉眼泪,晚上疼得睡不着觉,早上疼得吃不下东西。小杰爸爸见状连忙带着孩子来到了省级机关医院口腔中心。
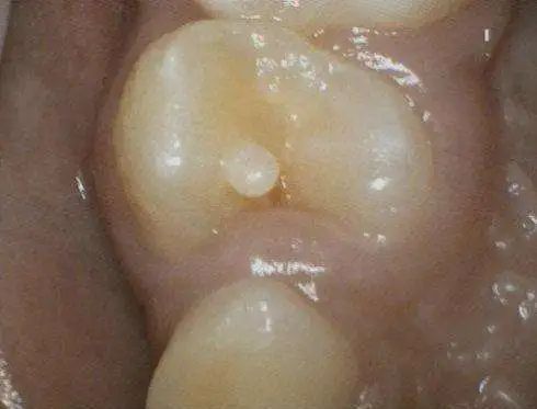
接诊的邵旭媛医生给小杰做了口腔检查后发现,在小杰左下后牙上有一处破损,而对称的右边牙齿上长了一个圆锥形的凸起,就仿佛牙齿上又长了一颗小牙齿。

(网络图)
“这是畸形中央尖,左边的畸形尖已经折断了。”邵医生进一步检查后发现,小杰左下后牙的牙髓已经感染发炎了,这才导致了牙疼。

(网络图)
邵医生对小杰左侧牙齿里的神经管进行了清理,把里面的坏死组织和脓液冲洗了出来,封上了药,还给右侧的“小牙齿”做了加固,小杰明显没有那么痛苦了。
长牙时就要注意
据邵医生介绍,少数人的牙齿上边会凸起一个圆锥形的牙尖,这就是“畸形中央尖”。这种“牙齿上又长小牙齿“的现象常常对称出现,属于一种先天性牙齿发育畸形,受遗传基因控制。

(网络图)
“这些小牙齿和正常的牙齿一样,里边有一根根小管子通向牙神经腔,这些小管子叫做‘牙本质小管‘,可以用来感受冷热、压力。有些人的‘小牙齿‘里还有牙髓组织。“

邵医生说,在牙釉质的保护下,这些牙本质小管和牙髓不会受到太大的刺激,但如果这些小牙齿断裂,牙本质小管和牙髓暴露在外,就会感染发炎,出现牙疼。

“目前还没有预防畸形中央尖的方法,但它引起的牙齿肿痛是可以避免的。“
邵医生建议,在孩子长出新牙后,应注意观察牙齿中间有没有长出“牙上牙“。一旦发现,应及时带孩子到医院进行加固,如果已经发生折断,应及时进行充填,避免发生感染。
编辑:小嫄