【基本信息】 男,37岁
【疾病类型】 前列腺癌、高危型、T4N2M0临床分期
【治疗医院】 湖南省肿瘤医院(三甲)
【治疗方案】 雄激素全阻断内分泌治疗方案(诺雷德针3.6mg,每月1次;康士得片50 mg,每天1次);腹腔镜下前列腺癌根治术、膀胱颈重建术以及淋巴结清扫术;输尿管镜下行金属内支架植入术
【治疗周期】 治疗周期67个月
【治疗效果】 麻醉下输尿管镜下行金属内支架植入术,1周后患者肾功能恢复。正在随访中。
一切的惋惜、感慨以及警示都要从一个兄弟说起。前列腺癌(PCa)是老年男性的常见肿瘤性疾病,但年龄低于40岁的患者可算是少之又少,但如今却恰好被我碰上了。
一、初识患者
老严,37岁,正值中年。生活幸福安康,无重大疾病。算是一个平凡却又幸福的一位中年男士。在此之前,他还经常和人约着去爬山、去钓鱼,生活过的也算清闲。
好几个月前,老严发现出门老是想要上厕所,但是呢有时又会有排尿不通畅的感觉。老严对此也不是很放在心上,觉得可能是因为自己水喝多了、或是太过急切了,对这个现象的担忧一闪而过,他殊不知定时*弹炸**在不断的倒计时中。就在一周前,伴随着一声“啊”的惊呼,*弹炸**“爆炸”了。老严他啊,血尿了。可是呢他踌躇,脸皮也有点薄,就这一纠结,纠结了将近1周,也血尿了一周。老严来到了我们医院,就这样我们见面了。
随着老严对自己的病情不断回想、描述。我的心理慢慢也有了个结论,一个或许对老严、对老严一家是一个噩耗。但一切还需要经过临床的筛选才能确切下定论。

二、患者的治疗过程
我们先让老严做了一个初步的前列腺特异抗原PSA和肛门的指诊。我们通过一个初步的指诊,摸到了一个包块,疑似前列腺癌。我们又给老严预约了一个核磁检查,他的影像学结果显示前列腺癌有肿块。
有前列腺5.2 cm×5.0 cm×4.0 cm大小,包膜欠光整,多个 1 cm结节 ,并向膀胱内突出2.5 cm。为进一步诊断老严的病况,老严完成了前列腺特异性抗原值的测量, 老严的PSA显示52g/L 。前列腺癌的最终诊断,是需要穿刺活检。对膀胱镜下前列腺尿道和颈口多点活检,病理结果显示确诊前列腺腺癌。

应用雄激素全阻断内分泌治疗方案(诺雷德针3.6mg,每月1次;康士得片50 mg,每天1次),治疗半年后对老严进行腹腔镜下前列腺癌根治术、膀胱颈重建术以及淋巴结清扫术,术中完整切除前列腺和膀胱颈,对于腹主动脉髂血管分叉水平以下淋巴结均作清扫,术后病理诊断。 治疗期间长期药物去势,坚持诺雷德和康士得方案。4年后,PSA升高,使用二线内分泌治疗(多西他赛加地塞米松方案)治疗。
期间,老严出现肾积水和肾功能不良,发现双侧输尿管中下段狭窄,考虑与放疗、手术疤痕以及病灶复发等导致的局部狭窄有关,予以留置双J管, 之后间隔6个月更换双J管 。但由于老严的输尿管梗阻导致肌酐过高,采用输尿管镜下行金属内支架植入术,1周后肾功能恢复。

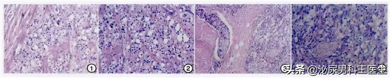
图1术前活检,肿瘤细胞浸润性生长,肿瘤细胞异型明显,可见核仁(HE,X200); 图2术后病理,肿瘤细胞呈小巢状浸润性生长,细胞异型明显,可见明显核仁,胞浆呈空泡状改变(HE,X400); 图3显微镜下见肿瘤细胞浸润性生长,可见脉管内癌栓(HE,X200); 图4显微镜下见肿瘤细胞异型,空泡状,核仁明显,可见肿瘤细胞侵犯神经(HE,X400)
三、患者的治疗效果
发病时PSA由52μg/L,在治疗前期降至并维持在 0.1-4.0μg/L 之间。在根治术后28个月再次复发,通过口服阿比特龙片坚持三个月,PSA降至正常,2个月后增服乙烯雌粉降低PSA。目前仍在定期随访中,需要老严定期复查。

四、患者在日常生活中的注意事项
在做完手术之后一定要进行血氧饱和度的监测,同时要做好呼吸道的护理工作,要定期的对局部进行换药,保持伤口的切口清洁卫生等。前列腺癌的护理措施通常在手术之后对饮食上的进行一定的调节,避免吃一些辛辣刺激性的食物,同时要保持引流管的通畅, 要避免术后出现感染的情况,也可以使用一些止疼的药物进行缓解 。前列腺癌通常属于一种恶性的疾病,如果治疗不及时可能会危害人的生命,会在做完手术之后一定要定期的进行复查。
五、患者年轻化
前列腺癌的年轻化,主要是由于个人的不良习惯以及环境所导致。一下几点是前列腺癌年轻化的主要原因:
1、长期生活或工作于被污染的环境,一些化学物质具有致癌的风险。
2、遗传因素
3、由于长时间的*坐静**以及熬夜,使得前列腺增生,并且防治不到位,使得前列腺感染
4、不良生活习惯。比如:不良*生活性**、抽烟、酗酒等

六、医生感悟
本例患者恶性程度高,已经丧失手术机会,但考虑患者年轻,手术对疾病的局部控制和临床分期有用,因此在内分泌治疗半年后实施手术和膀胱颈口重建以及淋巴结清一系列的积极治疗(放疗、内分泌治扫,之后进行了疗、中药治疗以及化疗等)。
前38个月内,患者肿 瘤有效控制,第39个月病情开始波动,配合二线内分泌和化疗基本控制,最终总生存期达到5年以上。因此认为综合治疗可能对千延迟疾病进展有效。

1、年轻PCa患者的首发症状最常见的为尿频、尿急、排尿不畅等下尿路症状,容易被误诊为前列腺炎,血尿、疼痛、射精异常等也可以成为年轻PCa的首发症状。 本例患者老严发病年龄37岁,初发症状即为血尿,待到确诊时PSA已经>50µg/L,膀胱颈口已有转移并且盆腔淋巴结多发转移 。很多人认为PSA筛查导致过度诊治,但是我们认为对于有下尿路症状或年龄>30岁的男性,PSA检查一定是早期诊断PCa的最好工具。
2、协同其家属学习相关的疾病知识及认知教育,指导患者家属向患者提供积极正向的信息与情感的支持,使患者得到家庭的充分支持,加强患者的治疗信心。鼓励患者说出自身的担忧,了解其心理压力消除负面情绪,注重患者心理情绪的渐进式改变。从细节入手,及时发现患者消极、悲观的情绪,消除患者的不良情绪,通过医务人员的努力和个人锻炼及家属的心理支持,最大限度的提高生活质量。
3、术后1个月,患者易发生尿*禁失**、肠道功能紊乱及术后性功能异常引起的生理功能下降而导致情绪低落,我采用了家庭走访、电话、微信等多种方式进行随访和心理指导,以便患者在出现心理问题时能得到及时的心理疏导,并帮助患者发展个人爱好,增强其心理信心。
4、我经常督促老严术后进行适当的体育运动,增强体质。很快,老严的肾功能就恢复了。