
在第10期北京大学肿瘤医院结直肠癌肝转移高级研修班上,来自国内的四个中心分别分享了各自的结直肠癌肝转移治疗病例。我们近期开始对四个病例进行展示,并邀请国内知名专家进行病例点评。本期病例分享单位为华中科技大学同济医学院附属协和医院肿瘤内科多学科诊疗(MDT)团队。
病例 简介
■ 基本信息
- 53岁男性;
-
2011年10月主诉:大便不成形半年,结肠镜发现结肠肿物一周;
-
肿瘤标记物:癌胚抗原(CEA)正常;
-
既往史、家族史无特殊;
- 体重指数(BMI):20.2kg/m2,ECOG评分:0分;
-
辅助检查:全结肠镜检查发现,升结肠近肝曲隆起溃疡型新生物,肠镜可通过;活检病理:升结肠腺癌。
-
辅助检查:2011.10.9:腹部CT:升结肠近肝曲肠管管壁不规则增厚,明显强化,管腔狭窄,最厚约25mm,邻近系膜淋巴结肿大强化,直径约15mm。胸部CT、盆腔CT未见其他远处转移。

■ 原发灶手术
-
治疗经过:手术治疗;
-
2011.10.13行右半结肠癌根治术;
-
术中见升结肠近肝曲一肿物,未突出肠腔,升结肠系膜内见多个肿大淋巴结;术中探查见肝脏左叶肝圆韧带附近见1枚1.0cm*1.5cm结节,并行手术切除;
-
升结肠中分化管状-绒毛状腺癌,侵及肠壁全层(pT3),伴肠系膜淋巴结(1/17)及送检肝脏切片上见癌转移;神经及脉管切片上未见明确浸润,结肠断端,回肠断端及阑尾未见癌累及;
-
KRAS基因检测:野生型。
-
2012.3-2014.10 随访近2年半,血CEA及影像学正常;
-
期间2013年6月PET-CT:正常。
■ 出现肝转移以及MDT讨论
-
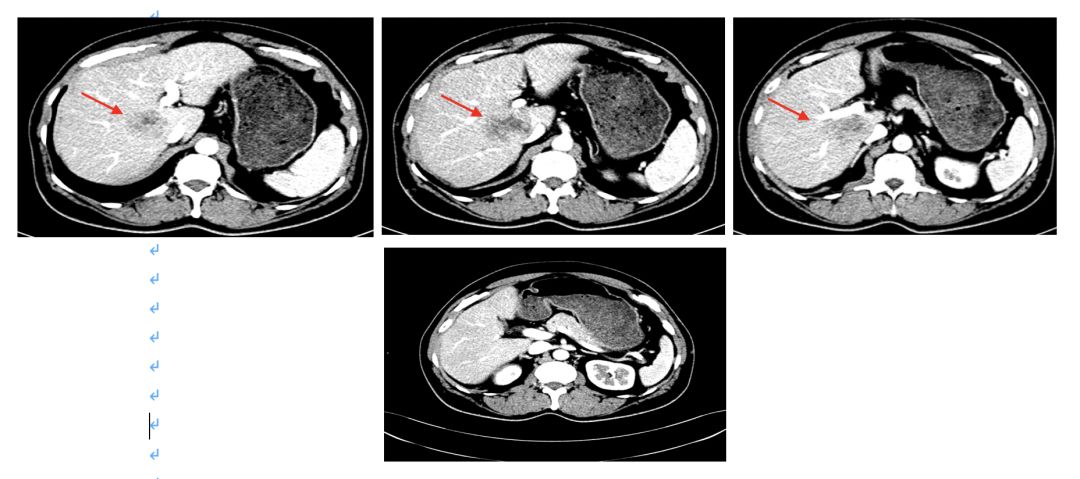
2015.1.22复查肝脏出现转移;
-
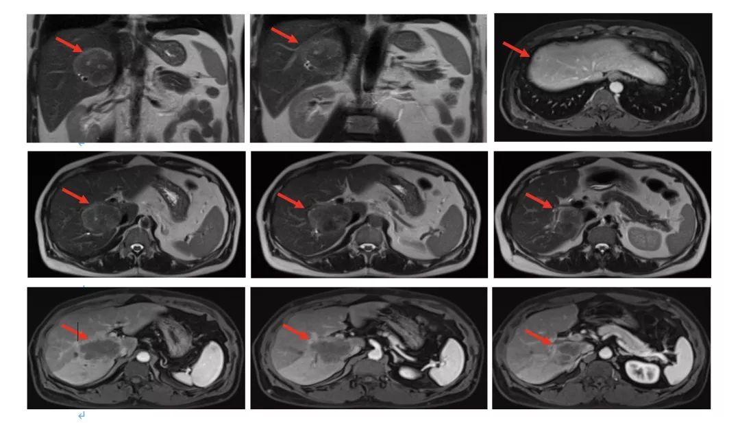
2015.1.22 肝脏MRI:肝右叶后段至尾叶肿块(大小4.9cm*5.9cm*5.4cm),肝右前叶近膈面0.9cm结节影,增强扫描边缘明显强化。
-
2015.1.22 CEA 859ug/L;
-
2015.1.23 胸盆腔CT:正常。
MDT讨论意见
-
结肠癌肝转移:潜在可切;
-
治疗目的:最大程度缩小肿瘤--转化治疗--无瘤状态(NED);
-
治疗方案选择:全RAS基因检测;强化全身化疗:两药联合靶向。
-
分子病理检测结果:KRAS、NRAS、BRAF野生型;
-
免疫组化:MLH1(+)、MSH2 (+)、MSH6(+)、PMS2(+)。
■ 肝转移治疗经过
-
2015年2月至3月期间行2周期FOLFIRI方案化疗;
-
后续行6周期“西妥昔单抗+FOLFIRI”方案治疗;
-
影像学评估 2015.4.7;
-
4周期评估肿瘤部分缩小;
-
2015.4.6 CEA下降至435ng/ml;
-
影像学评估:8周期化疗后,肝脏病灶缩小43%,疗效评价为部分缓解(PR)。

■ 第二次MDT讨论及肝脏手术
MDT讨论意见
-
肝脏病灶疗效评价为PR;
-
肝脏病灶争取局部治疗达到NED;
-
建议行肝脏转移灶手术治疗。
-
2015.6.16 行肝脏病灶手术+射频治疗,术中B超探查:6个病灶;
-
见肝脏表面见灰白色转移灶3枚,直径约0.5cm;
-
肝右后叶近肝门区可扪及质硬肿块约3cm,位于门静脉与腔静脉之间;
-
肝右叶近膈顶处及肝左叶肿块各一枚,大小约1cm;
-
射频消融三处:肝S8、S1及S2转移灶。
-
术后病理
-
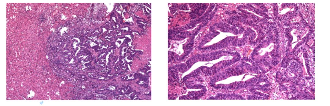
所送检肝脏切除组织切片报告:肝脏绒毛管状腺癌,结合临床及免疫表型符合转移性结肠癌;免疫组化:CK20(+)、CDX2(+)、Villin(+)、CK19(+)、CK7(-)。
-
术后: 4周期西妥昔单抗+FOLFIRI化疗;
-
2015.9 肝S8段病灶区域DT45Gy/15F放疗。
■ 随访及后续治疗
-
2015.10 开始随访;
-
2015.10、2016.1、2016.4、2016.7、2016.11,五次随访;
-
胸腹盆CT、血肿瘤标志物等均正常;
-
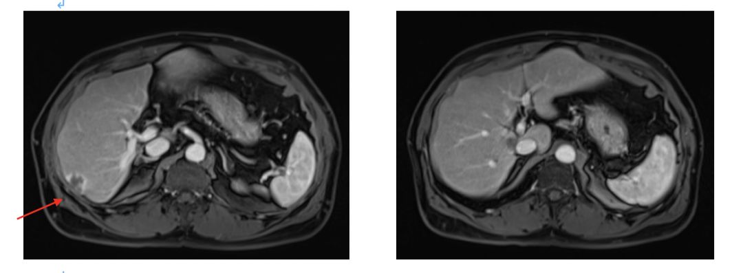
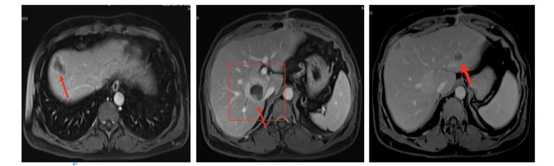
2016.4.28肝脏MRI:治疗后改变。
-
2017.6复查肝脏再次出现新病灶,右后叶包膜下边缘见2.2cm*1.4cm强化结节。

MDT讨论意见
-
肝脏病灶单发;
-
肝脏病灶争取局部治疗达到NED;
-
建议行肝脏转移灶手术治疗;
-
肝脏病灶手术治疗。
-
2017.6.6行腹腔粘连松解术+肝转移瘤切除术;
-
术后病理(肝右叶)绒毛管状腺癌,结合临床病史,符合结肠癌肝转移。
-
2017.7行肝转移灶术后瘤床放疗DT36Gy/6F;
-
2019.7.18复查MRI无异常。

■ 治疗小结

病例点评
■ 病例点评专家1

中山肿瘤结直肠外科陈功教授
由华中科技大学同济医学院附属协和医院提供的本例右半结直肠癌肝转移病例,尽管是2011年的,但在时隔8年后回顾,依然是一个很经典的能为肠癌患者带来长期生存获益的转化治疗病例。本病例处理中所折射出来,包括术后辅助治疗、多学科协作诊疗等治疗理念,尤为经典。治疗团队为一个肝转移患者,从基于全身治疗,到转化治疗,加之各种有效局部治疗手段的应用,为病人达到NED,从而追求患者最佳生存获益。这样经典的治疗理念,能在多年前就体现在患者的治疗中,反映了治疗团队先进的治疗理念和高超的临床处理策略。
事实上,最后病人的生存长达94个月,临床上可以说是治愈了,也体现出了临床治疗的价值。这种治疗策略体现的最基本的核心价值在于,在有效的全身治疗基础上,积极地开展局部治疗。通过达到NED,包括R0和无瘤的状态,积极地应用局部治疗,从而获得长期生存的结果。这种理念,我们从多年前到现在都在秉承和追求,事实也证明这是目前最好的治疗策略。
而且本病例最大的特色在于,在肝脏的局部处理的过程中,对手术、消融后的部分病灶,给于辅助性的放射治疗,从而进一步提高疗效。在2015年的时候提出这样的治疗理念,是非常新颖的。这个临床试验的设计,在今天看来是非常有特色的一点。
当然这一点也是最有争议,因为病人在2015年9月份和2017年6月份,分别做了两次肝脏局部毁损治疗。在手术或消融后,进行局部放疗,这种治疗手段可以进一步提高疗效。在2015年9月术后对肝脏S8段病灶区域进行放疗,我个人是非常赞同的。因为这个病灶从当时的位置看,在消融后,不一定能达到很好的R0或者NED状态,所以补充一下放疗,是很有道理的。
但同样的模式,2017年6月的病灶位于肝脏S6段,而且比较靠近边缘,从外科角度看,能够得到比较好的外科切缘的病灶,术后依然采用辅助放疗,这是争议比较大的一点。尽管是临床试验,但从实际的结果以及临床共识来看,对于能获得足够切缘的手术后部位使用术后放疗,似乎显得没有必要。但患者在治疗后并无复发,也很难评价此间的放疗是否有好处。不管如何,也提醒我们在临床设计的时候,有很多值得思考的地方。
总的来说,这个病例是非常经典的,其治疗的思路直到今天也可以指导我们更好地为类似的病人进行转化治疗。
■ 病例点评专家2

北京大学肿瘤医院肝胆外一科 王崑教授
这个病例有以下几个特点:异时性肠癌肝转移,原发位置在右半。虽然是异时性肝转移,但是由于肿瘤位置和大小,离第二肝门和第一肝门及下腔静脉都比较近,想达到R0切除比较困难。所以我同意他们的观点,归结为潜在可切除,需要比较强烈的转化治疗的方案。
这个病人是野生型的患者。现在争论比较大的就是用哪种转化方案。再来看这个病例的时间是2015年,当时对于左右半的争论及结论并不明确。当然到2018、2019年,大家不管是从美国国家综合癌症网络(NCCN)还是欧洲肿瘤内科学会(ESMO)指南,包括国内的中国临床肿瘤学会(CSCO)指南,都比较支持如果是右半野生型强力转化首选三药加贝伐珠单抗。那么这个病例是在2015年,那时候我觉得选择两药化疗联合西妥昔单抗治疗是没什么争议的。
恰恰从这个病例中我们可以看到,选用两药联合西妥昔单抗有很好的肿瘤控制,肿瘤退缩的效果。也使这个病人从潜在可切除达到NED的治疗目标,也就是说转化成功的病例。因此我们可以看到右半野生型转化治疗的过程中,两药联合西妥昔单抗也取得了非常不错的效果。虽然跟现在的指南推荐不一致,但也达到了争取NED的结果。另外协和医院的医生也给患者积极采取了NED的治疗,那么就是手术切除联合射频。
这个病例还有一个特点就是补了术后的局部立体定向放射治疗(SBRT)。当然这个病例争议点比较大,到底什么样的病人需要补充术后SBRT,实际上现在学术上还没有定论,这需要了解病例提供者当时的治疗情况,是不是觉得局部的切除不是很满意,跟血管距离比较近,相对的可能是R1切除才补了术后的放疗。如果是这样的话,我认为补充放疗没有问题,可以增强达到NED治疗的效果。当然,如果都是一个很标准的R0切除或者射频,是不是需要增加SBRT,我觉得这需要大家进一步的讨论。我也了解到协和医院的张涛主任打算做一个这种前期的临床研究,就是针对这种距离大血管比较近,不能满意的切除或射频的补充放疗。我也很期待他们能尽快得到这样的结果。
恰恰这个病人在2017年第一次肝转移切除不到两年,右肝再次出现了单发的转移灶,这是我们经常遇到的肠癌肝转移术后复发还是比较高的。那我们依旧没有放弃,再次根治切除,争取NED的机会,也再次做到了手术切除,病人也再次获得了一个很长时间的无瘤生存状态,一直到现在随访都没有问题。
唯一我有点疑问,为什么这次手术时,我们从片子上可以看到,是个比较靠近肝脏边缘的病灶,应该是很容易达到R0切除,很容易达到一个满意切除的范围,不知道他们是出于怎样的考虑再次做了术后的放疗。是否觉得这次手术切除不满意?还是处于其他考虑。
无论如何,经过积极的转化治疗,两次手术联合射频和放疗,取得了患者长期生存,特别是无瘤生存的状态,我觉得还是一个非常好的结果。也提醒我们,病人如果有争取NED的机会,积极创造转化治疗机会达到NED,即使术后有复发转移,也不要放弃再次争取NED的机会。这两点我们同行协和医院都做到了,因此从这个病例可以看到获得了很好的长期生存的机会。
当然这个病例也有一些值得商榷的地方:1.如果在2019年我们现在这个状态,是否仍然选择两药联合西妥昔单抗,还是需要选择三药联合贝伐珠单抗,大家可以发表各自的意见。2.什么样的情况下需要补充术后的SBRT放疗,是否所有的病人切除后所有的病灶都要补充,还是针对不满意的切除或射频,再补充局部的放疗。这是这个病例带给我们的两点需要讨论的地方。
科室简介

北京大学肿瘤医院肝胆外一科是国内最早开展结直肠癌肝转移研究的中心之一,在黄信孚教授及现任主任邢宝才教授的带领下,科室始终本着患者获益最大化的首要原则,把肝胆胰肿瘤综合诊疗理念与先进外科技术结合,积极对患者进行个体化、规范化、多学科综合治疗,在结直肠癌肝转移治疗方面积累了丰富经验,临床和科研水平居国内领先地位。年均完成肝切除约300例,胰腺切除近100例,胰十二指肠切除60例;结直肠癌肝转移手术超过100例,患者1、3、5年生存率分别达到89.2%、50.8%、38.6%,近5年未发生围术期重大并发症及死亡。
教你3招,找到“消失”的肝转移灶!丨消失病灶专题1
结直肠癌肝转移,如何预防新辅助化疗后肝转移灶“消失”?丨消失病灶专题2
新辅助化疗后,结直肠癌肝转移灶“消失”该如何处理?丨消失病灶专题3
术前化疗后结直肠癌肝转移灶“ 消失”要“盲切”吗?丨消失病灶专题4
同时性转移性直肠癌,无病生存近3年,他们是怎么做到的?| 病例分享
本文首发:北京大学肿瘤医院肝胆外一
责任编辑:Sharon
更多肿瘤资讯,看这里!
今日资讯要点提示
-
JAMA Oncol:转移性结直肠癌一线诱导治疗后,可优选氟嘧啶联合或不联合贝伐珠单抗维持治疗;
-
J Clin Oncol:与调强放疗相比,质子束疗法治疗局部晚期食管癌的总毒性负担较低、无进展生存相当;
-
J Clin Oncol:肿瘤堆积物是III期结肠癌患者无病生存的独立预后因素。
