#我的2022##生命摆渡人##2022重庆头条#
“医者人之司命,如大将提兵,必谋定而后战”。每一位患者的情况都是独一无二的,只有根据实际情况制定最适合患者的治疗方案才是真正为患者着想,这里面可能包含“拒绝”手术、与患者预期治疗方案不同,更可能与患者想法出现冲突,都是有可能的。但医生的每一个决定一定是从患者角度出发,为患者长远的身体健康考虑才做出的决定。
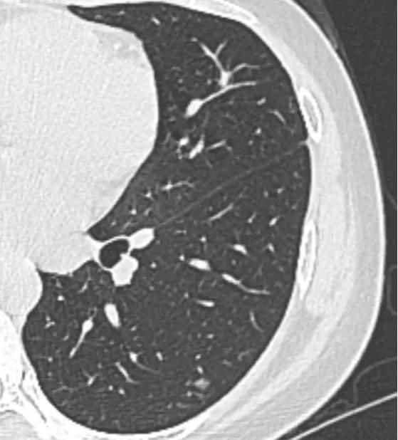
就像今天这位来自南昌的妹子,查出磨玻璃结节后焦虑不已,虽然在贴吧问诊的时候我已经详细地回复过,表示没事,可控可根治,但这没能让她安心,还是认为只有亲耳听到确切的诊断后才能放心,所以毅然加号来重庆面诊。根据她的报告和各种检查结果来看,我还是断定所有结节暂时都还是安全的,我表示还可以继续随访,半年到一年复查一次,说不定三五年都不会有事。
既然这次已经当面听过诊断了,下一次可以不用跑这么远过来了,太辛苦了,直接在当地拍片后在贴吧找我看片就可以了,只要盯住左边那个结节,没长大2-3mm就是安全的。谢谢您的信任。
以下转自患者留言:
2022-05-28
亲爱的戴主任,我是上周万幸得到您同意加号的婷子。此刻的我正在南昌去往重庆“心桥”见您的高铁上,马上就要到重庆了。好事多磨,提前一周预订去重庆的飞机,却因为航班临时取消时间不合适毅然改成了高铁。自从上星期您回复“没啥大不了,可控可根治,实在要来就加号吧!”这一行无比珍贵的字,它就像一束光照亮了我及家人绝望的心。在和家人介绍您的封神除“磨”,您的医者仁心,家人从刚开始的无比担心到后面义无反顾支持我去找您!在准备去新桥找您会诊的这段时间,除了做攻略、问医保,向学校请假、问重庆防疫政策,其他时间我比任何时候都更淡定,更珍惜当下。因为我知道有您在!
出发前我对还有两天满一岁半的女儿说:“妈妈要去见一位特别特别厉害特别特别伟大的爷爷,他会魔法,能把妈妈变成更强大的妈妈!你要乖乖在家等妈妈回来买果果!”她乖乖地回应了“好!” 从以往的帖子看到帖友说戴主任爱喝咖啡,因时间仓促,没有原图,找遍全帖用男神的照片定制了杯子,可定制了两次我都不满意,多番催促卖家重做还是因为快递延迟新杯子来不及去取件!只能先带第一个杯子去,希望主任能喜欢,主要还是希望您保重身体,只有您长命百岁,才能护我们安康。 我对赣大哥说,等周一见到主任,我不知道这么感性的我会不会哭,他说你一定会,如果可以,我想先给戴主任一个抱抱,逐希望之光去了,这是第二次去美丽的重庆,第一次是教师骨干培训,第二次是去见您,有您在,接下来肯定都是好消息。
2022-05-31
从发完帖子主任同意加号开始,心中预演过无数次见到主任后的场景,面诊前都在和爱人有条理的理了一遍要向主任请教的问题,结果,见到主任,支支吾吾像个患口吃的二愣子。从不追星的我终于能理解fans见爱豆的那种紧张感了 “主任,我是贴吧来的婷子,给您刻了一个杯子希望您喜欢!” “不用的!谢谢你,来看看你的片子!什么时候发现的结节?”,主任如沐春风又耐心的询问哪里看得出这是他面诊的临近下班的40号患者我。
“右边结节看着还好欸,好淡,安全的,介于非典型增生到原位之间,左边这个小的反而要留意下,介于原位到微浸润之间,大概率原位,小概率微浸润。半年到一年复查一次,盯住它就是安全的。心理压力大也可以选择切掉!” “主任那您看呢?现在有必要手术吗?我都听您的。”“要不再纠结纠结?盯住它,先回去吧!说不定三到五年都没事!”
一字一句,掷地有声。我想如果没有来重庆,没有见戴主任,迫于压力和焦虑我肯定已经做手术了。因为,没有一个医生可以给我这么肯定的答复!忍住了所有情绪厚脸皮向主任要了一个抱抱,向主任深深鞠了一个躬,“主任您一定保重身体,复查我还来找您!”“可以的!”主任温和回答到。
出了诊室再也没忍住抱着老公放声大哭,不害怕手术是假,心态调整得特别好也是假,虽然知道迟早得挨一刀,最起码不是现在,这一刻紧绷的神经放松了!世界可真美好!
动车已经慢慢驶出重庆了,再次引用17年离渝我朋友圈那段话,人生是不断地相识,离别又重逢,再见了美丽的重庆,伟大的戴主任, 因为有您这样伟大的守护神,重庆,不久又会再见的。主任,保重身体!因为昨天太紧张忘记问您,像右下肺这个8mm左右的结节,是不是可以理解为良性?截图感觉这个结节中间有实性白点有没有关系?再次谢谢您!!

