hello童鞋们
我是看人先看牙,懂牙更懂你的牙牙小编~

早上起来常常莫名其妙嘴里都是一口血刷个牙也要吐好多血泡子有时候啃点苹果嚼点肉也要出血...
什么是牙龈出血?

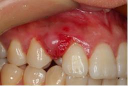
像这样子的,都是牙龈出血哦
牙龈出血是指各种原因引起的牙龈出血。症状轻点的,就是在吮吸、刷牙、嚼硬东西的时候唾液中带有血丝丝,严重的在牙龈受到轻微刺激的时候就要大量出血,甚至可能止都止不住。


牙龈出血是什么原因引起的?牙龈出血可能是局部因素或者全身因素(或疾病)造成的。不过不用担心,大部分的牙龈出血都是局部因素引起的,像全身疾病引起牙龈出血的还是占少数。 局部因素
— 1 —
菌斑、牙石
菌斑牙石的刺激是引起牙龈出血的主要原因,菌斑、牙石的堆积引发牙周组织炎症,如菌斑性牙龈炎、牙周炎等。
菌斑结石
平时察觉不到,但是用那种专门的菌斑染色剂就能显示出来的叫牙菌斑。牙菌斑用牙刷可以刷掉,但是一般八个小时又长起来了,所以一定要按时刷牙!
另外一种,就是肉眼都能看到,黄色或者黑色的紧贴在牙齿上面的硬邦邦的东西,就是牙结石。一般两天不刷牙就会形成牙结石,牙结石是用牙刷刷不掉的,用手指甲扣都扣不掉!
— 2 —
其他局部刺激因素及不良习惯
不良修复体、不良充填体、不良矫治器及张口呼吸等,这些局部因素同样能引发局部牙周组织炎症,如增生性龈炎、牙周炎等。不良修复体有些烤瓷牙表面上看起来光鲜亮丽,实际上因为不合适可能损伤你的牙龈,导致牙龈又红又肿,一碰就出血。

图片来源网络
张口呼吸长期张口呼吸,牙齿排列不齐,菌斑堆积,牙龈发炎,都可能引起牙龈红肿出血。 —3—
其他原因
如局部组织过敏、牙龈外伤及牙周手术等。
牙外伤
如果不小心牙齿受到外伤,牙龈被撕裂也会出血,这就要及时找口腔医生处理哦。
牙周手术
术后一周内牙龈会有少量的出血或口内有血丝,都是正常的术后反应。
全身因素

医生,全身因素怎么导致牙龈出血的?
—1—
内分泌的改变
青少年们和宝妈们要注意啦!在青春期、女性妊娠或哺乳期间,激素水平变化常常加重牙龈炎症,导致牙龈出血、牙龈增生、牙龈瘤等。
青春期龈炎: 青春期的小朋友,因为内分泌的改变,加上局部菌斑的刺激,就会出现明显炎症反应。妊娠期龈炎:处在妊娠期的宝妈们,体内激素的改变,局部轻微的刺激,牙龈就会出现明显的红肿出血,甚至出现妊娠性龈瘤。牙龈瘤:是在牙龈组织上长得像肿瘤的一类增生物,多数都是良性的,通常不癌变,但可能越长越大。主要采取手术切除的方式进行治疗。

图片来源网络 —2—
全身性疾病
全身疾病可以让机体免疫力下降、凝血功能出现障碍以及血管发生病变等等,这些变化导致牙周组织的抵抗力下降,诱发牙龈炎症,导致牙龈出血,例如血液系统疾病、糖尿病、心血管疾病、肝肾功能异常、肿瘤患者都更容易发生牙龈出血。

—3—
特殊药物的服用
有的牙周炎患者,同时还患有其他的疾病比如心脏病、高血压、糖尿病等,服用阿司匹林、华法林、硫酸氢氯吡格雷片抗血栓等抗凝血药物,可能产生凝血功能异常,导致牙龈出血加重。
—4—
其他原因
如吸烟、精神压力大、作息紊乱等。
咬水果、啃排骨出血,早上起来刷牙出血,莫名其妙出血的朋友们,敲黑板了哈!

牙龈出血怎么办?
1急性牙龈出血,就是牙龈突然出血止不住了,赶紧拿块干净纱布压到出血部位,然后及时去找医生处理。

2如果是慢性长期的牙龈出血,很有可能是牙齿没有清洁到位,牙齿缝缝儿没有清理干净,那就要去找口腔医生给你评估一下,看看是不是该来个洁牙之类的口腔全面清洁。

3对于可能是全身疾病引发的牙龈出血,就要及时排查,首先治疗全身疾病,同时采取相应的口腔治疗。4控制菌斑,培养良好的口腔卫生习惯,包括正确刷牙,牙线、牙签的合理使用,定期的牙周检查及牙周支持治疗。
①按时刷牙,使用正确的方法-巴氏刷牙法,正确使用电动牙刷②辅助使用牙线、牙缝刷以及冲牙器(水牙线)清洁牙齿邻面菌斑③养成健康的生活习惯,例如戒烟、多吃水果蔬菜、适量运动强身健体
小提示:为了你的健康,牙龈出血一定要及时到医院检查哦!