#1 头颈淋巴引流
昨日,我的硕士小范的小文章发表了。小范同学收集了105例慢性硬膜下血肿患者以及等数量的相对健康人的血常规,发现无论是慢性硬膜下血肿患者还是健康人,其代表炎性指标的白细胞计数、中性粒细胞计数、中性粒细胞百分比、中性粒细胞-淋巴细胞数量比和血小板-淋巴细胞数量比均在正常值范围内。
但与健康人相比,慢性硬膜下血肿患者的这些炎性指标却明显增高。而健康人的淋巴细胞绝对数和淋巴细胞比例却比慢性硬膜下血肿更高。这些患者治愈后,其白细胞计数、中性粒细胞计数及其中性粒细胞比例较治疗前明显下降,但单核细胞则增高。
虽然这篇文章仅发表在一个小期刊,但却再次澄清了我的长期困惑:我们人体构造和功能配置精妙,身上如果存在血肿,要么发烧,要么血象异常。为什么独独位于颅内的硬膜下血肿即使高达100ml也不露一点痕迹呢?受到Kipnis和Alitalo确认哺乳动物硬脑膜存在淋巴管的论著启发,我猜想硬膜下血肿吸收的主要途径不是血循环而是硬脑膜淋巴管。
2020年,我的另一位学生小刘在动物试验上成功验证。而小范则从临床上验证了我的想法,为我提出加强头颈淋巴引流促进硬膜下血肿吸收的理论假说提供了又一个支撑材料。可喜可贺。
#2 超老年慢性硬膜下血肿
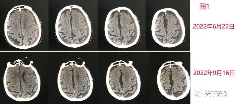
昨日会诊一位超老年硬膜下血肿患者。老人家在今年6月份住院检查时发现了左侧硬膜下血肿。因高龄98岁,走路都颤颤巍巍,因此,没有人敢给他做手术。但老人自然脑萎缩,这点血肿完全没有中线移位。我就给他口服立普妥。
昨天老人因为其他疾病又请我会诊,也因此才复查了头CT,结果我和放射科主任一起诊断:血肿已经完全吸收(图1)。这为他汀单药治疗慢性硬膜下血肿有效添了新证据。
现在90岁以上老人家越来越多,他们得了硬膜下血肿,通常不愿接受手术。有些老人家的家属甚至说,如果没有药物治疗,我们就不治疗……
这种拒绝手术的心态,如果来源于老人,或许是因为恐惧;如果来源于家人,则或许是因为对老人预期生命的不看好?实际上,我们的他汀疗法,对这类患者有神奇疗效。

图1
#3 慢性硬膜下积液
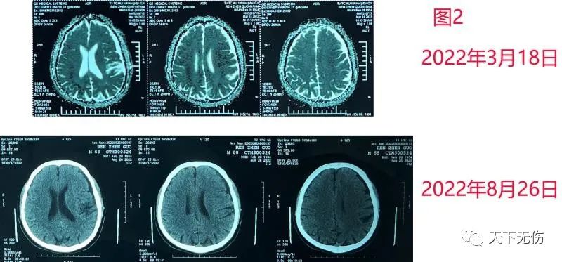
昨天还见到一例2年前因外伤性硬膜下血肿在外院做了手术的患者。他今年3月找我诊疗时,是担心他血肿部位遗留的硬膜下积液。然后也要求口服立普妥,但是,现在过去半年,他的积液部分并没有改变(图2)。当然,该男子也没有任何症状体征,可以无需治疗。
我一直主张,慢性硬膜下积液患者并不同于慢性硬膜下血肿患者,他汀治疗对它无效。幸运的是,多数慢性硬膜下积液患者并没有症状,千万不要轻易做手术。

图2
专家介绍

江荣才 教授

