牙齿表面黄黄的一层软垢,轻轻一刮就可以刮掉。可是牙结石也是黄黄的为什么刮不掉?
牙垢和牙结石有什么区别?
牙垢
牙垢形成的时间比较短,主要是由食物的碎末以及唾液的黏液素以及细菌等组成的,一般附着在牙齿表面、牙齿缝隙以及牙龈缘,颜色通常为黄色或灰白色,质地比较软。
清理办法: 可以通过刷牙以及牙线或者牙间隙刷进行正确的刷洗即可清理。

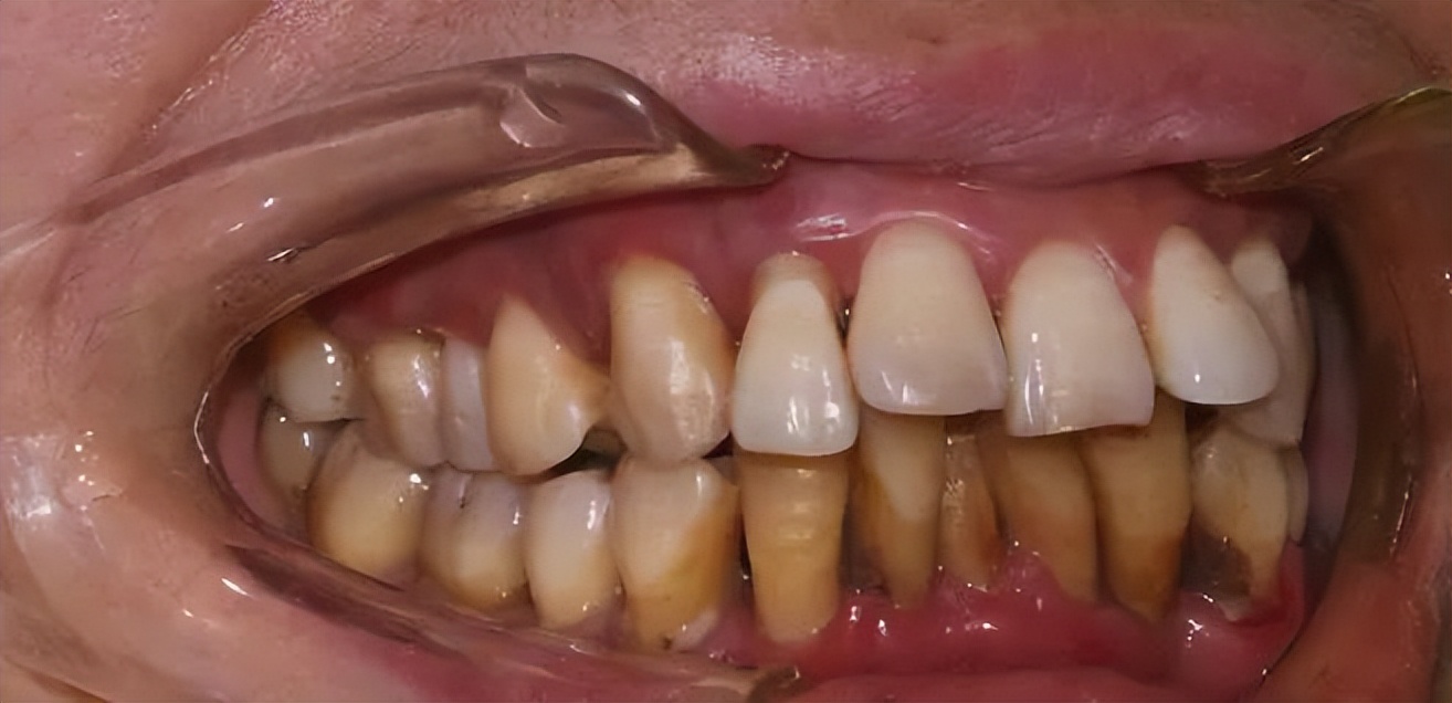
牙结石
牙结石形成时间比较长,主要是由所吃的食物残渣软垢附着在牙齿上,堆积在牙龈沟内,没有及时刷牙清理干净,长期沉积矿化后形成的。牙结石一般附着在牙龈沟内,通常为黄色、褐色、黄白色,质地比较坚硬。
清理办法: 无法通过刷牙进行有效清理,需要到正规的口腔医院进行超声波洁治,清理掉牙结石。

牙垢和牙结石不清理的话,后果很严重!
其实牙垢和牙结石之间虽不相同,但是长时间堆积在口内,不进行清理的话,反复刺激牙龈,引起牙龈红肿出血、发炎的话,容易引起牙周疾病的发生,从而导致牙齿出现松动脱落。
因此,不想牙齿过早脱落的话,建议一定要定期对牙垢以及牙结石进行清理干净!
