
林女士近3个月来常感右侧髋部酸胀、疼痛不适,伴右下肢酸痛、乏力不适,症状逐渐加重。经保守止痛治疗无明显缓解,随后就诊上级医院,CT检查发现原来右侧髂骨巨大肿瘤,经穿刺活检病理考虑为子宫内膜间质肉瘤或者其它小细胞恶性肿瘤。原来林女士10年前曾因子宫内膜间质肉瘤行子宫切除,术后5年定期随访复诊一直稳定,没想到直到10年后还出现骨转移!中晚期宫颈癌治疗后进展怎么办?

骨转移是实体肿瘤第三常见的转移部位,仅次于肺、肝。乳腺癌、前列腺癌、肺癌、肾癌、甲状腺癌常累及中轴骨(脊柱、骨盆、肋骨和颅骨),亦可波及股骨和肱骨。

常见肿瘤骨转移发生率
骨转移瘤导致的临床症状表现和体征多样,包括顽固性剧烈疼痛、病理性骨折、高钙血症、脊髓压迫,甚至截瘫等等。这些患者的生存率差异较大,如乳腺癌和前列腺癌,经积极治疗可以生存较多年!因此,对骨转移瘤患者来说,想获得长期生存及较好的生活质量,及时和适当处理尤其重要!

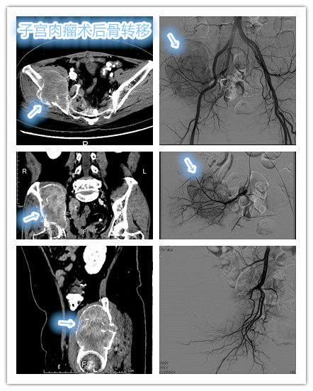
骨盆由左、右髋骨和骶、尾骨以及其间的骨连接构成,而髋骨又由髂骨、坐骨及耻骨连接组成。骨盆转移常累及骶髂关节、髋关节,导致活动受限、疼痛,骨转移瘤增大后侵犯肌肉软组织,侵犯、压迫邻近神经、动静脉,可导致顽固性盆腔及下肢疼痛,下肢深静脉血栓形成等严重并发症,不仅严重影响生活质量,亦对后续治疗产生严重负面影响!

骨盆组成
对于骨转移瘤,临床常用治疗方法如唑来膦酸抑制肿瘤骨破坏,放射性核素治疗,姑息性外放疗及骨科姑息手术切除等等,具体采用何种治疗方式,需依据病灶累及程度范围、患者一般耐受状况、预计生存时间及治疗意愿等情况综合判定。

而介入科多项常用微创治疗手段亦可快速、有效控制骨转移瘤,如局部动脉化疗栓塞、灌注化疗,放射性粒子植入,局部消融(射频/微波/冷冻),骨水泥注射治疗等等。

林女士最终转诊至介入科,@介入微创刘大夫团队为患者制定个体化综合介入治疗方案:局部区域动脉化疗栓塞+局部射频消融治疗。#非常病例##关注她健康##头条健康#
前期先行局部区域动脉化疗栓塞治疗,局部动脉化疗栓塞杀灭、控制肿瘤,同时肿瘤血供短时间内明显减少,为后续局部消融穿刺减低穿刺出血风险及提高消融效率。

骨转移瘤局部动脉化疗栓塞
经介入栓塞后局部肿瘤已出现缺血、坏死,后期通过局部多部位、大范围射频消融,快速毁损肿瘤病灶,术后疼痛、肿胀感明显缓解。

骨转移瘤局部射频消融治疗

欢迎点赞与关注,更多肿瘤介入微创治疗干货等你哦!
(此处已添加小程序,请到*今条头日**客户端查看)