
胎儿心律失常发病率约1%~2%。胎儿心律失常包括心动过速、心动过缓、心律异常等。心率大于160bpm为心动过速,心率小于110bpm为心动过缓。在胎儿心律异常中约80%为室上性心律失常,最常见的是房性期前收缩,且往往在宫内或产后可自愈。超声心动图只能检查部分胎儿心律失常,且只能作间接诊断,因为超声不能像心电图那样获得肌电激动波。
一、 常用的超声诊断方法
(一)M型超声心动图
应用M型超声心动图,将取样线经过心房壁和心室壁、或经过心房壁及大动脉瓣,所获得的M型曲线可反映心房及心室的收缩,从而判断心房、心室收缩的相互关系,但由于M型取样线不可能同时与房、室壁呈垂直状态,因此,多由于振幅偏小而难以分析,所以较少用。现今有同时可取2根或以上的M型取样线的仪器配置,使用该功能,同一时间同时取得心房、心室垂直于声束的M型房室壁振幅较高的时间振幅曲线图,舒缩时间定位相对明确,可间接分析传导关系。
(二)脉冲多普勒超声心动图
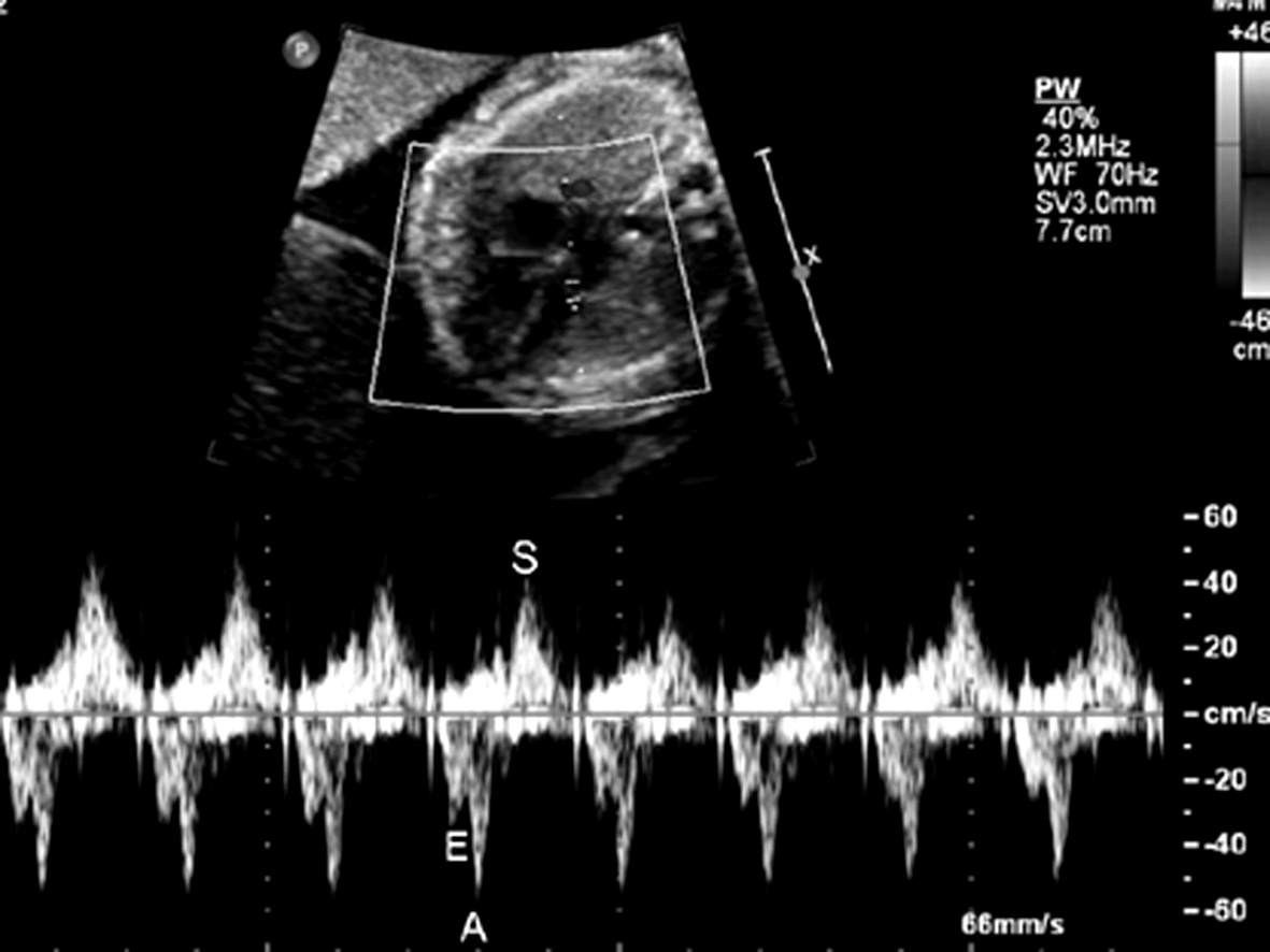
1.将取样门置于左室流入道和流出道交汇处,同时记录心室舒张期的二尖瓣(左室流入道)血流时间流速曲线和收缩期的左室流出道血流时间流速曲线,二尖瓣血流的A峰可反映心房的收缩期(图1)。此多普勒时间流速曲线关系反映了心房心室收缩的依从关系,当出现期前收缩或房室传导阻滞时,该依从关系发生改变。
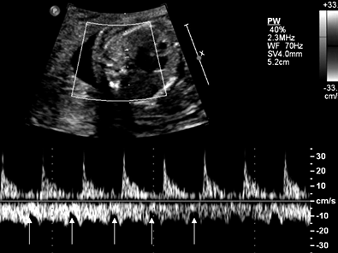
2.将取样门置于动脉与静脉之间,同时记录动、静脉的血流时间流速曲线,其中动脉血流反映心室的收缩,静脉血流反映心房收缩。最常用的是肺内小动、静脉。获得的肺小静脉血流时间流速曲线在基线下方肺小静脉波形上的一个深切迹代表心房收缩;肺小动脉血流时间流速曲线在基线上方,呈尖峰状,代表心室收缩(图2);正常心律时,总是先心房收缩后面紧跟心室收缩,两者之间的距离很短。

图1 左室流入道、流出道血流时间流速曲线:E峰、A峰代表心脏舒张期,S峰代表心脏收缩期

图2 肺小动、静脉血流时间流速曲线:箭头所指处代表心房收缩
(三)组织多普勒超声心动图
组织多普勒超声心动图是目前最新的用于诊断胎儿心律失常的方法。有文献报道称其优于M型及脉冲多普勒超声心动图,在同一心动周期内可同时记录心脏多个部位的活动,其更能有效地确定心脏的节律和房室间隔。比如在组织多普勒超声心动图中,心房收缩开始到等容收缩期开始的间隔更接近于胎儿心电图的PR间期(图3)。但组织多普勒超声心动图对超声机器配置要求较高,应用还不广泛,其准确性还需进一步考察。

图3正常胎儿频谱组织多普勒图
二、常见的胎儿心律失常
(一)胎儿心动过速
1.病因及病理分类 心动过速可分为窦性心动过速、室上性心动过速、心房扑动和室性心动过速,最常见的是室上性心动过速。晚期妊娠的胎儿心动过速往往和脐带因素有关,多为脐带缠绕导致宫内缺氧而发生代偿性心动过速,一般及时给予孕妇吸氧都会恢复正常心率。如果宫内缺氧持续时间过长,由心动过速转为心动过缓,则发生胎儿宫内窘迫。
2.超声诊断要点 室上性心动过速的胎儿心率一般为230~280bpm。心房扑动的心房率为300~550bpm,心室率取决于房室传导阻滞的程度。
3.预后评价 持续性的室上性心动过速由于心室率过快,可引起心室充盈不足,心输出量下降和右房负荷增加,最终可导致胎儿水肿、胎儿心力衰竭,若不及时进行干预,常短期内发生宫内死亡。间歇性的室上性心动过速预后则较良好,有自行缓解的可能。20%左右的室上性心动过速胎儿出生后可能为Wolff–Parkinson–White综合征。胎儿心房扑动的预后较差。胎儿心动过速合并器质性心脏病病例预后不良。
(二)胎儿心动过缓
1.病因及病理分类 最常见的是窦性心动过缓,妊娠中期常可见短暂的胎儿心动过缓,甚至出现一过性停搏现象,这是由于交感神经系统发育未成熟,迷走神经张力较高所致。心动过缓另一大原因为房室传导阻滞。根据病因,先天性房室传导阻滞可分为三类:结构异常造成远端传导系统的异常;母体高SSA/Ro或者SSB/La抗体造成的炎症性心肌反应;及病因不明者。根据严重程度,又可分为I。房室传导阻滞、II。房室传导阻滞(不完全性房室传导阻滞)及III。房室传导阻滞(完全性房室传导阻滞)。因为I。房室传导阻滞不表现出心律失常,一般难以发现。
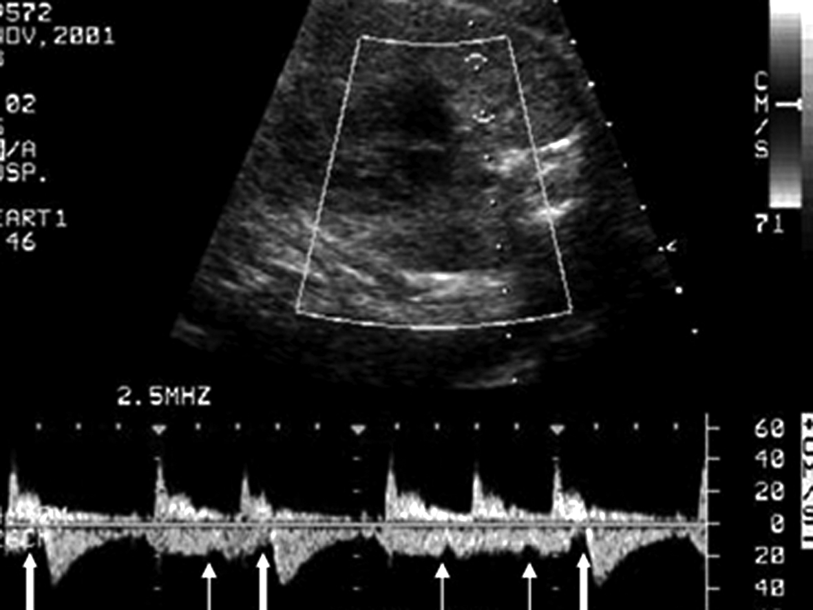
2.超声诊断要点 完全性房室传导阻滞心房收缩波与心室收缩波无关联,各有自己的节律。不完全性房室传导阻滞在多普勒血流时间流速曲线图上表现为:心室收缩波不是紧跟在心房收缩波后面,但与心房收缩波有关,如心室收缩波紧跟在心房收缩波后面应考虑心动过缓可能。M型超声由于振幅较低,有时难以判断,现多用脉冲多普勒时间流速曲线图进行分析,根据心房收缩波与心室收缩波的关系,得出推断结论(图4)。

图4 胎儿完全性房室传导阻滞
3.预后评价 如果胎儿心动过缓持续时间较长,同时伴有节律不齐,则应仔细分析胎儿心律频谱及心脏解剖结构图像,判断是否存在心脏传导阻滞和(或)心脏解剖结构畸形。合并心脏结构异常的完全性房室传导阻滞预后差,尤其是合并左房异构的病例,其胎儿及新生儿期的死亡率可达80%~90%以上,72%结构正常的完全性房室传导阻滞病例可有母体血清学SSA/Ro或者SSB/La抗体检查阳性。
(三)胎儿期前收缩
1.病因及病理分类 病因不明。期前收缩也称早搏,根据发生的部位不同分为房性早搏、交界性早搏和室性早搏,最常见的是房性早搏。
2.超声诊断要点 交界性早搏难以由超声心动图诊断,房性早搏和室性早搏可通过M型超声振幅或脉冲多普勒血流时间流速曲线分析间接诊断。房性早搏是心房收缩波提前出现,后面可跟随或不跟随心室收缩波,无代偿间期(图5),室性早搏是心室收缩提前出现,有代偿间期可作为鉴别点(图6)。

图5 胎儿频发房性早搏:细箭头处为正常的心房收缩波,粗箭头处为提前搏动的心房收缩波

图6 胎儿室性早搏: 箭头处为提前搏动的室性早搏,其后有一较长的代偿间期
3.预后评价 1%~3%的房性早搏有可能出现室上性心动过速,10%的房性早搏胎儿合并有器质性心脏病。晚期妊娠有时房性早搏与脐带绕颈有关。室性早搏在胎儿期少见,大多数预后较好,但要注意其有发展为室性心动过速的可能。诊断有胎儿期前收缩的病例需要加强随访直至早搏消失或分娩。
综上所述,胎儿心脏病变各不相同,图像显示也不一样。国际和平妇幼保健院于1992~2002年期间使用二维超声检查结果表明,70%以上的致死性先天性心脏病可以在产前发现。结合彩色多普勒检查,可增加心脏发育异常的检出率。产前检查胎儿心脏,技术要求高,对仪器设备也有一定的要求。鉴于目前我国国情,胎儿心脏检查的高档仪器尚难以普及,因而建议在应用二维超声产前筛查的基础上,加强胎儿心脏四腔心切面观,左、右心室流出道切面观和三血管(气管)切面观的检查。如怀疑异常,再行超声心动图详细检查。这样,既可以筛查出严重的先天性心脏病,又能节省大量人力物力。