在胸部X射线检测中,肺部异常区域常表现为区域密度增加或降低。其中,异常区域密度增加是最常见的形式。实变、间质、结节或团块、肺不张是较实用的分类方式。本文介绍肺不张。
在胸部X射线检测中,肺部异常区域常表现为区域密度增加或降低。其中,异常区域密度增加是最常见的形式。实变、间质、结节或团块、肺不张是较实用的分类方式。本文介绍肺不张。
肺不张的特征和表现
1.肺不张特征
(1)肺不张是由气胸、气道阻塞或胸腔积液压迫使肺部完全或部分无气,体积萎陷。
(2)在很多情况下,肺不张是肺癌的首要表现。
(3)正确识别肺不张的各种表现很重要,因为有些肺不张很容易被误判。
2.主要表现及原因
(1)肺不张胸部X线的主要表现:
➢边界清晰的致密影,肺血管模糊,无空气支气管征
➢肺体积萎陷导致隔、叶间裂、肺门或纵膈移位。
表1 肺不张分类

肺叶不张或肺萎陷是胸部X线检查中重要的表现,但对鉴别诊断有限。
(2)肺不张的最常见原因:
➢吸烟者患支气管癌
➢机械通气或哮喘(ABPA)患者粘液堵塞
➢气管内插管错位
➢儿童支气管异物

图1 不同类型的肺不张
右肺不张
1.右上叶肺不张

图2 右上叶肺不张
胸片表现:
➢三角形致密影
➢右肺门升高
➢胸骨后间隙闭塞(箭头所示)

图3 右上叶肺不张
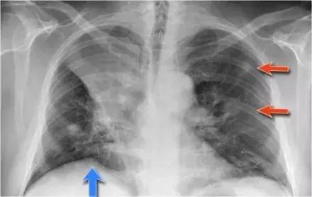
PET-CT影像分析:
➢PET-CT可见晚期肿瘤导致右肺上叶支气管阻塞引起的右上叶肺不张
➢右上叶肺不张的常见表现是“右隔隆起”(蓝色箭头)
➢患者为右上叶中心性肺癌,伴有双肺转移(红色箭头)

图4 右上叶肺不张
2.右中叶肺不张

图5 右中叶肺不张
影像表现:
➢ 右心缘模糊(轮廓征)
➢ 中叶萎陷造成三角形阴影
➢ 右叶不张一般不会引起右膈显著升高
➢在后前位胸片上,漏斗胸很像中叶不张,侧位片可有助于鉴别诊断
3.右下叶肺不张


图6 右下叶肺不张
➢男,70岁。楼梯跌倒后致右侧胸痛
➢血胸引起右后肋膈角局部性胸腔积液
影像学分析:
➢注意正常的右心缘
➢不可见右侧叶间动脉,因其不被正常的含气肺组织围绕,而是由右心房相邻的萎陷下叶包围
➢ 随访胸片肺不张消失。肺不张可能由创伤后粘液阻塞致肺通气不良引起的。
➢右图右侧叶间动脉(红色箭头)和正常的右心缘(蓝色箭头)
左肺不张
1.左上叶肺不张

图7 左上叶肺不张
影像学分析:
➢胸腔容积轻度减少,左隔升高
➢胸骨后左上叶萎陷引起的带状致密影
➢左肺门异常,可能有阻塞性肿块
以上表现为左上叶肺不张
影像分析:
➢蓝色箭头显示左上叶肺不张
➢红色箭头显示左肺上叶支气管被肿块堵塞

图9 左上叶肺不张
影像分析:
➢左上叶顶部的透明区,是左肺下部过度膨胀,由左下肺背段迁延至左胸顶。
➢这种征象被称为“气镰征”(luft sichel)


图10 左上叶肺不张
影像分析:
➢左肺高密度阴影,左心缘轮廓消失
➢左膈隆起升高
➢小叶间裂低位
➢肺门低位
➢左肺上叶不张,右肺可能部分不张
➢右心缘清晰可见,右肺下叶可能部分不张,不是右肺中叶不张
➢PE-CT显示,左肺上叶和右肺下叶致支气管癌,引起阻塞性肺不张
➢有两个肿瘤,并存在多发骨转移(红色箭头所示)

图11 左上叶肺不张
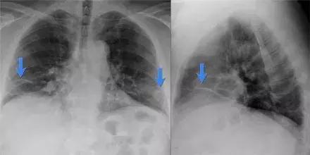
影像学分析:
➢左肺上叶完全萎陷
➢左肺门升高
➢仅在胸骨后可见细微致密带
➢本案例中左肺下叶代偿性隆起,左膈和纵膈位置正常

图12 左上叶肺不张
影像学分析
➢心影处可见三角形阴影
➢判定心脏后部异常
➢侧位可见左膈轮廓消失
➢周围肺叶不张,致左下叶血管不可见
➢正常情况下,从顶部到基地部,胸椎透明度逐渐增高。蓝色箭头所示表现相反
全肺不张

图13 全肺不张
影像分析:
➢图13(左)显示右肺因粘液阻塞引起全肺不张
➢纵膈右移
➢右图为插管吸引治疗后,随访胸片见右肺复张
➢纵膈位置恢复
➢一侧全肺不张的常见原因为气管插管过深,致此侧支气管阻塞引起

图14 重度支气管肺炎致全肺不张
图14影像分析:
➢此患者具有广泛的支气管肺炎,并且进行机械通气
➢随访期间,胸片表现左肺不透明(左),吸引粘液栓后,左肺复张

图15 全肺不张
图15影像分析:
➢胸片显示左半胸几乎全致密影
➢此患者系癌性胸膜炎,左肺几乎被胸腔积液压迫
➢与前面介绍的肺不张患者不同,这位患者的肺不张是外压引起的
➢CT显示是局部胸腔积液造成的肺不张
➢红色箭头显示,患者合并有右肺栓塞
圆形肺不张
表2 圆形肺不张的CT表现

➢圆形肺不张的CT典型表现为胸膜增厚、胸膜基底肿块和彗尾征
➢理论上是局部胸膜炎引起的胸膜增厚和收缩
➢肺不张呈现圆形
➢的血管扭曲牵拉呈团肿块,像彗尾征


图16 圆形肺不张
图16影像分析:
➢ 侧面胸片显示胸膜基底部的肿块,初看像胸膜病变
➢ CT显示肺部疾病,初步鉴别诊断结果为肺癌
➢ 红色箭头显示肿块周围胸膜增厚,蓝色箭头显示肿块周围血块像旋涡状
➢ 呈现彗尾征
➢ 影像表现像肺癌胸膜基部病变时,也需考虑圆形肺不张的可能
➢ 圆形肺不张是良性病变,当出现上述情况能够明确诊断时,可不进行肺活检。在随访中,圆形肺不张的患者一般形态不会发生变化。
➢圆形肺不张常见于有石棉接触史的患者。


图17 圆形肺不张
图17影像分析:
➢右下叶后部阴影,正位胸片显示像肿块或实变,侧位胸片边界锐利,可能是肿块
➢红色箭头所示的胸膜增厚
➢虽然考虑是周围型肺癌,但是也应该考虑到圆形肺不张的可能
➢CT影像显示圆形有肺不张特征:椭圆形肿块,胸膜增厚和彗尾征
➢对本病例随访两年,无变化。
盘状肺不张

图18 腹部手术患者吸气不良导致的盘状肺不张
➢ 在胸部X线检测很常见盘状肺不张,几乎每天都能检测到。
➢ 主要特征是肺基底部线状影,一般水平走向,厚1~3mm,长数厘米。
➢ 在多数情况下,没有临床意义,可见于吸烟者和老年人。
➢ 患者病情不佳,呼吸表浅,例如腹部手术后。

图19 肺栓塞患者盘状肺不张
由于通风不良,ICU患者常出现盘状肺不张。肺栓塞患者也常见到盘状肺不张,但不是特异性征象,对肺栓塞诊断作用不大。
医脉通编译整理自:Chest X-Ray - Lungdisease,Four-Pattern Approach.Robin Smithuis Radiology Department of the RijnlandHospital, Leiderdorp, the Netherlands.