导读
面对卒中疾病负担的日益升高,中国采取的措施也越来越多,国家加大了临床科研投入,使卒中复发率和病死率显著下降,但中国仍是全球脑血管病风险最高的国家。脑微出血属于无症状脑血管病,发现无症状脑血管病后,如何识别、处理是临床医师面临的新问题。以下是脑微出血诊疗的相关内容。
定义什么是脑微出血?
脑微出血被认为是既往有无症状性小量出血引起的含铁血黄素的沉积,使用磁共振梯度回波序列可以发现,在正常人群中脑微出血的患病率为5%~21%,在缺血性脑卒中患者中达到30%~40%,在脑出血患者中达到60%~68%。脑微出血也与年龄高度相关,在敏感性高的磁共振序列中,60~69岁人群中患病率为18%,80岁以上的老年人患病率为38%。在敏感性较低的梯度自旋回波序列中,67岁和76岁人群中的平均患病率分别为9%和13%。在不同种族之间脑微出血的患病率类似。
观点1磁共振扫描的参数不同,检测脑微出血的敏感性将有较大差异
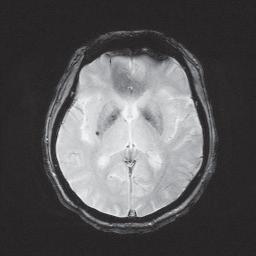
脑微出血在磁共振磁敏感加权序列上表现为小的、圆形,直径在5~10mm的信号缺失(图1)。影像学表现有扩大效应,也就是说MRI 上磁敏感序列上信号丢失的直径大于实际的病灶大小。MRI 扫描的参数不同,检测的敏感性有较大差异,使用长的回波时间、更短的层间间距、3D 影像检查、更高的场强和新的序列或磁敏感加权序列,可以使微出血检出率增加2~3 倍。要注意的是,脑微出血有可能因为血液流空、海绵状血管畸形、小梗死的出血转化、铁沉积、散在的钙化等被误诊为脑微出血。

图1 微出血在梯度自旋回波(GRE)上信号缺失
图片来源:首都医科大学附属北京天坛医院
观点2脑微出血患者需要注意高血压和淀粉样血管病等
脑微出血最常与高血压动脉病和淀粉样血管病相关,少见的病因包括感染性心内膜炎、多发海绵状血管畸形、凝血障碍、头部外伤,这些可以通过病史询问和相关检查帮助诊断。脑微出血发生的部位通常分为深部位置(基底节或脑干)和脑叶部位(大脑皮层或皮质下白质)。脑微出血根据部位不同,危险因素也不相同,在临床上应根据不同情况进行相应检查。脑叶的微出血与ApoE4 等位基因有关,而深部的微出血与高血压、吸烟和脑梗死相关。
血管淀粉样变性与高血压不同,常发生在含有ApoE4 等位基因的个体,是脑叶微出血的常见原因。血管淀粉样变性诊断标准包括脑叶出血的病史。对于静息性微出血的患者,应进行针对脑出血的危险评估,尤其应对高血压进行评估。临床或影像学有疑问时,进行CT 动脉造影(CTA)、CT 静脉造影(CTV)、增强CT、增强磁共振、磁共振动脉成像(MRA)、磁共振静脉成像(MRV)检查有助于评估大的(直径超过1cm)静息性出血的潜在病因,如血管畸形和肿瘤等。对于静息性出血或微出血,在排除血管畸形等疾病后,可以使用修改波士顿标准(表1)对CAA 的可能性进行评估。因为ApoE 检查并不能识别CAA,因此不推荐用于脑出血的患者,同样也不推荐用于脑微出血患者的检查。
表1 修改的脑淀粉样血管病的波士顿诊断标准

观点3脑微出血增加缺血性脑卒中和出血性脑卒中的发生风险
最近研究显示,脑微出血不仅会增加出血脑卒中的发生风险,也会增加缺血性脑卒中的发生风险。总体而言,缺血性脑卒中较出血性脑卒中更多。脑微出血引起的脑卒中类型可能与部位有关。局限于脑叶的微出血,提示患者可能有淀粉样血管变性,发生脑出血的风险较高;而其他部位的脑微出血,发生脑出血和脑梗死的风险均增加。目前尚未有脑微出血患者缺血性脑卒中预防的研究。
观点4脑微出血的存在,并不是限制使用抗凝或抗血小板药物的理由
心房颤动患者,当脑卒中发生风险较高或者既往发生过TIA或脑卒中后,应当使用抗凝剂来预防血栓栓塞事件,包括维生素K 拮抗剂华法林或者非维生素K 新型口服抗凝剂(new oralanticoagulants,NOAC),如达比加群、艾吡沙班、利伐沙班、依度沙班。这些治疗在各个指南中多是高级别推荐。抗凝剂使用的最大风险是颅内出血,在华法林治疗的患者中,颅内出血的每年发生率约为0.47%,出血后会增加患者的死亡率和残疾率,使用NOAC 发生颅内出血者较华法林低。
一项Meta 分析发现,与华法林相比,NOAC 降低了出血性脑卒中和脑出血的发生率,而胃肠道出血的概率增加。由于NOAC 缺乏拮抗药物,而一定程度上影响了临床决策,但在随机试验中,达比加群或利伐沙班因脑出血引起的死亡并不高于华法林组。有非瓣膜性心脏病合并脑微出血的患者,使用抗凝药物是否增加出血风险从而减少了抗凝治疗的获益?到目前为止,未查到有关脑微出血增加非瓣膜性心脏病患者抗凝治疗出血的文献。
关于脑微出血的研究很多,但不同的研究之间结果差异较大,主要原因可能包括:不同的研究选择东西方人口的差异,不同的研究T2* 加权方法不同可能影响脑微出血的检出,每个样本例数的脑微出血数量不同,而脑微出血数量可能影响脑出血的发生风险。其他可能的因素包括引起脑微出血脑小血管病的原因。在深部灰质和脑干,动脉粥样硬化是导致脑微出血的主要原因,而脑淀粉样血管变性与脑叶区域的脑微出血有关,脑出血复发率较高。一项来自医院的研究观察了60例仅局限在脑叶的多发脑出血(中位数是10个)患者,发现每100人中每年有5例症状性脑出血(95%Cl 2.6~8.7),提示在某些脑微出血阳性的个体中脑出血的发生风险较高。目前尚缺乏随机对照研究观察脑微出血患者抗凝治疗的获益/风险比。可以使用决策—分析模型制定一个“临界点”。
非瓣膜性心房颤动的患者,如果不治疗,每年有4.5%的可能性发生栓塞性脑卒中,除非脑微出血增加>16倍脑出血的风险,否则华法林的抗凝治疗效果优于阿司匹林或者不进行治疗。如果患者发生脑梗死的概率较低,这个“临界点”就下调;相反如果脑微出血同时增加了脑梗死的发生风险,这个“临界点”就上调。非瓣膜性心房颤动患者发生抗凝治疗相关的脑出血风险较低,提示即使存在脑微出血可能提高脑出血风险时,使用抗凝治疗患者也能获益。脑微出血(既往没有症状性脑出血史)的存在并不足以改变临床决策以规避脑出血,且脑微出血的患者发生脑梗死也增加,更支持上述观点。
因此,不需要对非瓣膜性心房颤动的患者进行脑微出血检查。当脑微出血的数量较多和(或)位于皮质,发生脑出血的风险较高时,可以选择NOAC药物,如达比加群、利伐沙班、艾吡沙班、依度沙班,而不是华法林。其他可替代华法林的方法还有经皮左心耳闭合术。服用抗血小板或他汀类药物通常认为比抗凝治疗发生脑出血的风险较低。
对于脑出血患者,把脑微出血考虑在内是合理的,应强调血压的控制,但不限制他汀类药物使用。当没有其他的适应证时,脑出血患者应避免使用抗血小板治疗,而当有其他适应证时脑出血急性期后可以考虑使用。对于没有症状性脑卒中病史的患者,如果仅有脑微出血而没有其他适应证时,不建议使用抗血小板或他汀类药物。
观点5即使存在脑微出血,对适合溶栓的急性缺血性脑卒中患者溶栓也是合理的
对于急性缺血性脑卒中(acute ischemic stroke,AIS)患者,静脉溶栓和血管内治疗可以带来获益,但同时增加出血风险。预测哪些患者会发生脑出血可用于指导临床。通过T2* 或磁敏感成像序列发现的脑微出血与症状性脑出血有关,有可能成为预测应用组织型纤溶酶原激活物(tissue plasminogen activator,t-PA)后脑出血的指标。AHA/ASA 的科学声明中曾提到未发现脑微出血增加再灌注治疗的出血,因此对有脑微出血的患者静脉使用tpa是合理的。但是之后的一个Meta 分析显示,微出血增加溶栓后出血的风险(OR=2.26,95%Cl 1.46~3.49,P<0.001)。同样,对静脉使用(t-PA)的研究进行分析,脑微出血也增加了溶栓后出血的风险(OR=2.87,95%Cl 1.76~4.69,P<0.001)。但是有研究不支持上述观点,有研究发现调整其他危险因素后,脑微出血的数量并不增加AIS 静脉溶栓后的出血风险,每增加一个脑微出血,发生脑出血的OR 为 1.03(95%Cl 0.96~1.11,P=0.37),统计学无明显差异。
血管内治疗也用于AIS 的急性期治疗,例如通过设备把栓子取出来,避免了全身用药。但是,血管内治疗的出血风险与静脉溶栓、静脉溶栓联合血管内治疗相当,提示单纯行血管内治疗而不行静脉溶栓并不能降低出血风险。另外一项包含206 例血管内治疗的患者,基线的脑微出血并不增加血管内治疗后出血风险(有脑微出血与没有脑微出血发生出血的比例分别为16% 和19%,无统计学差异),有脑微出血也不是预后不良的预测指标。有关动脉溶栓时基线脑微出血与症状性脑出血之间的关系,目前还缺乏相关的数据。
总体而言,与AHA/ASA 颁布的指南不同,新的证据提示脑微出血增加1 倍静脉溶栓后脑出血的风险。然而,目前没有充分的证据说明这种风险超过了溶栓治疗的巨大获益。即使存在≥1个脑微出血,依据指南对适合的患者进行溶栓治疗也是合理的。同样,如果患者其他条件适合,即使存在脑微出血,也建议进行血管内治疗。
观点6人群中筛查无症状脑血管病的价值目前尚不清楚
尽管从观察性研究中发现,无症状性脑血管病与认知功能下降有关,但是阻止其进展是否有助于改善认知功能目前还未知。在人群中或者在某些特定人群中进行MRI 筛查是否有意义还不清楚。
作者简介
王拥军,主任医师、教授、博士研究生导师,首都医科大学附属北京天坛医院副院长,国家神经系统疾病临床医学研究中心副主任,国家卫生计生委神经内科医疗质量控制中心主任,北京脑重大疾病研究院脑卒中研究所所长,北京脑血管病临床研究中心主任,北京转化医学脑血管病转化医学重点实验室副主任。
本病例节选自科学技术文献出版社: