“医生,您帮我瞧瞧,检查说我这是纵隔淋巴结肿大,但病因是啥我们那的医生说查不出来啊!”
的确,肺癌、肺结核、结节病、淋巴瘤等疾病都有可能导致患者纵隔淋巴结肿大。由于纵隔淋巴结位置较深,不易获取病理和细胞学标本,在临床上确诊极为困难。然而肺癌与结节病的治疗方案却天差地别,确诊检查尤为关键。
近日,清华长庚呼吸与危重症医学科在牟向东主任带领下成功开展全身麻醉下经支气管镜内超声引导纵隔淋巴结针吸活检术(EBUS-TBNA)。

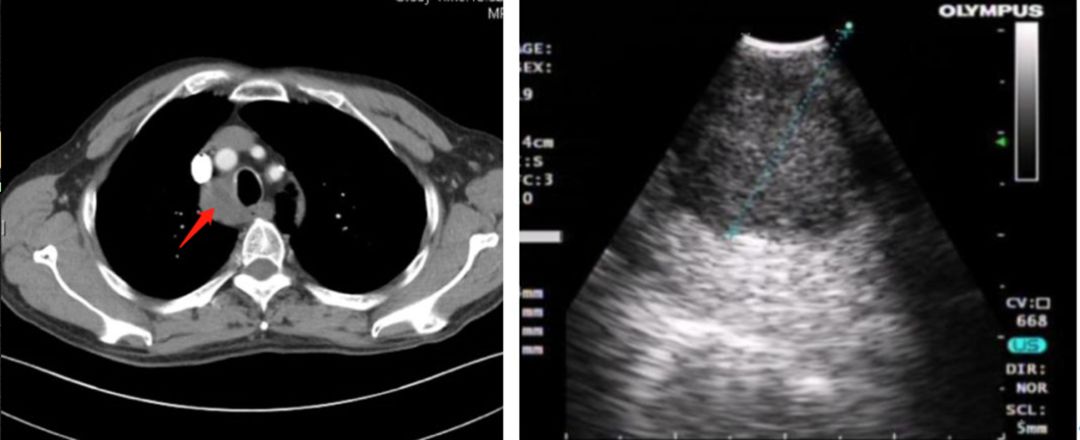
图1 增强CT提示纵隔淋巴结肿大(左);经气道内超声测量纵隔肿大淋巴结(右)
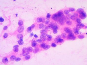
患者为73岁老年男性,因纵隔淋巴结肿大(2R)而入院;既往有脑血管病及长期抽烟的病史。临床检测外周血癌胚抗原(CEA)明显升高。胸部增强CT显示右侧气管旁淋巴结(2R)明显肿大,双侧肺内未见明显病灶。为进一步明确诊断,患者在全身麻醉下经喉罩置入支气管镜进行观察,然后行超声支气管镜检查,超声镜下可见2R淋巴结明显肿大,直径2.0×3.0cm,内部回声较均匀,边界清晰,包膜完整(图1右)。在超声内镜下使用超声活检针于2R淋巴穿刺活检4针(图2),取材满意,标本分别送检细胞学和组织病理学。术后病理回报:可见恶性肿瘤细胞,倾向于腺癌(图3)。为患者下一步治疗指明了方向。

图2 牟向东主任(右一)为患者行EBUS-TBNA检查

图3 病理回报可见恶性肿瘤细胞,倾向于腺癌
经气道内超声引导下支气管针吸活检 (EBUS -TBNA)定位准、创伤小、阳性率高、操作方便,使支气管镜的检查范围由腔内病灶扩展至腔外及纵隔。通过对纵隔内淋巴结进行针吸活检,从而提高纵隔病变的诊断阳性率,特别是对肺癌的诊断和分期及治疗方案的选择具有重要指导作用;对结核病、结节病、淋巴瘤等疾病同样有重要的诊断意义。
#清风计划#

北京清华长庚医院是由清华大学与北京市共建共管的大型综合性公立医院。
医保号:21110130
电话:010-56118899