肺结节的手术,在以下情况下可能会选择亚肺叶切除,其中有许多同道选择肺段切除,也有些部位可以选用楔形切除:(一)患者肺功能不能耐受肺叶切除;(二)肺结节符合以下之一条:1、病理是原位腺癌或微浸润性腺癌;2、倍增时间大于400天;3、磨玻璃结节中实性成份小于50%。而若行肺段切除,判断病灶在哪个段至关重要,而且肺动脉均与支气管伴行,如果我们确定了段支气管,那么肺动脉也便是在其旁边的,而肺静脉可解剖断,也可不处理,离断段间时一并切断也没什么关系。肺段切除在大医院都要三维重建,有些是行增强CT扫描后采用三维重建软件进行处理,有些是外包给公司重建,许多公司只要提供薄层增扫的图像就可以。但需要几千块钱的费用。基层医院的特点就是,一是留在这里开的都是熟人,同事或亲戚朋友介绍的;二是经济条件相对于省城或北上广来说可能稍微会差一点。所以作为基层的胸外科医生,我们一贯的态度是:能省点就尽量省点钱,熟人介绍,无非是:态度尽量好一点、手术尽量仔细点、费用能省则尽量省一点!如果我们目前手上只有薄层平扫的CT片,不想花钱外包三维重建,也想把增强CT省略掉,那么如何来定位结节在那个段呢?我们一起来学习:
患者女性,50岁,检查发现右上肺结节已经近5年,我对比了其主病灶,密度略有增大,病灶看上去更清楚了,个人以为应该是微浸润性腺癌可能性较大,另有一次病灶,密度低,考虑腺瘤样不典型增生可能性大。我们先来看病灶:

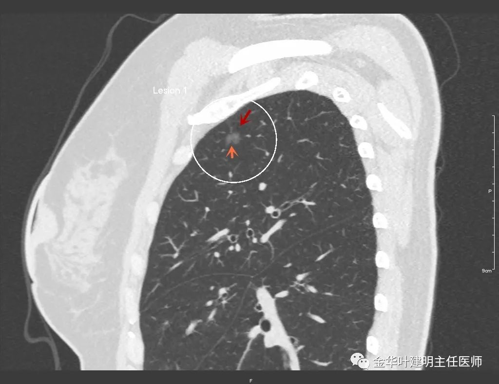
上图示病灶1

靶扫描示明显血管进入病灶

纵向看病灶密度稍不均,桔色箭头示病灶有浅切迹致略分叶

上图示病灶2,密度低,但轮廓相对也是清楚的,考虑腺瘤样不典型增生可能性大
具体是不是在尖段,右上叶的肺段在CT平扫上怎么辨别区分呢?先看病灶的动图:
视频加载中...
从位置来看应该都是在尖段
尖段:因动图只能插入一次,所以尖段与后段的动图无法展示,我们选取最佳层面进行标注相关的亚段支气管:

因为横断面的关系,红色箭头示尖段支气管的开口,绿色箭头示后段支气管


上图的蓝色箭头示尖段的前亚段支气管,而紫色箭头示尖段的尖亚段支气管开口处及少许向头侧走行的区域
后段:同样选取最佳层面标注其亚段支气管:

这里同一层面没能见到两个亚段,绿色箭头所指这是后段后亚段支气管

上图红色箭头所指是后段后亚段,而绿色箭头所指是后段外亚段支气管的走行,显示了两亚段的分叉处

上图显示的是后段与尖段支气管开口处,蓝色箭头所指是尖段支气管开口,粉红色箭头示后段支气管,绿色箭头示后段外亚段支气管的走行。
前段:本例前段显示比较清楚,图片较少,我们直接上图:

紫色所指是上叶支气管,红色示前段支气管


上两图示前段的外亚段与内亚段支气管,显示了分叉处
综上解剖关系,我们判断两结节在上叶尖段,经过术前准备后于2020年10月22日上午予以行了“单孔胸腔镜下右肺上叶尖段切除及纵隔淋巴结采样术”,因病灶仍是磨玻璃密度,未系统清扫。手术顺利,病灶1,也即主病灶,术中快速切片示微浸润性腺癌。说明手术正及时!病灶2,术中病理居然也是微浸润性腺癌!从影像上看,密度显然偏淡了些,等常规病理来确认吧。但若没有病灶1,这样密度的磨玻璃结节是可以安全观察随访的。
肺结节的精确诊断与微创治疗,我们是用功的、努力的!
#肺结节手术#