市面上的益生菌产品,宣传的一大热点就是含有多少多少亿的活菌。毕竟这些益生菌吃到肚子里,一路要经过胃酸的腐蚀,各种消化酶的消化,能活着到达肠子的真不多。
不过这么大数量的益生菌,虽然活着到达肠子的不多,但死了的多啊。死了的益生菌虽说没了生命力,菌体结构可能也被破坏了,但成分上可是一样一样的,真的就没作用了吗?
近日,温斯顿-塞勒姆医学院的Shaohua Wang和Hariom Yadav等研究发现,一种副干酪乳杆菌菌株——D3-5,可以防止高脂饮食引起的代谢障碍,减少肠道渗漏和炎症,改善生理和认知功能,抵抗衰老。
而且,起作用的是D3-5细胞壁上的脂磷壁酸,吃死菌就行!这可是个大福利,毕竟死菌的储存要比活菌方便不少,没必要全程冷藏,甚至可以烧熟了吃。该研究发表在美国老龄化协会的官方期刊GeroScience上[1]。

(来自pixabay.com)
别看肠子这器官盘在肚子里面,却也是体表的一部分。食物里的营养要靠它吸收到身体里,各种有害物质也要它去挡在外面。万一没挡住,重则败血症,全身感染,轻的话也会引起低水平的慢性炎症。
可别小看这个低水平的慢性炎症,虽说它水平低,不会让你发烧难受,但架不住时间长,经年累月的作用下,对身体的伤害可不小。老年人中的低水平慢性炎症,是他们生病死亡的一个重要危险因素[2]。
而且,这人老了后,肠子分泌的粘液少了,屏障能力弱了,肠道里的各种微生物更容易侵入肠上皮,引起炎症[3,4]。肠屏障减弱引起的慢性炎症,也是衰老的一部分。改善肠屏障功能或许也能减缓衰老。至于怎么改善,肠子里的事当然要交给肠道菌了。

研究人员首先用线虫测试了他们之前分离到的6个菌株。这6个菌株中,有两种能明显延长线虫寿命,其中一种编号为D3-5的副干酪乳杆菌的效果最好。需要注意的是,线虫的寿命测试里,是要添加抗生素防感染的,这些细菌加到培养基里后就被抗生素杀死了。也就是说,是D3-5的尸体延长了线虫的寿命。
不过线虫毕竟还是太低等了,在跟人类更为相似的小鼠里,效果又如何呢?
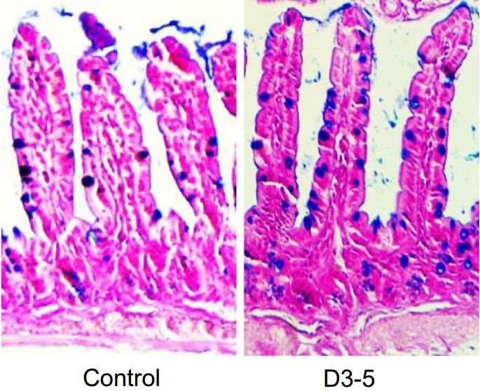
在吃了10周的热灭活的D3-5后,高脂饮食的老年小鼠的肠子里,分泌粘液的杯状细胞多了,粘液蛋白表达增多,肠子的屏障作用显著增强了,炎症水平也降低了。

喂食D3-5的小鼠肠道杯状细胞明显增多
炎症没了,小鼠的身体情况也更好了。虽说体重和进食量没什么变化,但相比吃大肠杆菌的对照组小鼠,吃D3-5的小鼠中,高脂饮食所带来的的胰岛素抵抗和糖耐量降低都没有出现,肝脏里的脂肪堆积也显著减少,脂肪炎症水平更低。
身体情况好了,老年小鼠每天走的路多了,就连精神状况也跟着改善了。在旷场试验和水迷宫试验中,它们也表现出更低的焦虑水平和更高的学习记忆能力。
连认知能力都能改善,还真神!

旷场试验中,吃D3-5的小鼠会更多的进入中心区域,表明焦虑程度较低
进一步的研究发现,D3-5细胞壁中的脂磷壁酸可以激活TLR-2/p38-MAPK信号通路,增加黏液蛋白Muc2的表达,还可以抑制NFκB信号,减轻炎症。
起作用的是细胞壁中的特定成分,难怪死了的细菌吃了也有效了。
此外,D3-5还改变了小鼠肠道菌的组成,有害的厚壁菌少了,有益代谢的疣微菌则多了,吃黏液的Akk菌也增多了。这个Akk菌也是一种益生菌,同样能改善代谢,延缓衰老。更有趣的是,Akk也是要烫熟了再吃的。
而把这些吃了D3-5后改变了的肠道菌,移植给清理过肠道的小鼠,也能增加受体肠道的黏液分泌。肠道菌的改变也对肠道屏障功能的改善有贡献。
论文通讯作者Yadav表示:“我们不仅确定了哪种益生菌菌株在预防肠道渗漏和炎症方面最有效,我们还证明了这种死亡的益生菌也有同样的好处。这是首次发现,来自死亡益生菌细胞壁的一种成分(脂磷壁酸)会引起肠道微生物组和粘蛋白的变化,从而减少老年小鼠的肠道渗漏和炎症。”
编辑神叨叨
全体奇点糕呕心沥血呕心沥血呕心沥血打造的重磅音频课程《医学趋势50讲》终于上线了。 我们一口气帮你同步了全球医学前沿领域最重磅的进展。 只需500分钟,让你彻底搞懂最重磅的医学前沿进展。
课程亮点如下:
1、全面: 一网打尽最重磅的医学前沿进展。
在这套《医学趋势50讲》中,我们囊括了免疫治疗、干细胞、微生物、人工智能、二代测序,抗癌新药研发等15个重要的前沿领域,帮你将全球最顶尖的科研成果一举收入囊中。
2、紧跟趋势: 帮你无缝同步全球认知。
奇点跨学科专业知识团队,依靠强大的自有数据库系统,每天跟踪全球3000多本医学与生命科学领域的重要期刊,实时把握医学前沿科技最强劲的脉搏。和全球认知同步,你不需要费心费力,我们把全球脉动送到你的耳边。
3、有趣易懂: 不用绞尽脑汁,就能理解全球医学顶尖难题。
医学和生命科学领域的论文往往晦涩难懂,再加上语言的隔阂,导致很多人对此望而却步。这一次,我们帮你把艰深晦涩的前沿学术调制成清新爽口的科学小品,让你在享受科学之美的同时,轻轻松松理解医学顶尖难题。和全球最聪明的大脑思考同样的问题,你也可以。
参考文献:
1. Wang S, Ahmadi S, Nagpal R, et al. Lipoteichoic acid from the cell wall of a heat killed Lactobacillus paracasei D3-5 ameliorates aging-related leaky gut, inflammation and improves physical and cognitive functions: from C. elegans to mice[J]. GeroScience, 2019: 1-20.
2. Franceschi C, Campisi J. Chronic inflammation (inflammaging) and its potential contribution to age-associated diseases[J]. Journals of Gerontology Series A: Biomedical Sciences and Medical Sciences, 2014, 69(Suppl_1): S4-S9.
3. Elderman M, Sovran B, Hugenholtz F, et al. The effect of age on the intestinal mucus thickness, microbiota composition and immunity in relation to sex in mice[J]. PLoS One, 2017, 12(9): e0184274.
4. Allaire J M, Crowley S M, Law H T, et al. The intestinal epithelium: central coordinator of mucosal immunity[J]. Trends in immunology, 2018, 39(9): 677-696.
5. Nagpal R, Wang S, Ahmadi S, et al. Human-origin probiotic cocktail increases short-chain fatty acid production via modulation of mice and human gut microbiome[J]. Scientific reports, 2018, 8(1): 12649.
头图来自pixabay.com

本文作者 | 孔劭凡