布洛芬孕期可以用吗 (布洛芬对怀孕早期的影响)

布洛芬是世界卫生组织、美国FDA唯一共同推荐的儿童退烧药,是公认的儿童首选抗炎药,同样的布洛芬也是成人镇痛药中经典且高效的药物,使用极其广泛。然而,最新的一项来自法国的科学家团队发表在全世界最知名的生殖医学期刊之一《Human Reproduction》上的研究显示布洛芬会直接对生殖系统造成伤害

孕期吃布洛芬有影响吗,布洛芬对怀孕早期的影响

布洛芬是世界卫生组织、美国FDA唯一共同推荐的儿童退烧药,是公认的儿童首选抗炎药,同样的布洛芬也是成人镇痛药中经典且高效的药物

布洛芬具有抗炎、镇痛、解热作用,适用于治疗风湿性关节炎、类风湿性关节炎、骨关节炎、强直性脊椎炎和神经炎等,应用非常广泛。

孕期吃布洛芬有影响吗,布洛芬对怀孕早期的影响

最近有一项研究表明,如果孕妇在妊娠的头24周服用止痛药布洛芬,那么她们女儿卵巢中的卵细胞数量可能就会减少

在胎儿发育至关重要的前三个月内,布洛芬会使女性胎儿的卵泡数量显著减少,而卵泡会形成卵细胞。这些生殖细胞要么死亡,要么无法正常的生长和繁殖。

该研究发表在全世界最知名的生殖医学期刊之一《Human Reproduction》上。

孕期吃布洛芬有影响吗,布洛芬对怀孕早期的影响

▲研究者们在国际期刊《Human Reproduction》上面发表的文章

Part1

这篇文章的通信作者SéverineMazaud-Guittot认为:“女性胎儿的生殖寿命将直接取决于其在胚胎时期所储备的卵泡数量,多少早已定好,从而决定了其成年后的生殖能力。如果在刚刚出生卵泡储备不足将导致生殖寿命缩短,以及会在出生几十年后出现过早绝经或不育的情况。”

事实上,胎儿体内的卵泡并非在妊娠前三个月就发育完成,布洛芬使用的时间较短,其所造成的影响卵巢可以恢复。而这个较短的度大概是多少时间呢?根据他们的研究发现,在孕期的前三个月中,胎儿的卵巢与布洛芬接触 2至7天 就会造成生殖细胞储备显著降低,而且无法完全从损伤中恢复

显然这个时间的下线也不是长,许多使用布洛芬的时候,都可以打破这个下线时间。这表明,女性胎儿长期接触布洛芬会对她们未来的生育能量产生长期影响,使得人们对女性在怀孕前24周服用布洛芬产生了担忧。这些发现应该引起人们的重视,在怀孕期间要慎重使用布洛芬。

孕期吃布洛芬有影响吗,布洛芬对怀孕早期的影响

显然这个时间的下线也不是长,许多使用布洛芬的时候,都可以打破这个下线时间。这表明,女性胎儿长期接触布洛芬会对她们未来的生育能量产生长期影响,使得人们对女性在怀孕前24周服用布洛芬产生了担忧。这些发现应该引起人们的重视,在怀孕期间要慎重使用布洛芬。

大约有30%的女性在怀孕的前三个月中会使用布洛芬。这种情况带来的风险和伤害无法当下就明确,然而对于健康负责的态度,还是不用的为好。

Part2

布洛芬的这种影响,到底是怎么样被证实的?

Mazaud-Guittot博士和同事们通过合法的终止妊娠获取了发育了7至12周的人类胎儿,并且取得了孕妇的同意。之后他们在实验室中培养了这些卵巢组织,部分卵巢组织暴露在布洛芬中作为实验组,而另一部分组织则作为对照组。他们总共分析了185个胎儿样本。此外,研究人员还测量了脐带血中的布洛芬含量以分析胎儿所接触的布洛芬剂量。

孕期吃布洛芬有影响吗,布洛芬对怀孕早期的影响

他们发现,布洛芬能够越过胎盘屏障。Mazaud-Guittot博士说:“我们发现,在手术之前2至4个小时中服用800mg(相当于4片200mg的药片)布洛芬的孕妇的胎儿脐带血中的布洛芬浓度与成年人血液中的浓度相近。简单的说,胎儿所接触的布洛芬浓度与他们的母亲相同。所以,我们使用与在成年人血液中相似的布洛芬浓度在实验室中对卵巢样本进行测试。”

与没有接触到布洛芬的胎儿组织相比,暴露于10μM(微摩尔)浓度的布洛芬中的卵巢生殖细胞的数量下降了一半

她们发现,接触布洛芬之后卵巢中的细胞生长和分裂变少,但是细胞死亡却蛮多,生殖细胞的数量显著下降,无论胎龄多大。接触10μM (微摩尔)浓度的布洛芬七天会对卵巢产生显著影响,在试验开始两天之后我们就发现了细胞死亡。在移除布洛芬五天之后,这些有害的影响仍然没有消除

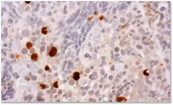
孕期吃布洛芬有影响吗,布洛芬对怀孕早期的影响

▲接触布洛芬7天后的卵巢组织。大的褐色细胞是将死的生殖细胞,小的褐色细胞也即将死亡(图片来源: Severine Mazaud-GuiJot, INSERM)

这是首次针对布洛芬对女性胎儿卵巢组织影响的研究,也是首次证实了布洛芬会在妊娠早期可以越过胎盘屏障的研究。

最明智的建议是遵从目前的建议,在怀孕的前24周内,扑热息痛是比其他抗炎药物更好的选择,而在怀孕24周之后就不应该再使用了。当然,还是要根据个体情况听取专业医疗人员的建议和安排。

在未来的研究中,Mazaud-Guittot博士和同事们决定扩大这项研究的持续时间和人群范围,并且,他们想要探索这其中具体的机制,更明确和清晰的展示布洛芬对于女性生殖系统的影响。

虽然这项研究已经证实了布洛芬对于卵泡细胞的伤害,然而,在现阶段,我们还无法确定女性胎儿卵巢中的卵泡数量减少是否一定会导致她们在30年之后出现生育问题。目前这只是一种推测,还需要对在怀孕头三个月中服用布洛芬的女性的女儿进行追踪研究。

如果你认为布洛芬仅仅是对女性造成伤害,那么这种观点或者为时过早。

Part3

无独有偶,近日,在PNAS上布洛芬同样对男性的生殖系统造成伤害

来自丹麦和法国的研究人员通过研究发现,长期定期服用止痛药布洛芬或会让男性患上一种名为补偿性腺机能减退的疾病

他们给予志愿者布洛芬,同时监测参与者机体激素水平和精子的产生情况。

孕期吃布洛芬有影响吗,布洛芬对怀孕早期的影响

研究的具体对象是年龄在18-35岁之间的31名男性,让这些参与者每日摄入600毫克(3片)的布洛芬,持续6周时间,其他志愿者则给予安慰剂进行对照研究。

仅仅只有两周,所有患者机体中的促黄体生成素水平增加了,机体能够利用促黄体生成素来调节睾酮的产生,该激素水平的增加提示布洛芬或许会诱发*丸睾***特中**定细胞出现问题,从而抑制*丸睾**产生睾酮,进而抑制精子的产生。

孕期吃布洛芬有影响吗,布洛芬对怀孕早期的影响

不排除这种改变或会通过产生更多的其它激素来促进脑垂体产生反应,从而也会驱动机体产生更多睾酮,最终导致机体睾酮的水平保持不变,但机体却会处于过分紧张状态来补偿布洛芬所产生的有害影响,这种状态就称之为补偿性腺机能减退。

这种补偿性的伤害暂时不会引起男性对于自己生殖系统的恐慌,但是这种研究还需进一步加大深度和广度,因为并不能排除长时间的使用布洛芬也许也会像对女性胎儿那样可能会造成不可逆的永久的损伤。就目前的情况来看,这项研究提醒着男性,在使用布洛芬的时候要注意合理的时间和剂量

转自精准医学微信号

参考资料:

1.S Leverrier-Penna et al,Ibuprofen is deleterious for the development of first trimester human fetalovary ex vivo, Human Reproduction (2018). DOI: 10.1093/humrep/dex383

2.David Møbjerg Kristensen, ChristèleDesdoits-Lethimonier, Abigail L. Mackey, et al. Ibuprofen alters human testicular physiology to produce a state ofcompensated hypogonadism. PNAS(2017) doi: 10.1073/pnas.1715035115