遇到一个女孩子,平常身体健康。一次感冒以后,长时间不见好转,反而越来越严重,出现了呼吸困难,就连走平路都感觉到气短。短短的上班路,以前只要10分钟左右,现在30分钟都费劲。

家人劝她赶紧到医院就诊,我们为她进行了肺部体格检查,右侧胸部叩诊呈浊音,听诊右肺呼吸音很低很低。初步判断,右侧存在胸腔积液。为了进一步确诊,我让她做了肺CT检查。
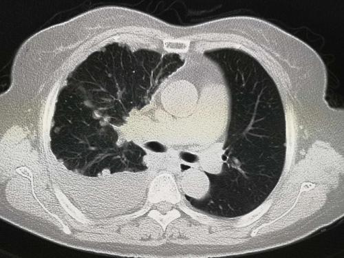
肺ct的结果提示右侧胸腔积液,但是肺内并没有明确的占位性病变。

右侧胸腔积液
一般情况下单侧的胸腔积液,需要考虑肿瘤,感染(如肺炎链球菌,结核)等情况。如果是双侧胸腔积液,就需要考虑心功能衰竭,低蛋白血症情况。
显然,她是单侧的胸腔积液。近期又有感冒病史,应该是感染的可能性大呀。但是一般的感染,抗生素的效果比较好的,可是她却越来越重,难道是结核?
但是她没有肺结核的接触史,结核抗体试验是阴性的。
为了进一步明确诊断,我们做了胸膜腔穿刺,留取了胸水,送到检验室和病理科。放出了胸水以后,她的呼吸困难明显的好了许多。

检验结果提示为滲出液,病理科镜下看到了很多非典型细胞,怀疑为肿瘤细胞。但是如果是肿瘤细胞就要追溯肿瘤的源头,是肺本身的肿瘤,还是肺外的肿瘤转移到肺的。
我为她查了血液肿瘤标记物,提示CA125明显地升高,这种情况通常见于卵巢肿瘤。接着进一步完善腹部CT和盆腔CT。腹部CT提示存在腹腔积液。盆腔CT存在双侧卵巢肿瘤。
胸水的免疫组织化学结果也回来了,提示卵巢浆液性癌的指标是阳性的。
目前至少定系统,定位诊断比较明确了。双侧卵巢肿瘤,胸腔积液,腹腔积液。

下一步要做的就是,手术治疗,所幸的是现在麻醉技术比较发达,减轻了患者不少痛苦。
手术后把子宫,卵巢,大网膜,淋巴结,腹水的标本都送到了病理科。通过组织学病理检查以后,倾向是卵巢浆液性乳头状囊腺癌,恶性程度相对较高。淋巴结也有部分转移了,腹水,胸水中存在的非典型细胞相似。
免疫组织化学证实了确实是卵巢浆液性乳头状囊腺癌。
走到这一步,总算诊断清楚了。卵巢浆液性乳头状囊腺癌,伴腹腔,胸腔,淋巴结转移。
治疗上已完成了手术,可见的病灶都被清除了,接下来就要对付那些不可见的肿瘤细胞了。化疗的效果还是比较可靠的,但是副作用也是够人一受的。

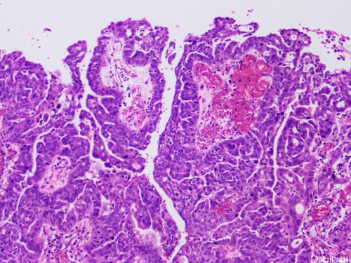
浆液性乳头状囊腺瘤病理图片
针对这个女孩,我们从诊断到治疗真是费尽心思。治疗方案必须是全方位的。
· 心理上:积极鼓励,减少恐惧和焦虑。她因为还没有生育过孩子,切除过子宫和卵巢以后再也没有可能成为一个母亲了,所以非常伤心和绝望。事实上相比于生命,结婚生子都不算什么。
· 化疗的副作用:可能会出现恶心、呕吐、食欲不振、脱发、白细胞减少。通过止呕的药物,升白细胞的药物,美丽的假发,这些问题都是可以解决的。
· 最后好的预后,好的结局,离不开自己的信心和家人的支持。家人的鼓励,营养的饮食会有很大的帮助。

结语: 通过这个病例,让我再次体会人体的奇妙。诊治过程中需要多个科室的紧密协作,呼吸科、妇科、检验、病理科、心理科的密切协作。当然首诊科室很重要,扎实的基本功是能正确诊断的基石。稍有欠缺,都不可能达到精准治疗。如果没有精准治疗,患者可能要走很多弯路,花很多钱,还不能得到一个正确的诊断,那么治疗效果可想而知。
大家好,我是绛珠小医,一个痴迷于精准医疗的医生。本文为原创。欢迎大家交流,关注。